Go to JCI Insight
  • About
  • Editors
  • Consulting Editors
  • For authors
  • Publication ethics
  • Publication alerts by email
  • Advertising
  • Job board
  • Contact
  • Clinical Research and Public Health
  • Current issue
  • Past issues
  • By specialty
    • COVID-19
    • Cardiology
    • Gastroenterology
    • Immunology
    • Metabolism
    • Nephrology
    • Neuroscience
    • Oncology
    • Pulmonology
    • Vascular biology
    • All ...
  • Videos
    • Conversations with Giants in Medicine
    • Video Abstracts
  • Reviews
    • View all reviews ...
    • Clinical innovation and scientific progress in GLP-1 medicine (Nov 2025)
    • Pancreatic Cancer (Jul 2025)
    • Complement Biology and Therapeutics (May 2025)
    • Evolving insights into MASLD and MASH pathogenesis and treatment (Apr 2025)
    • Microbiome in Health and Disease (Feb 2025)
    • Substance Use Disorders (Oct 2024)
    • Clonal Hematopoiesis (Oct 2024)
    • View all review series ...
  • Viewpoint
  • Collections
    • In-Press Preview
    • Clinical Research and Public Health
    • Research Letters
    • Letters to the Editor
    • Editorials
    • Commentaries
    • Editor's notes
    • Reviews
    • Viewpoints
    • 100th anniversary
    • Top read articles

  • Current issue
  • Past issues
  • Specialties
  • Reviews
  • Review series
  • Conversations with Giants in Medicine
  • Video Abstracts
  • In-Press Preview
  • Clinical Research and Public Health
  • Research Letters
  • Letters to the Editor
  • Editorials
  • Commentaries
  • Editor's notes
  • Reviews
  • Viewpoints
  • 100th anniversary
  • Top read articles
  • About
  • Editors
  • Consulting Editors
  • For authors
  • Publication ethics
  • Publication alerts by email
  • Advertising
  • Job board
  • Contact
A TLR/AKT/FoxO3 immune tolerance–like pathway disrupts the repair capacity of oligodendrocyte progenitors
Taasin Srivastava, … , Larry S. Sherman, Stephen A. Back
Taasin Srivastava, … , Larry S. Sherman, Stephen A. Back
Published April 16, 2018
Citation Information: J Clin Invest. 2018;128(5):2025-2041. https://doi.org/10.1172/JCI94158.
View: Text | PDF
Research Article Inflammation Neuroscience

A TLR/AKT/FoxO3 immune tolerance–like pathway disrupts the repair capacity of oligodendrocyte progenitors

  • Text
  • PDF
Abstract

Cerebral white matter injury (WMI) persistently disrupts myelin regeneration by oligodendrocyte progenitor cells (OPCs). We identified a specific bioactive hyaluronan fragment (bHAf) that downregulates myelin gene expression and chronically blocks OPC maturation and myelination via a tolerance-like mechanism that dysregulates pro-myelination signaling via AKT. Desensitization of AKT occurs via TLR4 but not TLR2 or CD44. OPC differentiation was selectively blocked by bHAf in a maturation-dependent fashion at the late OPC (preOL) stage by a noncanonical TLR4/TRIF pathway that induced persistent activation of the FoxO3 transcription factor downstream of AKT. Activated FoxO3 selectively localized to oligodendrocyte lineage cells in white matter lesions from human preterm neonates and adults with multiple sclerosis. FoxO3 constraint of OPC maturation was bHAf dependent, and involved interactions at the FoxO3 and MBP promoters with the chromatin remodeling factor Brg1 and the transcription factor Olig2, which regulate OPC differentiation. WMI has adapted an immune tolerance–like mechanism whereby persistent engagement of TLR4 by bHAf promotes an OPC niche at the expense of myelination by engaging a FoxO3 signaling pathway that chronically constrains OPC differentiation.

Authors

Taasin Srivastava, Parham Diba, Justin M. Dean, Fatima Banine, Daniel Shaver, Matthew Hagen, Xi Gong, Weiping Su, Ben Emery, Daniel L. Marks, Edward N. Harris, Bruce Baggenstoss, Paul H. Weigel, Larry S. Sherman, Stephen A. Back

×

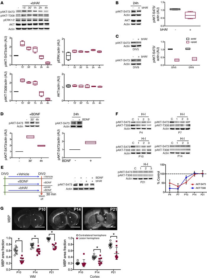
Figure 3

bHAf regulates AKT in a tolerance-like manner.

Options: View larger image (or click on image) Download as PowerPoint
bHAf regulates AKT in a tolerance-like manner.
(A–C) bHAf induces persis...
(A–C) bHAf induces persistent AKT dephosphorylation in rat slices treated with bHAf (100 nM). Representative blots and quantification after probing with pAKT-S473, pAKT-T308, pERK1/2, AKT (total AKT), and actin antibodies. Note the transient increase in AKT phosphorylation followed by persistent reduction to control levels at 4 hours (A), 24 hours (B), and 5 or 9 days (C). (D) BDNF (50 ng/ml) induces persistent AKT phosphorylation at 30 minutes, and 4 or 24 hours. (E) Experimental design to determine whether BDNF can overcome bHAf-mediated AKT desensitization (left); and representative blots (right). (F) Chronic WMI leads to persistent AKT dephosphorylation that normalizes with delayed partial myelination. Representative blots and quantification from 3 rats that underwent H-I at P3 versus control (C), comparing AKT phosphorylation in lesion hemisphere at P4, P7, P10, P14, and P21. Actin was the loading control. (G) Progressive recovery of myelination following WMI. Representative images depicting MBP staining at P10, P14, and P21 (asterisks indicate H-I hemisphere). A–E: n = 3 independent studies from 3 separate litters; 2 slices/condition. F: n = 3 animals (control) and n = 6 animals (H-I). G: n = 9 animals/condition. *P < 0.05 by Student’s t test; mean ± SEM. Scale bars: 600 μm, G.

Copyright © 2025 American Society for Clinical Investigation
ISSN: 0021-9738 (print), 1558-8238 (online)

Sign up for email alerts