Go to JCI Insight
  • About
  • Editors
  • Consulting Editors
  • For authors
  • Publication ethics
  • Publication alerts by email
  • Advertising
  • Job board
  • Contact
  • Clinical Research and Public Health
  • Current issue
  • Past issues
  • By specialty
    • COVID-19
    • Cardiology
    • Gastroenterology
    • Immunology
    • Metabolism
    • Nephrology
    • Neuroscience
    • Oncology
    • Pulmonology
    • Vascular biology
    • All ...
  • Videos
    • ASCI Milestone Awards
    • Video Abstracts
    • Conversations with Giants in Medicine
  • Reviews
    • View all reviews ...
    • Clinical innovation and scientific progress in GLP-1 medicine (Nov 2025)
    • Pancreatic Cancer (Jul 2025)
    • Complement Biology and Therapeutics (May 2025)
    • Evolving insights into MASLD and MASH pathogenesis and treatment (Apr 2025)
    • Microbiome in Health and Disease (Feb 2025)
    • Substance Use Disorders (Oct 2024)
    • Clonal Hematopoiesis (Oct 2024)
    • View all review series ...
  • Viewpoint
  • Collections
    • In-Press Preview
    • Clinical Research and Public Health
    • Research Letters
    • Letters to the Editor
    • Editorials
    • Commentaries
    • Editor's notes
    • Reviews
    • Viewpoints
    • 100th anniversary
    • Top read articles

  • Current issue
  • Past issues
  • Specialties
  • Reviews
  • Review series
  • ASCI Milestone Awards
  • Video Abstracts
  • Conversations with Giants in Medicine
  • In-Press Preview
  • Clinical Research and Public Health
  • Research Letters
  • Letters to the Editor
  • Editorials
  • Commentaries
  • Editor's notes
  • Reviews
  • Viewpoints
  • 100th anniversary
  • Top read articles
  • About
  • Editors
  • Consulting Editors
  • For authors
  • Publication ethics
  • Publication alerts by email
  • Advertising
  • Job board
  • Contact
Inflammatory macrophage migration requires MMP-9 activation by plasminogen in mice
Yanqing Gong, Erika Hart, Aleksey Shchurin, Jane Hoover-Plow
Yanqing Gong, Erika Hart, Aleksey Shchurin, Jane Hoover-Plow
View: Text | PDF
Research Article Inflammation

Inflammatory macrophage migration requires MMP-9 activation by plasminogen in mice

  • Text
  • PDF
Abstract

Inflammation plays a critical role in the development of cardiovascular diseases. Infiltration of leukocytes to sites of injury requires their exit from the blood and migration across basement membrane; this process has been postulated to require remodeling of the ECM. Plasminogen (Plg) is a protease that binds to the ECM and, upon conversion to plasmin, degrades multiple ECM proteins. In addition, plasmin directly activates MMPs. Here, we used Plg–/– mice to investigate the role of Plg in inflammatory leukocyte migration. After induction of peritonitis by thioglycollate injection, we found that Plg–/– mice displayed diminished macrophage trans-ECM migration and decreased MMP-9 activation. Furthermore, injection of the active form of MMP-9 in Plg–/– mice rescued macrophage migration in this model. We used periaortic application of CaCl2 to induce abdominal aortic aneurysm (AAA) and found that Plg–/– mice displayed reduced macrophage infiltration and were protected from aneurysm formation. Administration of active MMP-9 to Plg–/– mice promoted macrophage infiltration and the development of AAA. These data suggest that Plg regulates macrophage migration in inflammation via activation of MMP-9, which, in turn, regulates the ability of the cells to migrate across ECM. Thus, targeting the Plg/MMP-9 pathway may be an attractive approach to regulate inflammatory responses and AAA development.

Authors

Yanqing Gong, Erika Hart, Aleksey Shchurin, Jane Hoover-Plow

×

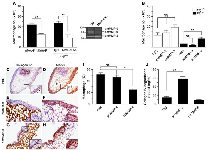
Figure 6

Macrophages require MMP-9 in vivo to migrate across peritoneal tissue, and actMMP-9 rescues impaired macrophage migration in Plg–/– mice.

Options: View larger image (or click on image) Download as PowerPoint
Macrophages require MMP-9 in vivo to migrate across peritoneal tissue, a...
(A) Macrophage migration in Mmp9+/+ or Mmp9–/– mice and in Plg+/+ mice treated with control IgG or anti–MMP-9 antibody was measured 72 hours after thioglycollate injection (n = 5–7). Inset, gelatin zymograph of PLF from Plg+/+ mice treated with IgG or MMP-9 antibody shows that the MMP-9 neutralization abolishes MMP-9 activation. (B–J) Before thioglycollate injection, mice were treated with PBS, proMMP-9, and actMMP-9, and 48 hours after thioglycollate injection, peritoneal lavage and tissue were collected. Results are from 3 independent assays (n = 5–7). (B) actMMP-9 restores the suppressed macrophage recruitment to the peritoneal cavity in Plg–/– mice. (C–H) Collagen IV (collagen IV antibody) and macrophage (Mac-3 antibody) immunostaining in Plg–/– mice. Arrowheads indicate mesothelial layer; asterisk indicates macrophage accumulation area. Original magnification (C and D), ×100; insets, ×200. Original magnification (E–H), ×200; insets, ×400. (I) Macrophage distribution expressed as percentage of total sample area in peritoneal tissue. (J) Soluble collagen IV degradation products in PLF of Plg–/– mice. *P < 0.05, **P < 0.01.

Copyright © 2026 American Society for Clinical Investigation
ISSN: 0021-9738 (print), 1558-8238 (online)

Sign up for email alerts