Go to JCI Insight
  • About
  • Editors
  • Consulting Editors
  • For authors
  • Publication ethics
  • Publication alerts by email
  • Advertising
  • Job board
  • Contact
  • Clinical Research and Public Health
  • Current issue
  • Past issues
  • By specialty
    • COVID-19
    • Cardiology
    • Gastroenterology
    • Immunology
    • Metabolism
    • Nephrology
    • Neuroscience
    • Oncology
    • Pulmonology
    • Vascular biology
    • All ...
  • Videos
    • Conversations with Giants in Medicine
    • Video Abstracts
  • Reviews
    • View all reviews ...
    • Clinical innovation and scientific progress in GLP-1 medicine (Nov 2025)
    • Pancreatic Cancer (Jul 2025)
    • Complement Biology and Therapeutics (May 2025)
    • Evolving insights into MASLD and MASH pathogenesis and treatment (Apr 2025)
    • Microbiome in Health and Disease (Feb 2025)
    • Substance Use Disorders (Oct 2024)
    • Clonal Hematopoiesis (Oct 2024)
    • View all review series ...
  • Viewpoint
  • Collections
    • In-Press Preview
    • Clinical Research and Public Health
    • Research Letters
    • Letters to the Editor
    • Editorials
    • Commentaries
    • Editor's notes
    • Reviews
    • Viewpoints
    • 100th anniversary
    • Top read articles

  • Current issue
  • Past issues
  • Specialties
  • Reviews
  • Review series
  • Conversations with Giants in Medicine
  • Video Abstracts
  • In-Press Preview
  • Clinical Research and Public Health
  • Research Letters
  • Letters to the Editor
  • Editorials
  • Commentaries
  • Editor's notes
  • Reviews
  • Viewpoints
  • 100th anniversary
  • Top read articles
  • About
  • Editors
  • Consulting Editors
  • For authors
  • Publication ethics
  • Publication alerts by email
  • Advertising
  • Job board
  • Contact
Analysis of conditional heterozygous STXBP1 mutations in human neurons
Christopher Patzke, Yan Han, Jason Covy, Fei Yi, Stephan Maxeiner, Marius Wernig, Thomas C. Südhof
Christopher Patzke, Yan Han, Jason Covy, Fei Yi, Stephan Maxeiner, Marius Wernig, Thomas C. Südhof
View: Text | PDF
Research Article Neuroscience

Analysis of conditional heterozygous STXBP1 mutations in human neurons

  • Text
  • PDF
Abstract

Heterozygous mutations in the syntaxin-binding protein 1 (STXBP1) gene, which encodes Munc18-1, a core component of the presynaptic membrane-fusion machinery, cause infantile early epileptic encephalopathy (Ohtahara syndrome), but it is unclear how a partial loss of Munc18-1 produces this severe clinical presentation. Here, we generated human ES cells designed to conditionally express heterozygous and homozygous STXBP1 loss-of-function mutations and studied isogenic WT and STXBP1-mutant human neurons derived from these conditionally mutant ES cells. We demonstrated that heterozygous STXBP1 mutations lower the levels of Munc18-1 protein and its binding partner, the t-SNARE-protein Syntaxin-1, by approximately 30% and decrease spontaneous and evoked neurotransmitter release by nearly 50%. Thus, our results confirm that using engineered human embryonic stem (ES) cells is a viable approach to studying disease-associated mutations in human neurons on a controlled genetic background, demonstrate that partial STXBP1 loss of function robustly impairs neurotransmitter release in human neurons, and suggest that heterozygous STXBP1 mutations cause early epileptic encephalopathy specifically through a presynaptic impairment.

Authors

Christopher Patzke, Yan Han, Jason Covy, Fei Yi, Stephan Maxeiner, Marius Wernig, Thomas C. Südhof

×

Figure 2

Protein composition, survival, and neuronal differentiation of STXBP1-mutant human neurons.

Options: View larger image (or click on image) Download as PowerPoint
Protein composition, survival, and neuronal differentiation of STXBP1-mu...
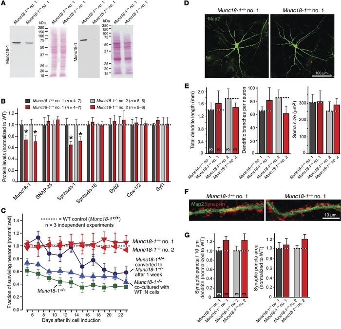
(A) Immunoblots and Ponceau-stained blots of control and heterozygous and homozygous mutant iN cells. (B) Protein levels in matched control and independent clones of heterozygous STXBP1-mutant iN cells, determined by quantitative immunoblotting (see also Supplemental Figure 2, A and B). *P < 0.05, Student’s t test. (C) Plot of the fraction of surviving neurons compared with controls (dotted line) as a function of culture time. Tested conditions: heterozygous cells from 2 independent ES cell clones (red); homozygous cells generated with standard conditions cultured alone (green) or cocultured with WT iN cells (blue); homozygous STXBP1-mutant iN cells in which the mutation was induced 1 week after iN cell induction (black). Degeneration of homozygous STXBP1-mutant neurons is statistically highly significant under all conditions. P < 0.01, 2-way ANOVA. (D) Heterozygous STXBP1-mutant iN cells stained for the dendritic marker MAP2. Scale bar: 100 μm. (E) Total dendritic length (left), number of branches (middle), and soma size (right) quantified with control and mutant iN cells derived from 2 separate mutant ES cell clones. (F) Dendrites from control and heterozygous STXBP1-mutant iN cells stained for MAP2 and synapsin to visualize presynaptic terminals. Scale bar: 10 μm. (G) Density (left) and size (right) of synapsin-positive puncta along dendrites in heterozygous STXBP1-mutant iN cells derived from 2 independent ES cell clones. Error bars represent mean ± SEM. Numbers of independent experiments performed are indicated in the graphs.

Copyright © 2026 American Society for Clinical Investigation
ISSN: 0021-9738 (print), 1558-8238 (online)

Sign up for email alerts