Go to JCI Insight
  • About
  • Editors
  • Consulting Editors
  • For authors
  • Publication ethics
  • Publication alerts by email
  • Advertising
  • Job board
  • Contact
  • Clinical Research and Public Health
  • Current issue
  • Past issues
  • By specialty
    • COVID-19
    • Cardiology
    • Gastroenterology
    • Immunology
    • Metabolism
    • Nephrology
    • Neuroscience
    • Oncology
    • Pulmonology
    • Vascular biology
    • All ...
  • Videos
    • Conversations with Giants in Medicine
    • Video Abstracts
  • Reviews
    • View all reviews ...
    • Pancreatic Cancer (Jul 2025)
    • Complement Biology and Therapeutics (May 2025)
    • Evolving insights into MASLD and MASH pathogenesis and treatment (Apr 2025)
    • Microbiome in Health and Disease (Feb 2025)
    • Substance Use Disorders (Oct 2024)
    • Clonal Hematopoiesis (Oct 2024)
    • Sex Differences in Medicine (Sep 2024)
    • View all review series ...
  • Viewpoint
  • Collections
    • In-Press Preview
    • Clinical Research and Public Health
    • Research Letters
    • Letters to the Editor
    • Editorials
    • Commentaries
    • Editor's notes
    • Reviews
    • Viewpoints
    • 100th anniversary
    • Top read articles

  • Current issue
  • Past issues
  • Specialties
  • Reviews
  • Review series
  • Conversations with Giants in Medicine
  • Video Abstracts
  • In-Press Preview
  • Clinical Research and Public Health
  • Research Letters
  • Letters to the Editor
  • Editorials
  • Commentaries
  • Editor's notes
  • Reviews
  • Viewpoints
  • 100th anniversary
  • Top read articles
  • About
  • Editors
  • Consulting Editors
  • For authors
  • Publication ethics
  • Publication alerts by email
  • Advertising
  • Job board
  • Contact
An aberrant prostate antigen–specific immune response causes prostatitis in mice and is associated with chronic prostatitis in humans
Yafei Hou, … , Mark S. Anderson, Lawrence Fong
Yafei Hou, … , Mark S. Anderson, Lawrence Fong
Published June 1, 2009
Citation Information: J Clin Invest. 2009;119(7):2031-2041. https://doi.org/10.1172/JCI38332.
View: Text | PDF
Research Article Immunology

An aberrant prostate antigen–specific immune response causes prostatitis in mice and is associated with chronic prostatitis in humans

  • Text
  • PDF
Abstract

Chronic prostatitis is a common disease of unclear etiology and has no specific treatment. Mice deficient in the expression of the autoimmune regulator (Aire) gene, which are defective in thymic expression of self antigens and central tolerance, develop spontaneous prostatitis. In this study, we found that Aire-deficient mice developed spontaneous B and T cell immune responses to a prostate autoantigen, seminal vesicle secretory protein 2 (SVS2), which we believe to be novel. We show that thymic expression of this self antigen was Aire dependent. Moreover, prostatitis was induced in WT mice through immunization with SVS2, demonstrating that immunity to SVS2 was sufficient to induce prostatitis. The clinical relevance of this antigen was highlighted by our observation that patients with chronic prostatitis possessed specific autoantibodies against the human SVS2-like seminal vesicle protein semenogelin. These results provide direct evidence that spontaneous chronic prostatitis is an autoimmune disease and is regulated by both central and peripheral tolerance. Moreover, SVS2 and semenogelin are among the relevant autoantigens in mice and humans, respectively.

Authors

Yafei Hou, Jason DeVoss, Vinh Dao, Serena Kwek, Jeffrey P. Simko, Douglas G. McNeel, Mark S. Anderson, Lawrence Fong

×

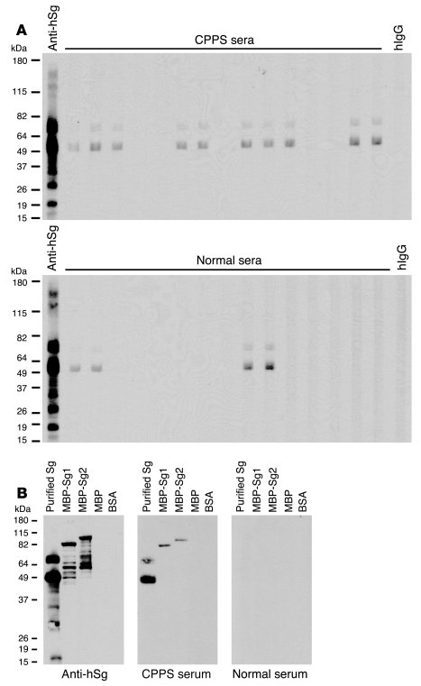
Figure 8

CPPS patients possess autoimmune response to human Sg.

Options: View larger image (or click on image) Download as PowerPoint
CPPS patients possess autoimmune response to human Sg.
(A) Immunoblottin...
(A) Immunoblotting of purified Sg was performed with the sera from CPPS patients and age-matched male blood donors. Each lane of the multiscreen immunoblot represents sera from an individual sample. Shown are 15 representative sera from each group. The 52- and 71-kDa bands denote Sg1 and Sg2, respectively. Rabbit anti-human Sg (anti-hSg) and human nonspecific IgG (hIgG) were used as positive and negative controls, respectively. (B) Immunoblots of recombinant MBP-Sg1, MBP-Sg1, and Sg purified from semen plasma were used to detect IgG antibodies within sera from a patient with CPPS and an age-matched normal male donor. Polyclonal rabbit anti-human Sg Ab was used as positive control. MBP and BSA denote irrelevant protein controls.

Copyright © 2025 American Society for Clinical Investigation
ISSN: 0021-9738 (print), 1558-8238 (online)

Sign up for email alerts