Go to JCI Insight
  • About
  • Editors
  • Consulting Editors
  • For authors
  • Publication ethics
  • Publication alerts by email
  • Advertising
  • Job board
  • Contact
  • Clinical Research and Public Health
  • Current issue
  • Past issues
  • By specialty
    • COVID-19
    • Cardiology
    • Gastroenterology
    • Immunology
    • Metabolism
    • Nephrology
    • Neuroscience
    • Oncology
    • Pulmonology
    • Vascular biology
    • All ...
  • Videos
    • Conversations with Giants in Medicine
    • Video Abstracts
  • Reviews
    • View all reviews ...
    • Clinical innovation and scientific progress in GLP-1 medicine (Nov 2025)
    • Pancreatic Cancer (Jul 2025)
    • Complement Biology and Therapeutics (May 2025)
    • Evolving insights into MASLD and MASH pathogenesis and treatment (Apr 2025)
    • Microbiome in Health and Disease (Feb 2025)
    • Substance Use Disorders (Oct 2024)
    • Clonal Hematopoiesis (Oct 2024)
    • View all review series ...
  • Viewpoint
  • Collections
    • In-Press Preview
    • Clinical Research and Public Health
    • Research Letters
    • Letters to the Editor
    • Editorials
    • Commentaries
    • Editor's notes
    • Reviews
    • Viewpoints
    • 100th anniversary
    • Top read articles

  • Current issue
  • Past issues
  • Specialties
  • Reviews
  • Review series
  • Conversations with Giants in Medicine
  • Video Abstracts
  • In-Press Preview
  • Clinical Research and Public Health
  • Research Letters
  • Letters to the Editor
  • Editorials
  • Commentaries
  • Editor's notes
  • Reviews
  • Viewpoints
  • 100th anniversary
  • Top read articles
  • About
  • Editors
  • Consulting Editors
  • For authors
  • Publication ethics
  • Publication alerts by email
  • Advertising
  • Job board
  • Contact
Retroviral gene therapy with an immunoglobulin-antigen fusion construct protects from experimental autoimmune uveitis
Rajeev K. Agarwal, Yubin Kang, Elias Zambidis, David W. Scott, Chi-Chao Chan, Rachel R. Caspi
Rajeev K. Agarwal, Yubin Kang, Elias Zambidis, David W. Scott, Chi-Chao Chan, Rachel R. Caspi
View: Text | PDF
Article

Retroviral gene therapy with an immunoglobulin-antigen fusion construct protects from experimental autoimmune uveitis

  • Text
  • PDF
Abstract

Immunoglobulins can serve as tolerogenic carriers for antigens, and B cells can function as tolerogenic antigen-presenting cells. We used this principle to design a strategy for gene therapy of experimental autoimmune uveitis, a cell-mediated autoimmune disease model for human uveitis induced with the uveitogenic interphotoreceptor retinoid-binding protein (IRBP). A retroviral vector was constructed containing a major uveitogenic IRBP epitope in frame with mouse IgG1 heavy chain. This construct was used to transduce peripheral B cells, which were infused into syngeneic recipients. A single infusion of transduced cells, 10 days before uveitogenic challenge, protected mice from clinical disease induced with the epitope or with the native IRBP protein. Protected mice had reduced antigen-specific responses, but showed no evidence for a classic Th1/Th2 response shift or for generalized anergy. Protection was not transferable, arguing against a mechanism dependent on regulatory cells. Importantly, the treatment was protective when initiated 7 days after uveitogenic immunization or concurrently with adoptive transfer of primed uveitogenic T cells. We suggest that this form of gene therapy can induce epitope-specific protection not only in naive, but also in already primed recipients, thus providing a protocol for treatment of established autoimmunity.

