Go to JCI Insight
  • About
  • Editors
  • Consulting Editors
  • For authors
  • Publication ethics
  • Publication alerts by email
  • Advertising
  • Job board
  • Contact
  • Clinical Research and Public Health
  • Current issue
  • Past issues
  • By specialty
    • COVID-19
    • Cardiology
    • Gastroenterology
    • Immunology
    • Metabolism
    • Nephrology
    • Neuroscience
    • Oncology
    • Pulmonology
    • Vascular biology
    • All ...
  • Videos
    • Conversations with Giants in Medicine
    • Video Abstracts
  • Reviews
    • View all reviews ...
    • Clinical innovation and scientific progress in GLP-1 medicine (Nov 2025)
    • Pancreatic Cancer (Jul 2025)
    • Complement Biology and Therapeutics (May 2025)
    • Evolving insights into MASLD and MASH pathogenesis and treatment (Apr 2025)
    • Microbiome in Health and Disease (Feb 2025)
    • Substance Use Disorders (Oct 2024)
    • Clonal Hematopoiesis (Oct 2024)
    • View all review series ...
  • Viewpoint
  • Collections
    • In-Press Preview
    • Clinical Research and Public Health
    • Research Letters
    • Letters to the Editor
    • Editorials
    • Commentaries
    • Editor's notes
    • Reviews
    • Viewpoints
    • 100th anniversary
    • Top read articles

  • Current issue
  • Past issues
  • Specialties
  • Reviews
  • Review series
  • Conversations with Giants in Medicine
  • Video Abstracts
  • In-Press Preview
  • Clinical Research and Public Health
  • Research Letters
  • Letters to the Editor
  • Editorials
  • Commentaries
  • Editor's notes
  • Reviews
  • Viewpoints
  • 100th anniversary
  • Top read articles
  • About
  • Editors
  • Consulting Editors
  • For authors
  • Publication ethics
  • Publication alerts by email
  • Advertising
  • Job board
  • Contact
Aberrant activation of integrin α4β7 suppresses lymphocyte migration to the gut
Eun Jeong Park, J. Rodrigo Mora, Christopher V. Carman, JianFeng Chen, Yoshiteru Sasaki, Guiying Cheng, Ulrich H. von Andrian, Motomu Shimaoka
Eun Jeong Park, J. Rodrigo Mora, Christopher V. Carman, JianFeng Chen, Yoshiteru Sasaki, Guiying Cheng, Ulrich H. von Andrian, Motomu Shimaoka
View: Text | PDF
Research Article

Aberrant activation of integrin α4β7 suppresses lymphocyte migration to the gut

  • Text
  • PDF
Abstract

Integrin adhesion molecules mediate lymphocyte migration and homing to normal and inflamed tissues. While the ligand-binding activity of integrins is known to be modulated by conformational changes, little is known about how the appropriate balance of integrin adhesiveness is maintained in order to optimize the migratory capacity of lymphocytes in vivo. In this study we examined the regulation of the gut homing receptor α4β7 integrin by manipulating at the germline level an integrin regulatory domain known as adjacent to metal ion-dependent adhesion site (ADMIDAS). ADMIDAS normally serves to raise the activation threshold of α4β7, thereby stabilizing it in the default nonadhesive state. Lymphocytes from knockin β7 (D146A) mice, which harbor a disrupted ADMIDAS, not only expressed an α4β7 integrin that persistently adhered to mucosal addressin cell adhesion molecule–1 (MAdCAM-1), but also exhibited perturbed cell migration along MAdCAM-1 substrates resulting from improper de-adhesion of the lymphocyte trailing edge. In vivo, aberrantly activated α4β7 enhanced adhesion to Peyer’s patch venules, but suppressed lymphocyte homing to the gut, diminishing the capacity of T cells to induce colitis. Our results underscore the importance of a proper balance in the adhesion and de-adhesion of the α4β7 integrin, both for lymphocyte trafficking to the gut and for colitis progression.

Authors

Eun Jeong Park, J. Rodrigo Mora, Christopher V. Carman, JianFeng Chen, Yoshiteru Sasaki, Guiying Cheng, Ulrich H. von Andrian, Motomu Shimaoka

×

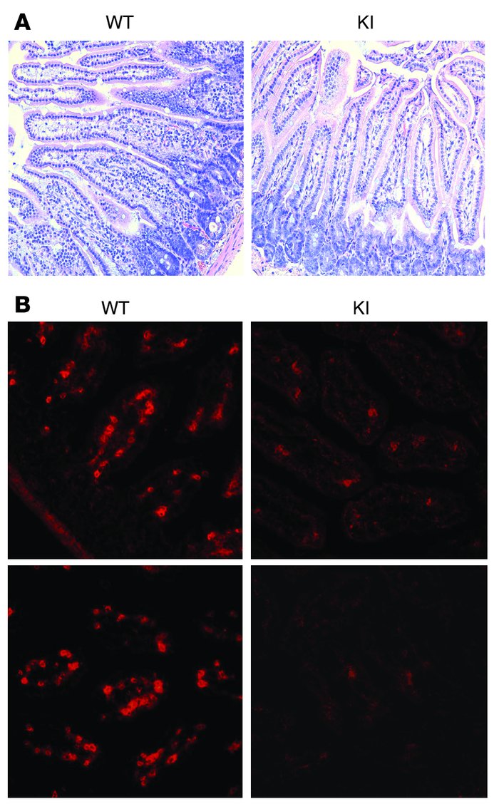
Figure 2

Histology showing reduced T cell numbers in the gut of β7 (D146A) mice.

Options: View larger image (or click on image) Download as PowerPoint
Histology showing reduced T cell numbers in the gut of β7 (D146A) mice.
...
Representative histology sections (original magnification, ×200) of the SI of WT and β7 (D146A) KI mice were analyzed by (A) hematoxylin and eosin staining and (B) immunofluorescent staining with Cy3-conjugated anti-CD3ε mAb.

Copyright © 2026 American Society for Clinical Investigation
ISSN: 0021-9738 (print), 1558-8238 (online)

Sign up for email alerts