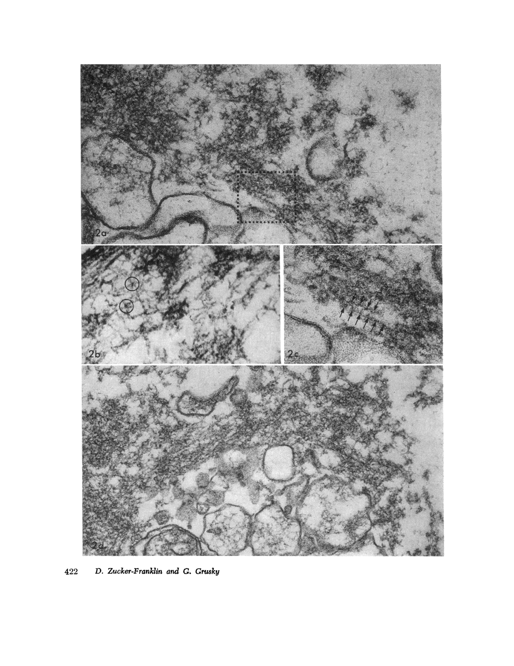
The contractility of platelets has been attributed to an actomyosin-like protein which has been well defined on a physicochemical basis. Moreover, platelets contain ±80 A filaments which resemble actin filaments in smooth muscle. Studies were undertaken on human and bovine platelets to better define the morphologic structures which may subserve this contractile function. In order to identify actin, the ability of the filaments to react with heavy meromyosin (HMM) was tested. Accordingly, platelets were glycerinated and treated with HMM. In addition, platelet actin was extracted, reacted with HMM, and examined by negative staining. In both instances typical arrowhead structures with clearly defined polarity and a periodicity of ±360 A formed. As is the case with purified muscle actin, the complexes were dissociable with Mg-ATP. The formation of myosin-like filaments was observed when osmotically shocked platelets were incubated with MgCl2 and excess ATP. These “thick” filaments measured 250-300 A in width, tapered at both ends and often occurred in clumps. They resembled aggregates of thick filaments described in contracted smooth muscle. Extraction of platelets by methods suitable for the demonstration of myosin showed filaments with an average length of 0.3 μ, a smooth shaft, and frayed or bulbous ends. These appeared identical to those seen in synthetically prepared myosin of striated muscle. It is suggested that the filaments described here represent the actin and myosin of platelets.
Dorothea Zucker-Franklin, George Grusky
| 419 | 420 | 421 | 422 | 423 | 424 | 425 | 426 | 427 | 428 | 429 | 430 |
