Go to JCI Insight
  • About
  • Editors
  • Consulting Editors
  • For authors
  • Publication ethics
  • Publication alerts by email
  • Advertising
  • Job board
  • Contact
  • Clinical Research and Public Health
  • Current issue
  • Past issues
  • By specialty
    • COVID-19
    • Cardiology
    • Gastroenterology
    • Immunology
    • Metabolism
    • Nephrology
    • Neuroscience
    • Oncology
    • Pulmonology
    • Vascular biology
    • All ...
  • Videos
    • ASCI Milestone Awards
    • Video Abstracts
    • Conversations with Giants in Medicine
  • Reviews
    • View all reviews ...
    • Clinical innovation and scientific progress in GLP-1 medicine (Nov 2025)
    • Pancreatic Cancer (Jul 2025)
    • Complement Biology and Therapeutics (May 2025)
    • Evolving insights into MASLD and MASH pathogenesis and treatment (Apr 2025)
    • Microbiome in Health and Disease (Feb 2025)
    • Substance Use Disorders (Oct 2024)
    • Clonal Hematopoiesis (Oct 2024)
    • View all review series ...
  • Viewpoint
  • Collections
    • In-Press Preview
    • Clinical Research and Public Health
    • Research Letters
    • Letters to the Editor
    • Editorials
    • Commentaries
    • Editor's notes
    • Reviews
    • Viewpoints
    • 100th anniversary
    • Top read articles

  • Current issue
  • Past issues
  • Specialties
  • Reviews
  • Review series
  • ASCI Milestone Awards
  • Video Abstracts
  • Conversations with Giants in Medicine
  • In-Press Preview
  • Clinical Research and Public Health
  • Research Letters
  • Letters to the Editor
  • Editorials
  • Commentaries
  • Editor's notes
  • Reviews
  • Viewpoints
  • 100th anniversary
  • Top read articles
  • About
  • Editors
  • Consulting Editors
  • For authors
  • Publication ethics
  • Publication alerts by email
  • Advertising
  • Job board
  • Contact
Apo A-I inhibits foam cell formation in apo E–deficient mice after monocyte adherence to endothelium
Hayes M. Dansky, Sherri A. Charlton, Courtenay B. Barlow, Minna Tamminen, Jonathan D. Smith, Joy S. Frank, Jan L. Breslow
Hayes M. Dansky, Sherri A. Charlton, Courtenay B. Barlow, Minna Tamminen, Jonathan D. Smith, Joy S. Frank, Jan L. Breslow
View: Text | PDF
Article

Apo A-I inhibits foam cell formation in apo E–deficient mice after monocyte adherence to endothelium

  • Text
  • PDF
Abstract

We have previously shown that expression of the human apo A-I transgene on the apo E–deficient background increases HDL cholesterol and greatly diminishes fatty streak lesion formation. To examine the mechanism, prelesional events in atherosclerotic plaque development were examined in 6- to 8-week-old apo E–deficient and apo E–deficient/human apo A-I transgenic mice. A quantitative assessment of subendothelial lipid deposition by freeze-fracture and deep-etch electron microscopy indicated that elevated apo A-I did not affect the distribution or amount of aortic arch subendothelial lipid deposits. Immunohistochemical staining for VCAM-1 demonstrated similar expression on endothelial cells at prelesional aortic branch sites from both apo E–deficient and apo E–deficient/human apo A-I transgenic mice. Transmission electron microscopy revealed monocytes bound to the aortic arch in mice of both genotypes, and immunohistochemical staining demonstrated that the area occupied by bound mononuclear cells was unchanged. Serum paraoxonase and aryl esterase activity did not differ between apo E–deficient and apo E–deficient/human apo A-I transgenic mice. These data suggest that increases in apo A-I and HDL cholesterol inhibit foam cell formation in apo E–deficient/human apo A-I transgenic mice at a stage following lipid deposition, endothelial activation, and monocyte adherence, without increases in HDL-associated paraoxonase.

Authors

Hayes M. Dansky, Sherri A. Charlton, Courtenay B. Barlow, Minna Tamminen, Jonathan D. Smith, Joy S. Frank, Jan L. Breslow

×

Figure 3

Options: View larger image (or click on image) Download as PowerPoint
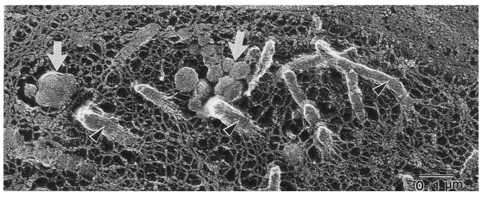
Freeze-etch electron micrograph from the intima of an E0 mouse. The arro...
Freeze-etch electron micrograph from the intima of an E0 mouse. The arrow points to individual lipid particles in close association with collagen fibrils (arrowheads). This type of lipid deposition was quantified as type 3 in Table 2. ×97,200.

Copyright © 2026 American Society for Clinical Investigation
ISSN: 0021-9738 (print), 1558-8238 (online)

Sign up for email alerts