Go to JCI Insight
  • About
  • Editors
  • Consulting Editors
  • For authors
  • Publication ethics
  • Publication alerts by email
  • Advertising
  • Job board
  • Contact
  • Clinical Research and Public Health
  • Current issue
  • Past issues
  • By specialty
    • COVID-19
    • Cardiology
    • Gastroenterology
    • Immunology
    • Metabolism
    • Nephrology
    • Neuroscience
    • Oncology
    • Pulmonology
    • Vascular biology
    • All ...
  • Videos
    • Conversations with Giants in Medicine
    • Video Abstracts
  • Reviews
    • View all reviews ...
    • Pancreatic Cancer (Jul 2025)
    • Complement Biology and Therapeutics (May 2025)
    • Evolving insights into MASLD and MASH pathogenesis and treatment (Apr 2025)
    • Microbiome in Health and Disease (Feb 2025)
    • Substance Use Disorders (Oct 2024)
    • Clonal Hematopoiesis (Oct 2024)
    • Sex Differences in Medicine (Sep 2024)
    • View all review series ...
  • Viewpoint
  • Collections
    • In-Press Preview
    • Clinical Research and Public Health
    • Research Letters
    • Letters to the Editor
    • Editorials
    • Commentaries
    • Editor's notes
    • Reviews
    • Viewpoints
    • 100th anniversary
    • Top read articles

  • Current issue
  • Past issues
  • Specialties
  • Reviews
  • Review series
  • Conversations with Giants in Medicine
  • Video Abstracts
  • In-Press Preview
  • Clinical Research and Public Health
  • Research Letters
  • Letters to the Editor
  • Editorials
  • Commentaries
  • Editor's notes
  • Reviews
  • Viewpoints
  • 100th anniversary
  • Top read articles
  • About
  • Editors
  • Consulting Editors
  • For authors
  • Publication ethics
  • Publication alerts by email
  • Advertising
  • Job board
  • Contact
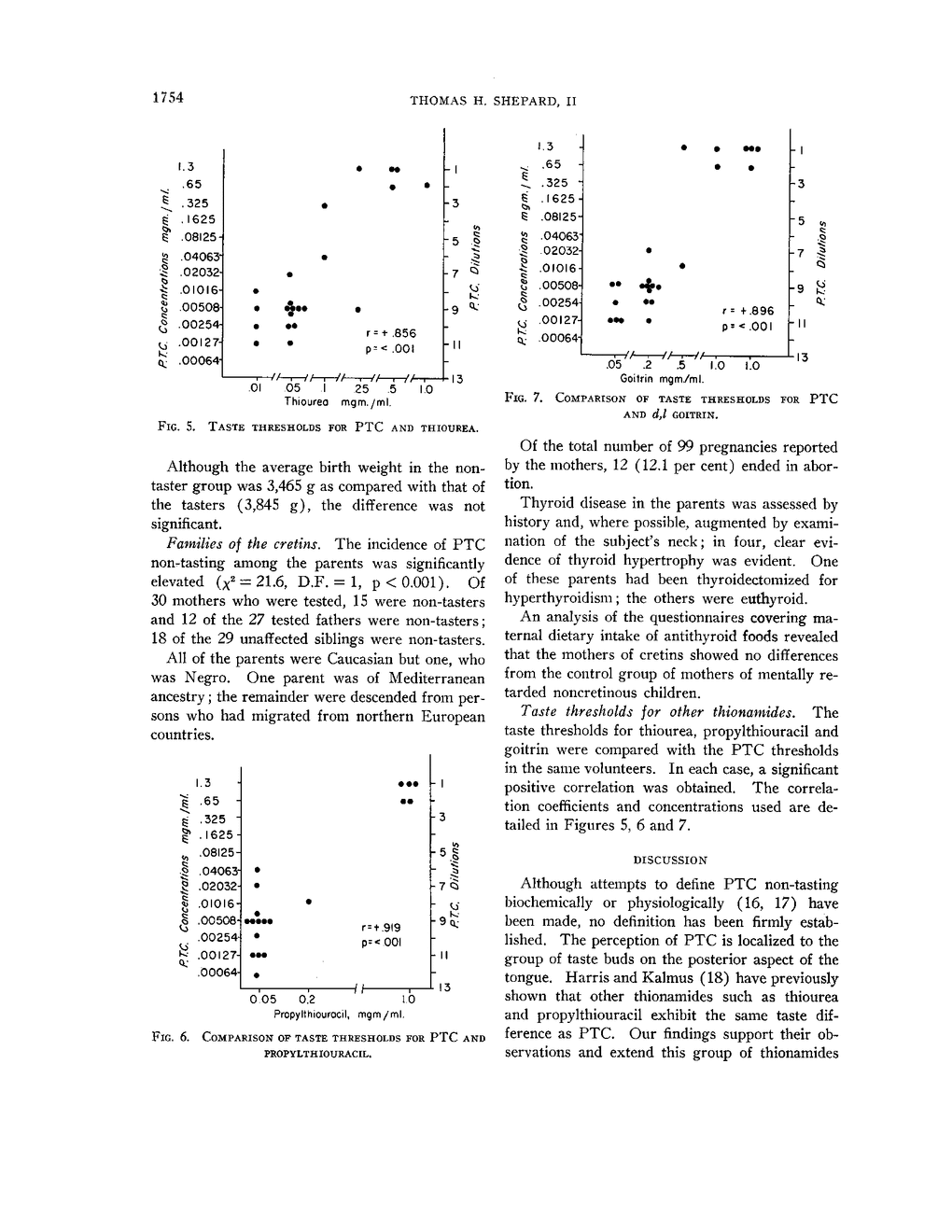
PHENYLTHIOCARBAMIDE NON-TASTING AMONG CONGENITAL ATHYROTIC CRETINS: FURTHER STUDIES IN AN ATTEMPT TO EXPLAIN THE INCREASED INCIDENCE
Thomas H. Shepard II
Thomas H. Shepard II
Published September 1, 1961
Citation Information: J Clin Invest. 1961;40(9):1751-1757. https://doi.org/10.1172/JCI104398.
View: Text | PDF
Research Article

PHENYLTHIOCARBAMIDE NON-TASTING AMONG CONGENITAL ATHYROTIC CRETINS: FURTHER STUDIES IN AN ATTEMPT TO EXPLAIN THE INCREASED INCIDENCE

  • Text
  • PDF
Abstract

Authors

Thomas H. Shepard II

×

Other pages:
1751 1752 1753 1754 1755 1756 1757

Other pages:
1751 1752 1753 1754 1755 1756 1757

Copyright © 2025 American Society for Clinical Investigation
ISSN: 0021-9738 (print), 1558-8238 (online)

Sign up for email alerts