Go to JCI Insight
  • About
  • Editors
  • Consulting Editors
  • For authors
  • Publication ethics
  • Publication alerts by email
  • Advertising
  • Job board
  • Contact
  • Clinical Research and Public Health
  • Current issue
  • Past issues
  • By specialty
    • COVID-19
    • Cardiology
    • Gastroenterology
    • Immunology
    • Metabolism
    • Nephrology
    • Neuroscience
    • Oncology
    • Pulmonology
    • Vascular biology
    • All ...
  • Videos
    • Conversations with Giants in Medicine
    • Video Abstracts
  • Reviews
    • View all reviews ...
    • Clinical innovation and scientific progress in GLP-1 medicine (Nov 2025)
    • Pancreatic Cancer (Jul 2025)
    • Complement Biology and Therapeutics (May 2025)
    • Evolving insights into MASLD and MASH pathogenesis and treatment (Apr 2025)
    • Microbiome in Health and Disease (Feb 2025)
    • Substance Use Disorders (Oct 2024)
    • Clonal Hematopoiesis (Oct 2024)
    • View all review series ...
  • Viewpoint
  • Collections
    • In-Press Preview
    • Clinical Research and Public Health
    • Research Letters
    • Letters to the Editor
    • Editorials
    • Commentaries
    • Editor's notes
    • Reviews
    • Viewpoints
    • 100th anniversary
    • Top read articles

  • Current issue
  • Past issues
  • Specialties
  • Reviews
  • Review series
  • Conversations with Giants in Medicine
  • Video Abstracts
  • In-Press Preview
  • Clinical Research and Public Health
  • Research Letters
  • Letters to the Editor
  • Editorials
  • Commentaries
  • Editor's notes
  • Reviews
  • Viewpoints
  • 100th anniversary
  • Top read articles
  • About
  • Editors
  • Consulting Editors
  • For authors
  • Publication ethics
  • Publication alerts by email
  • Advertising
  • Job board
  • Contact
Glomerular type 1 angiotensin receptors augment kidney injury and inflammation in murine autoimmune nephritis
Steven D. Crowley, Matthew P. Vasievich, Phillip Ruiz, Samantha K. Gould, Kelly K. Parsons, A. Kathy Pazmino, Carie Facemire, Benny J. Chen, Hyung-Suk Kim, Trinh T. Tran, David S. Pisetsky, Laura Barisoni, Minolfa C. Prieto-Carrasquero, Marie Jeansson, Mary H. Foster, Thomas M. Coffman
Steven D. Crowley, Matthew P. Vasievich, Phillip Ruiz, Samantha K. Gould, Kelly K. Parsons, A. Kathy Pazmino, Carie Facemire, Benny J. Chen, Hyung-Suk Kim, Trinh T. Tran, David S. Pisetsky, Laura Barisoni, Minolfa C. Prieto-Carrasquero, Marie Jeansson, Mary H. Foster, Thomas M. Coffman
View: Text | PDF
Research Article Nephrology

Glomerular type 1 angiotensin receptors augment kidney injury and inflammation in murine autoimmune nephritis

  • Text
  • PDF
Abstract

Studies in humans and animal models indicate a key contribution of angiotensin II to the pathogenesis of glomerular diseases. To examine the role of type 1 angiotensin (AT1) receptors in glomerular inflammation associated with autoimmune disease, we generated MRL-Faslpr/lpr (lpr) mice lacking the major murine type 1 angiotensin receptor (AT1A); lpr mice develop a generalized autoimmune disease with glomerulonephritis that resembles SLE. Surprisingly, AT1A deficiency was not protective against disease but instead substantially accelerated mortality, proteinuria, and kidney pathology. Increased disease severity was not a direct effect of immune cells, since transplantation of AT1A-deficient bone marrow did not affect survival. Moreover, autoimmune injury in extrarenal tissues, including skin, heart, and joints, was unaffected by AT1A deficiency. In murine systems, there is a second type 1 angiotensin receptor isoform, AT1B, and its expression is especially prominent in the renal glomerulus within podocytes. Further, expression of renin was enhanced in kidneys of AT1A-deficient lpr mice, and they showed evidence of exaggerated AT1B receptor activation, including substantially increased podocyte injury and expression of inflammatory mediators. Administration of losartan, which blocks all type 1 angiotensin receptors, reduced markers of kidney disease, including proteinuria, glomerular pathology, and cytokine mRNA expression. Since AT1A-deficient lpr mice had low blood pressure, these findings suggest that activation of type 1 angiotensin receptors in the glomerulus is sufficient to accelerate renal injury and inflammation in the absence of hypertension.

Authors

Steven D. Crowley, Matthew P. Vasievich, Phillip Ruiz, Samantha K. Gould, Kelly K. Parsons, A. Kathy Pazmino, Carie Facemire, Benny J. Chen, Hyung-Suk Kim, Trinh T. Tran, David S. Pisetsky, Laura Barisoni, Minolfa C. Prieto-Carrasquero, Marie Jeansson, Mary H. Foster, Thomas M. Coffman

×

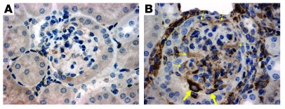
Figure 8

Enhanced podocyte injury in kidneys from lpr-KO mice.

Options: View larger image (or click on image) Download as PowerPoint
Enhanced podocyte injury in kidneys from lpr-KO mice.
   
Immunostaining...
Immunostaining for desmin, a marker of podocyte injury, was carried out in sections of kidneys from lpr (n = 11; 7 males and 4 females) and lpr-KO mice (n = 10; 6 males and 4 females). (A) A representative glomerulus from an lpr mouse shows no staining for desmin in podocytes, with very focal staining for desmin in the mesangial cell cytoplasm (1+ to 2+). (B) In the representative glomerulus from an lpr-KO mouse, the podocytes are hyperplastic, with positive staining for desmin in the cytoplasm varying in intensity from 1+ to 2+ (thin arrows) to 3+ (thick arrows). The mesangial cell cytoplasm is also strongly positive for desmin (3+). Very focal staining is also noted in some parietal epithelial cells and in interstitium, probably reflecting increased numbers of fibroblasts. Positive staining from desmin in podocytes was found in 80% of lpr-KO kidneys versus 9% of lpr control kidneys (P < 0.002). Original magnification, ×40.

Copyright © 2025 American Society for Clinical Investigation
ISSN: 0021-9738 (print), 1558-8238 (online)

Sign up for email alerts