Go to JCI Insight
  • About
  • Editors
  • Consulting Editors
  • For authors
  • Publication ethics
  • Publication alerts by email
  • Advertising
  • Job board
  • Contact
  • Clinical Research and Public Health
  • Current issue
  • Past issues
  • By specialty
    • COVID-19
    • Cardiology
    • Gastroenterology
    • Immunology
    • Metabolism
    • Nephrology
    • Neuroscience
    • Oncology
    • Pulmonology
    • Vascular biology
    • All ...
  • Videos
    • ASCI Milestone Awards
    • Video Abstracts
    • Conversations with Giants in Medicine
  • Reviews
    • View all reviews ...
    • Clinical innovation and scientific progress in GLP-1 medicine (Nov 2025)
    • Pancreatic Cancer (Jul 2025)
    • Complement Biology and Therapeutics (May 2025)
    • Evolving insights into MASLD and MASH pathogenesis and treatment (Apr 2025)
    • Microbiome in Health and Disease (Feb 2025)
    • Substance Use Disorders (Oct 2024)
    • Clonal Hematopoiesis (Oct 2024)
    • View all review series ...
  • Viewpoint
  • Collections
    • In-Press Preview
    • Clinical Research and Public Health
    • Research Letters
    • Letters to the Editor
    • Editorials
    • Commentaries
    • Editor's notes
    • Reviews
    • Viewpoints
    • 100th anniversary
    • Top read articles

  • Current issue
  • Past issues
  • Specialties
  • Reviews
  • Review series
  • ASCI Milestone Awards
  • Video Abstracts
  • Conversations with Giants in Medicine
  • In-Press Preview
  • Clinical Research and Public Health
  • Research Letters
  • Letters to the Editor
  • Editorials
  • Commentaries
  • Editor's notes
  • Reviews
  • Viewpoints
  • 100th anniversary
  • Top read articles
  • About
  • Editors
  • Consulting Editors
  • For authors
  • Publication ethics
  • Publication alerts by email
  • Advertising
  • Job board
  • Contact
Attenuated hypoxic pulmonary hypertension in mice lacking the 5-hydroxytryptamine transporter gene
S. Eddahibi, N. Hanoun, L. Lanfumey, K.P. Lesch, B. Raffestin, M. Hamon, S. Adnot
S. Eddahibi, N. Hanoun, L. Lanfumey, K.P. Lesch, B. Raffestin, M. Hamon, S. Adnot
View: Text | PDF
Article

Attenuated hypoxic pulmonary hypertension in mice lacking the 5-hydroxytryptamine transporter gene

  • Text
  • PDF
Abstract

Hypoxia is a well-recognized stimulus for pulmonary blood vessel remodeling and pulmonary hypertension development. One mechanism that may account for these effects is the direct action of hypoxia on the expression of specific genes involved in vascular smooth muscle cell (SMC) proliferation. Previous studies demonstrated that the serotonin (5-hydroxytryptamine; 5-HT) transporter (5-HTT) mediates the mitogenic activity of 5-HT in pulmonary vascular SMCs and is overexpressed during hypoxia. Thus, 5-HT-related mitogenic activity is increased during hypoxia. Here, we report that mice deficient for 5-HTT (5-HTT–/–) developed less hypoxic pulmonary hypertension and vascular remodeling than paired 5-HTT+/+ controls. When maintained under normoxia, 5-HTT–/–-mutant mice had normal hemodynamic parameters, low blood 5-HT levels, deficient platelet 5-HT uptake, and unchanged blood levels of 5-hydroxyindoleacetic acid, a metabolite of 5-HT. After exposure to 10% O2 for 2 or 5 weeks, the number and medial wall thickness of muscular pulmonary vessels were reduced in hypoxic 5-HTT–/– mice as compared with wild-type paired controls. Concomitantly, right ventricular systolic pressure was lower and right ventricle hypertrophy less marked in the mutant mice. This occurred despite potentiation of acute hypoxic pulmonary vasoconstriction in the 5-HTT–/– mice. These data further support a key role of 5-HTT in hypoxia-induced pulmonary vascular SMC proliferation and pulmonary hypertension.

Authors

S. Eddahibi, N. Hanoun, L. Lanfumey, K.P. Lesch, B. Raffestin, M. Hamon, S. Adnot

×

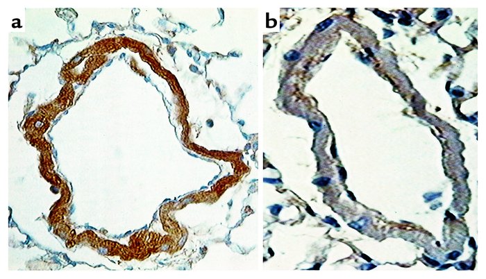
Figure 7

Options: View larger image (or click on image) Download as PowerPoint
Immunohistochemical localization of 5-HTT in distal pulmonary vessels fr...
Immunohistochemical localization of 5-HTT in distal pulmonary vessels from a 5-HTT+/+ mouse (a) and a 5-HTT–/– mutant mouse (b) exposed to hypoxia for 2 weeks. In the pulmonary vessels from wild-type mice, dense immunostaining is visible in the smooth muscle cells. In contrast, only a very low level of background staining is observed in vessels from 5-HTT–/– mice. Scale bar, 25 μm.

Copyright © 2026 American Society for Clinical Investigation
ISSN: 0021-9738 (print), 1558-8238 (online)

Sign up for email alerts