Go to JCI Insight
  • About
  • Editors
  • Consulting Editors
  • For authors
  • Publication ethics
  • Publication alerts by email
  • Advertising
  • Job board
  • Contact
  • Clinical Research and Public Health
  • Current issue
  • Past issues
  • By specialty
    • COVID-19
    • Cardiology
    • Gastroenterology
    • Immunology
    • Metabolism
    • Nephrology
    • Neuroscience
    • Oncology
    • Pulmonology
    • Vascular biology
    • All ...
  • Videos
    • Conversations with Giants in Medicine
    • Video Abstracts
  • Reviews
    • View all reviews ...
    • Clinical innovation and scientific progress in GLP-1 medicine (Nov 2025)
    • Pancreatic Cancer (Jul 2025)
    • Complement Biology and Therapeutics (May 2025)
    • Evolving insights into MASLD and MASH pathogenesis and treatment (Apr 2025)
    • Microbiome in Health and Disease (Feb 2025)
    • Substance Use Disorders (Oct 2024)
    • Clonal Hematopoiesis (Oct 2024)
    • View all review series ...
  • Viewpoint
  • Collections
    • In-Press Preview
    • Clinical Research and Public Health
    • Research Letters
    • Letters to the Editor
    • Editorials
    • Commentaries
    • Editor's notes
    • Reviews
    • Viewpoints
    • 100th anniversary
    • Top read articles

  • Current issue
  • Past issues
  • Specialties
  • Reviews
  • Review series
  • Conversations with Giants in Medicine
  • Video Abstracts
  • In-Press Preview
  • Clinical Research and Public Health
  • Research Letters
  • Letters to the Editor
  • Editorials
  • Commentaries
  • Editor's notes
  • Reviews
  • Viewpoints
  • 100th anniversary
  • Top read articles
  • About
  • Editors
  • Consulting Editors
  • For authors
  • Publication ethics
  • Publication alerts by email
  • Advertising
  • Job board
  • Contact
High-level expression of Egr-1 and Egr-1–inducible genes in mouse and human atherosclerosis
Timothy A. McCaffrey, Chenzhong Fu, Baoheng Du, Sukru Eksinar, K. Craig Kent, Harry Bush Jr., Karl Kreiger, Todd Rosengart, Myron I. Cybulsky, Eric S. Silverman, Tucker Collins
Timothy A. McCaffrey, Chenzhong Fu, Baoheng Du, Sukru Eksinar, K. Craig Kent, Harry Bush Jr., Karl Kreiger, Todd Rosengart, Myron I. Cybulsky, Eric S. Silverman, Tucker Collins
View: Text | PDF
Article

High-level expression of Egr-1 and Egr-1–inducible genes in mouse and human atherosclerosis

  • Text
  • PDF
Abstract

To understand the mRNA transcript profile in the human atherosclerotic lesion, RNA was prepared from the fibrous cap versus adjacent media of 13 patients undergoing carotid endarterectomy. cDNA expression arrays bearing 588 known genes indicated that lesions express unexpectedly high levels of the early growth response gene, Egr-1 (NGFI-A), a zinc-finger transcription factor that modulates a cluster of stress-responsive genes including PDGF and TGF-β. Expression of Egr-1 was an average of 5-fold higher in the lesion than in the adjacent media, a result confirmed by RT-PCR, and many Egr-1–inducible genes were also strongly elevated in the lesion. Time-course analyses revealed that Egr-1 was not induced ex vivo. Immunocytochemistry indicated that Egr-1 was expressed prominently in the smooth muscle–actin positive cells, particularly in areas of macrophage infiltration, and in other cell types, including endothelial cells. Induction of atherosclerosis in LDL receptor-null mice by feeding them a high-fat diet resulted in a progressive increase in Egr-1 expression in the aorta. Thus, induction of Egr-1 by atherogenic factors may be a key step in coordinating the cellular events that result in vascular lesions.

Authors

Timothy A. McCaffrey, Chenzhong Fu, Baoheng Du, Sukru Eksinar, K. Craig Kent, Harry Bush Jr., Karl Kreiger, Todd Rosengart, Myron I. Cybulsky, Eric S. Silverman, Tucker Collins

×

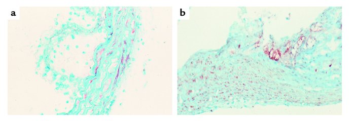
Figure 7

Options: View larger image (or click on image) Download as PowerPoint
Egr-1 expression in the late lesions of LDLR–/– mice fed a cholesterol-r...
Egr-1 expression in the late lesions of LDLR–/– mice fed a cholesterol-rich diet. LDLR–/– mice sacrificed at 20 weeks, were stained with Egr-1 antibodies. Regions containing raised atherosclerotic lesions are shown in (a) and (b) with Egr-1–positive cells producing a red reaction product (Fast Red) against the light-blue/green counterstain (methylene green).

Copyright © 2026 American Society for Clinical Investigation
ISSN: 0021-9738 (print), 1558-8238 (online)

Sign up for email alerts