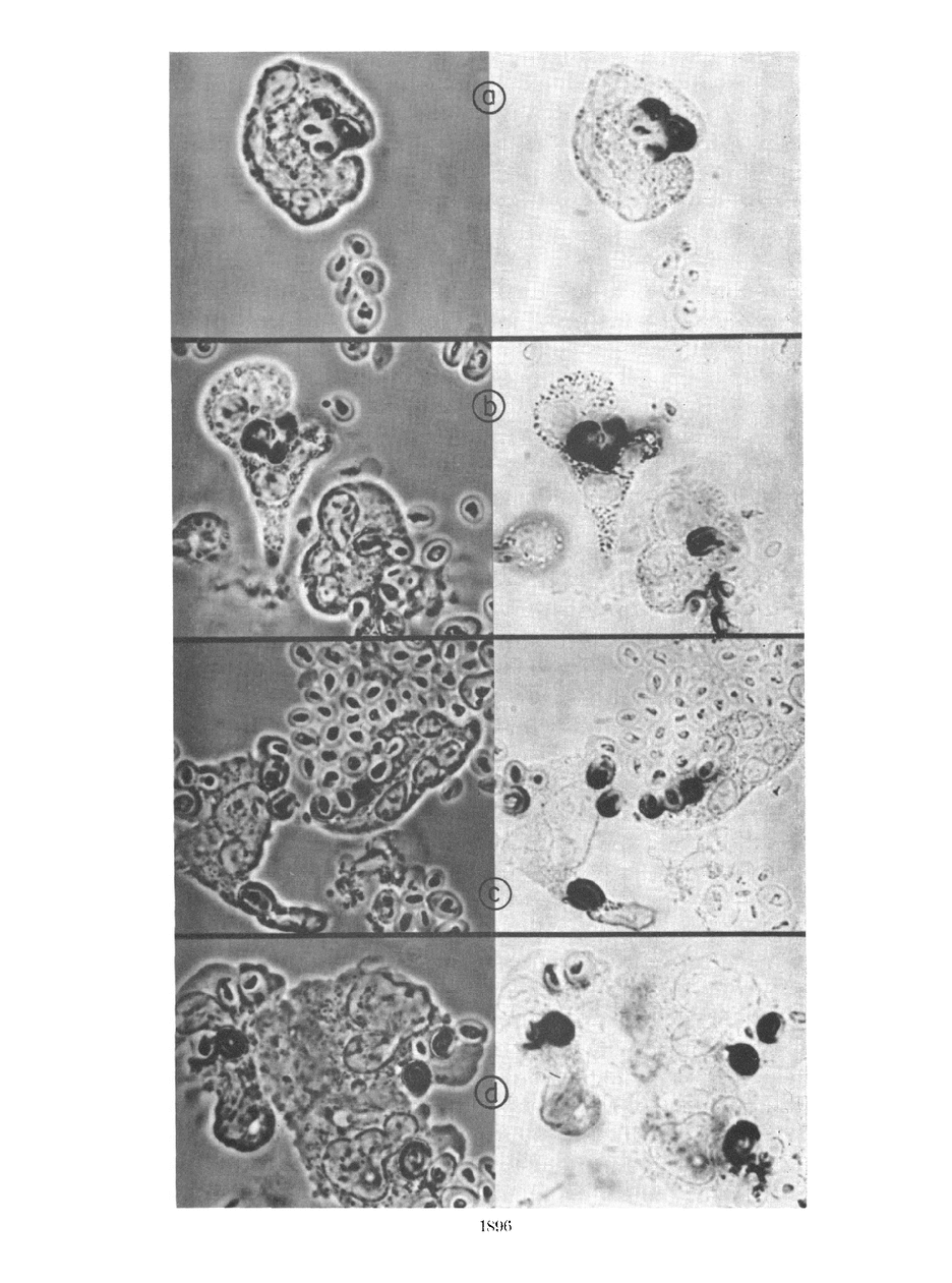
The leukocytes of patients with chronic granulomatous disease (CGD) may be identified by their failure to reduce Nitro Blue Tetrazolium (NBT) during phagocytosis. This reaction, normally detected in the phagocytic vacuole, is absent or delayed in CGD monocytes and eosinophils as well as in neutrophils, even though sonicates of normal and CGD leukocytes contain equal activities of a cyanide insensitive enzyme system capable of reduction of NBT in the presence of pyridine nucleotide.
David G. Nathan, Robert L. Baehner, Don K. Weaver
| 1895 | 1896 | 1897 | 1898 | 1899 | 1900 | 1901 | 1902 | 1903 | 1904 |