Authors

Rajeev K. Agarwal, Yubin Kang, Elias Zambidis, David W. Scott, Chi-Chao Chan, Rachel R. Caspi

×

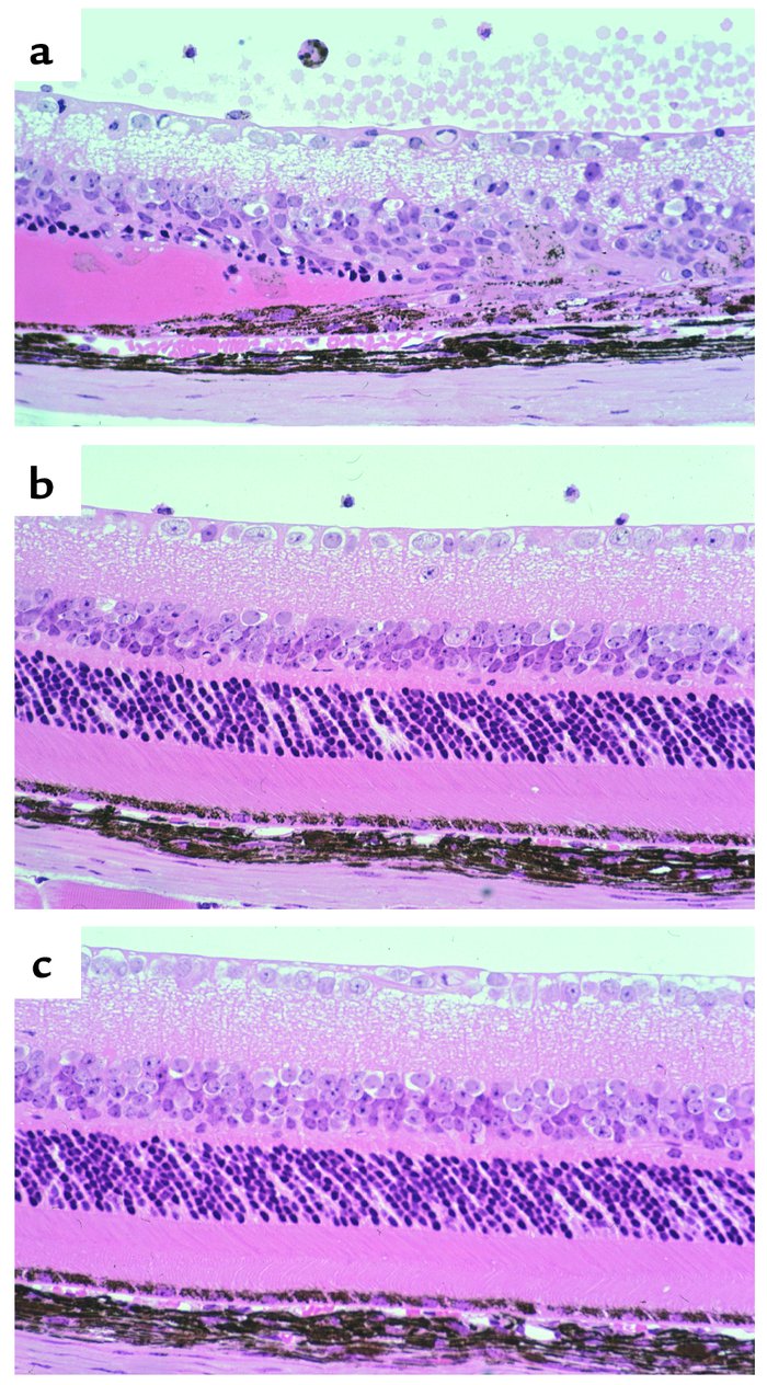
Figure 3

Options: View larger image (or click on image) Download as PowerPoint
Ocular histology of peptide-immunized mice that had been pretreated with...
Ocular histology of peptide-immunized mice that had been pretreated with either the LPS-stimulated B cells transduced with the mock control construct (a) or with the tolerogenic construct (b), compared with retina of naive mice (c). Eyes were processed for histology 21 days after uveitogenic immunization. Shown are results after immunization with human peptide. Ocular pathology of mice challenged with the murine construct was essentially identical.

Copyright © 2026 American Society for Clinical Investigation
ISSN: 0021-9738 (print), 1558-8238 (online)

Sign up for email alerts