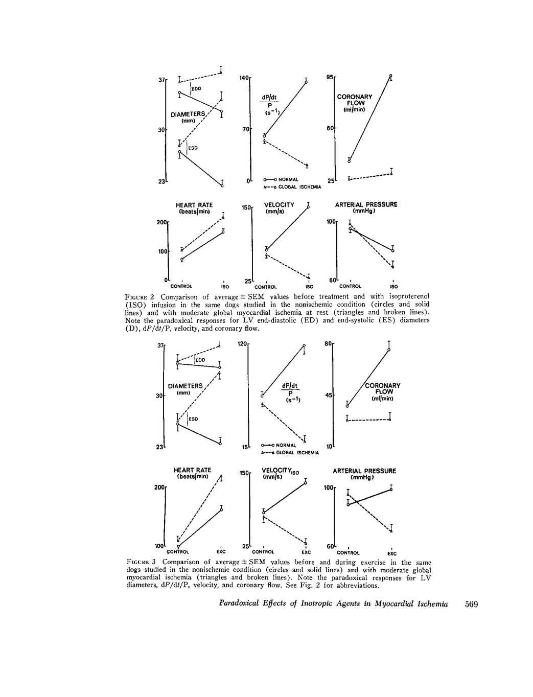
The effects of isoproterenol, norepinephrine, dobutamine, exercise, and nitroglycerin on left ventricular diameter, pressure, velocity of shortening, dP/dt, dP/dt/P, arterial pressure, left circumflex coronary blood flow, and coronary vascular resistance were examined in healthy conscious dogs with normal coronary perfusion and in the same animals after moderate global ischemia had been induced by partial occlusion of the left main coronary artery. In the normal nonischemic heart, all interventions improved left ventricular performance, as evidenced by increases in dP/dt/P and velocity at the same or lower left ventricular end-diastolic diameter. Interventions, which in the normal heart caused large increases in heart rate and myocardial contractility, e.g. isoproterenol and exercise, or which decreased coronary perfusion pressure, e.g. nitroglycerin or isoproterenol, elicited paradoxical responses in moderate global ischemia, i.e., left ventricular enddiastolic diameter and pressure rose, and dP/dt/P and velocity fell substantially. On the other hand, norepinephrine, which increased coronary perfusion pressure along with myocardial contractility but did not increase heart rate, improved left ventricular function. Dobutamine, which did not alter heart rate or arterial pressure substantially while improving myocardial contractility, produced an intermediate response between that of norepinephrine and isoproterenol in the presence of moderate global myocardial ischemia. Thus, interventions that increase myocardial O2 requirements, by increasing heart rate and myocardial contractility without augmenting coronary perfusion pressure, can produce a paradoxical depression of ventricular function in the presence of global myocardial ischemia.
Stephen F. Vatner, Robert J. McRitchie, Peter R. Maroko, Thomas A. Patrick, Eugene Braunwald
| 563 | 564 | 565 | 566 | 567 | 568 | 569 | 570 | 571 | 572 | 573 | 574 | 575 |
