A patient with classical hemophilia (factor VIII deficiency) was found to have a new abnormal fibrinogen (fibrinogen St. Louis). Other family members exhibited either defect alone. Fibrinogen St. Louis was inherited as an autosomal dominant and was not associated with clinical bleeding. When compared with normal fibrinogen, fibrinogen St. Louis was found to have defective fibrin polymerization and possibly a slower release of fibrinopeptides. The prolonged thrombin times were partially corrected by calcium chloride and protamine sulfate. Ultracentrifugal sedimentation, electrophoretic mobility, DEAE chromatographic pattern, carbohydrate content, N-terminal amino acids, immunodiffusion, and immunoelectrophoretic patterns and electrophoresis of reduced and alkylated fragments were all normal. In contrast to fibrinogen St. Louis, the most similar other fibrinogen variant (fibrinogen Zurich) was found to be heterogeneous by several criteria and to have reduced hexose content.
Laurence A. Sherman, Lamont W. Gaston, Manuel E. Kaplan, Alan R. Spivack
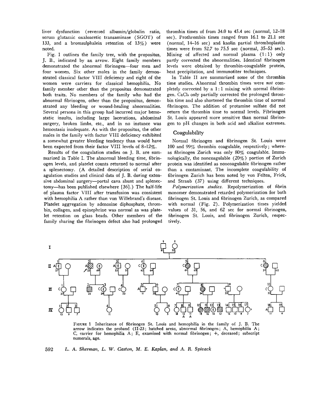
| 590 | 591 | 592 | 593 | 594 | 595 | 596 | 597 |
