Go to JCI Insight
  • About
  • Editors
  • Consulting Editors
  • For authors
  • Publication ethics
  • Publication alerts by email
  • Advertising
  • Job board
  • Contact
  • Clinical Research and Public Health
  • Current issue
  • Past issues
  • By specialty
    • COVID-19
    • Cardiology
    • Gastroenterology
    • Immunology
    • Metabolism
    • Nephrology
    • Neuroscience
    • Oncology
    • Pulmonology
    • Vascular biology
    • All ...
  • Videos
    • Conversations with Giants in Medicine
    • Video Abstracts
  • Reviews
    • View all reviews ...
    • Clinical innovation and scientific progress in GLP-1 medicine (Nov 2025)
    • Pancreatic Cancer (Jul 2025)
    • Complement Biology and Therapeutics (May 2025)
    • Evolving insights into MASLD and MASH pathogenesis and treatment (Apr 2025)
    • Microbiome in Health and Disease (Feb 2025)
    • Substance Use Disorders (Oct 2024)
    • Clonal Hematopoiesis (Oct 2024)
    • View all review series ...
  • Viewpoint
  • Collections
    • In-Press Preview
    • Clinical Research and Public Health
    • Research Letters
    • Letters to the Editor
    • Editorials
    • Commentaries
    • Editor's notes
    • Reviews
    • Viewpoints
    • 100th anniversary
    • Top read articles

  • Current issue
  • Past issues
  • Specialties
  • Reviews
  • Review series
  • Conversations with Giants in Medicine
  • Video Abstracts
  • In-Press Preview
  • Clinical Research and Public Health
  • Research Letters
  • Letters to the Editor
  • Editorials
  • Commentaries
  • Editor's notes
  • Reviews
  • Viewpoints
  • 100th anniversary
  • Top read articles
  • About
  • Editors
  • Consulting Editors
  • For authors
  • Publication ethics
  • Publication alerts by email
  • Advertising
  • Job board
  • Contact
IL-33 regulates the IgA-microbiota axis to restrain IL-1α–dependent colitis and tumorigenesis
Ankit Malik, Deepika Sharma, Qifan Zhu, Rajendra Karki, Clifford S. Guy, Peter Vogel, Thirumala-Devi Kanneganti
Ankit Malik, Deepika Sharma, Qifan Zhu, Rajendra Karki, Clifford S. Guy, Peter Vogel, Thirumala-Devi Kanneganti
View: Text | PDF
Research Article Immunology

IL-33 regulates the IgA-microbiota axis to restrain IL-1α–dependent colitis and tumorigenesis

  • Text
  • PDF
Abstract

Inflammatory bowel diseases (IBD) affect over 5 million individuals in the industrialized world, with an increasing incidence rate worldwide. IBD also predisposes affected individuals to development of colorectal cancer, which is a leading cause of cancer-related deaths in adults. Mutations in genes encoding molecules in the IL-33 signaling pathway are associated with colitis and colitis-associated cancer (CAC), but how IL-33 modulates gut homeostasis is unclear. Here, we have shown that Il33-deficient mice are highly susceptible to colitis and CAC. Mechanistically, we observed that IL-33 promoted IgA production from B cells, which is important for maintaining microbial homeostasis in the intestine. Il33-deficient mice developed a dysbiotic microbiota that was characterized by increased levels of mucolytic and colitogenic bacteria. In response to chemically induced colitis, this microbial landscape promoted the release of IL-1α, which acted as a critical driver of colitis and CAC. Consequently, reconstitution of symbiotic microbiota or IL-1α ablation markedly ameliorated colitis susceptibility in Il33-deficient animals. Our results demonstrate that IL-33 promotes IgA production to maintain gut microbial homoeostasis and restrain IL-1α–dependent colitis and CAC. This study therefore highlights modulation of IL-33, IgA, IL-1α, and the microbiota as a potential therapeutic approach in the treatment of IBD and CAC.

Authors

Ankit Malik, Deepika Sharma, Qifan Zhu, Rajendra Karki, Clifford S. Guy, Peter Vogel, Thirumala-Devi Kanneganti

×

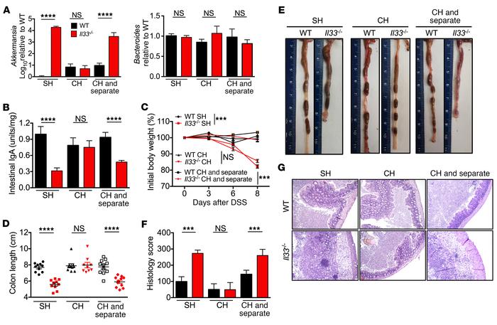
Figure 7

IL-33 actively regulates intestinal IgA levels, microbial homeostasis, and susceptibility to colitis.

Options: View larger image (or click on image) Download as PowerPoint
IL-33 actively regulates intestinal IgA levels, microbial homeostasis, a...
(A) qPCR analysis of indicated bacteria from stool samples of separately housed (SH), cohoused (CH), or cohoused and then separated (CH and separate) WT and Il33–/– mice and (B) IgA measurement in stool samples by ELISA. (C) Body weight change during DSS administration. (D) Colon length measurements and (E) representative colon images at day 8 after DSS administration. (F) Colon histological analysis and (G) representative H&E-stained colon sections at day 8 after DSS administration. Original magnification, ×10. Data are representative of 2 independent experiments and were analyzed by Kruskal-Wallis test (A, B, D, and F) or 2-way ANOVA (C), followed by Holm-Šídák post test. Error bars represent mean ± SEM, and each symbol represents an individual mouse. n = 9–11 mice per group. ***P < 0.001; ****P < 0.0001.

Copyright © 2025 American Society for Clinical Investigation
ISSN: 0021-9738 (print), 1558-8238 (online)

Sign up for email alerts