Go to JCI Insight
  • About
  • Editors
  • Consulting Editors
  • For authors
  • Publication ethics
  • Publication alerts by email
  • Advertising
  • Job board
  • Contact
  • Clinical Research and Public Health
  • Current issue
  • Past issues
  • By specialty
    • COVID-19
    • Cardiology
    • Gastroenterology
    • Immunology
    • Metabolism
    • Nephrology
    • Neuroscience
    • Oncology
    • Pulmonology
    • Vascular biology
    • All ...
  • Videos
    • ASCI Milestone Awards
    • Video Abstracts
    • Conversations with Giants in Medicine
  • Reviews
    • View all reviews ...
    • Clinical innovation and scientific progress in GLP-1 medicine (Nov 2025)
    • Pancreatic Cancer (Jul 2025)
    • Complement Biology and Therapeutics (May 2025)
    • Evolving insights into MASLD and MASH pathogenesis and treatment (Apr 2025)
    • Microbiome in Health and Disease (Feb 2025)
    • Substance Use Disorders (Oct 2024)
    • Clonal Hematopoiesis (Oct 2024)
    • View all review series ...
  • Viewpoint
  • Collections
    • In-Press Preview
    • Clinical Research and Public Health
    • Research Letters
    • Letters to the Editor
    • Editorials
    • Commentaries
    • Editor's notes
    • Reviews
    • Viewpoints
    • 100th anniversary
    • Top read articles

  • Current issue
  • Past issues
  • Specialties
  • Reviews
  • Review series
  • ASCI Milestone Awards
  • Video Abstracts
  • Conversations with Giants in Medicine
  • In-Press Preview
  • Clinical Research and Public Health
  • Research Letters
  • Letters to the Editor
  • Editorials
  • Commentaries
  • Editor's notes
  • Reviews
  • Viewpoints
  • 100th anniversary
  • Top read articles
  • About
  • Editors
  • Consulting Editors
  • For authors
  • Publication ethics
  • Publication alerts by email
  • Advertising
  • Job board
  • Contact
LXRβ is required for glucocorticoid-induced hyperglycemia and hepatosteatosis in mice
Rucha Patel, Monika Patel, Ricky Tsai, Vicky Lin, Angie L. Bookout, Yuan Zhang, Lilia Magomedova, Tingting Li, Jessica F. Chan, Conrad Budd, David J. Mangelsdorf, Carolyn L. Cummins
Rucha Patel, Monika Patel, Ricky Tsai, Vicky Lin, Angie L. Bookout, Yuan Zhang, Lilia Magomedova, Tingting Li, Jessica F. Chan, Conrad Budd, David J. Mangelsdorf, Carolyn L. Cummins
View: Text | PDF
Research Article Metabolism

LXRβ is required for glucocorticoid-induced hyperglycemia and hepatosteatosis in mice

  • Text
  • PDF
Abstract

Although widely prescribed for their potent antiinflammatory actions, glucocorticoid drugs (e.g., dexamethasone) cause undesirable side effects that are features of the metabolic syndrome, including hyperglycemia, fatty liver, insulin resistance, and type II diabetes. Liver x receptors (LXRs) are nuclear receptors that respond to cholesterol metabolites and regulate the expression of a subset of glucocorticoid target genes. Here, we show LXRβ is required to mediate many of the negative side effects of glucocorticoids. Mice lacking LXRβ (but not LXRα) were resistant to dexamethasone-induced hyperglycemia, hyperinsulinemia, and hepatic steatosis, but remained sensitive to dexamethasone-dependent repression of the immune system. In vivo, LXRα/β knockout mice demonstrated reduced dexamethasone-induced expression of the key hepatic gluconeogenic gene, phosphoenolpyruvate carboxykinase (PEPCK). In perfused liver and primary mouse hepatocytes, LXRβ was required for glucocorticoid-induced recruitment of the glucocorticoid receptor to the PEPCK promoter. These findings suggest a new avenue for the design of safer glucocorticoid drugs through a mechanism of selective glucocorticoid receptor transactivation.

Authors

Rucha Patel, Monika Patel, Ricky Tsai, Vicky Lin, Angie L. Bookout, Yuan Zhang, Lilia Magomedova, Tingting Li, Jessica F. Chan, Conrad Budd, David J. Mangelsdorf, Carolyn L. Cummins

×

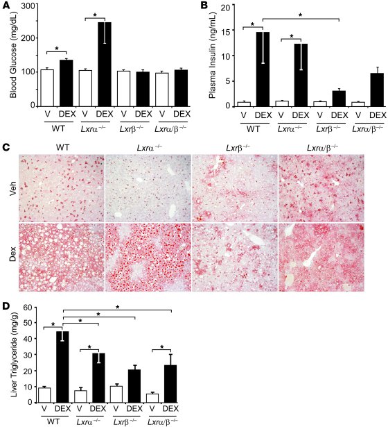
Figure 5

Lxrβ–/– mice are resistant to developing GC-induced hyperglycemia, hyperinsulinemia, and hepatic steatosis.

Options: View larger image (or click on image) Download as PowerPoint

Lxrβ–/– mice are resistant to developing GC-induced hyperglycemia, hype...
WT, Lxrα–/–, Lxrβ–/–, and Lxrα/β–/– mice were treated with DEX (2.5 mg/kg, b.i.d.) or vehicle (V) for 14 days (by i.p. injection). (A) Blood glucose levels were measured by tail nick 6 hours after lights on in fed mice using a handheld glucometer *P < 0.05, t test. (B) Plasma insulin was measured using a sensitive rat insulin RIA kit. (C) Liver sections were stained with oil red O and examined under brightfield microscopy. Original magnification, ×100 (representative image from n = 3/treatment group). Preweighed liver sections were homogenized in chloroform/methanol (2:1) and lipids extracted by the Folch method. Dried aliquots were assayed for liver triglycerides (D) using a commercial kit. Average ± SEM. n = 4–6 (A, B, and D). (B and D) *P < 0.05, ANOVA followed by Student-Newman-Keuls.

Copyright © 2026 American Society for Clinical Investigation
ISSN: 0021-9738 (print), 1558-8238 (online)

Sign up for email alerts