Go to
JCI Insight
About
Editors
Consulting Editors
For authors
Publication ethics
Publication alerts by email
Advertising
Job board
Contact
Clinical Research and Public Health
Current issue
Past issues
By specialty
COVID-19
Cardiology
Gastroenterology
Immunology
Metabolism
Nephrology
Neuroscience
Oncology
Pulmonology
Vascular biology
All ...
Videos
ASCI Milestone Awards
Video Abstracts
Conversations with Giants in Medicine
Reviews
Reviews
View all reviews ...
Review Series
Clinical innovation and scientific progress in GLP-1 medicine (Nov 2025)
Pancreatic Cancer (Jul 2025)
Complement Biology and Therapeutics (May 2025)
Evolving insights into MASLD and MASH pathogenesis and treatment (Apr 2025)
Microbiome in Health and Disease (Feb 2025)
Substance Use Disorders (Oct 2024)
Clonal Hematopoiesis (Oct 2024)
View all review series ...
Viewpoint
Collections
In-Press Preview
Clinical Research and Public Health
Research Letters
Letters to the Editor
Editorials
Commentaries
Editor's notes
Reviews
Viewpoints
100th anniversary
Top read articles
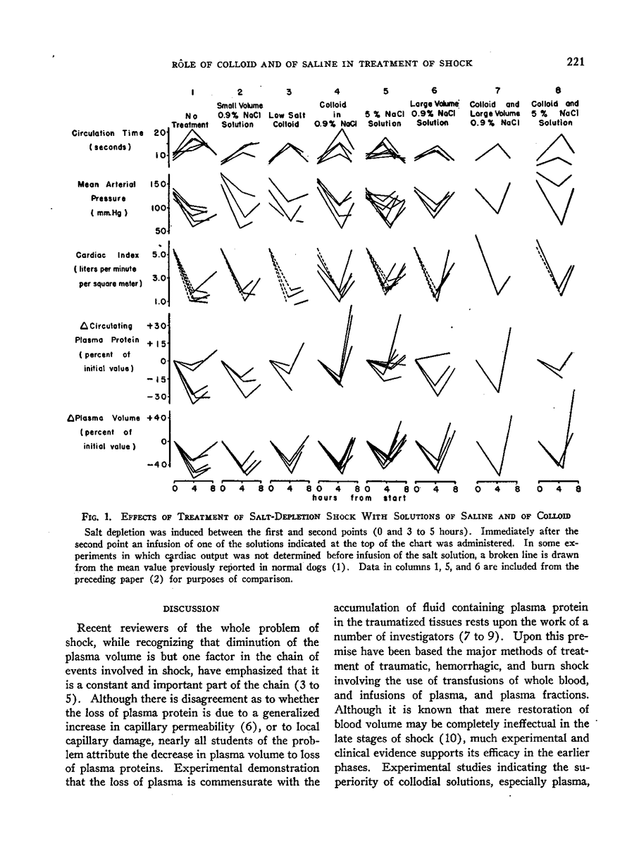
THE RÔLE OF COLLOID AND OF SALINE IN THE TREATMENT OF SHOCK
A. W. Winkler, T. S. Danowski, J. R. Elkinton
A. W. Winkler, T. S. Danowski, J. R. Elkinton
View:
Text
|
PDF
Research Article
THE RÔLE OF COLLOID AND OF SALINE IN THE TREATMENT OF SHOCK
Text
PDF
Abstract
Authors
A. W. Winkler, T. S. Danowski, J. R. Elkinton
×
Other pages:
220
221
222
223
224
225
Other pages:
220
221
222
223
224
225