Go to JCI Insight
  • About
  • Editors
  • Consulting Editors
  • For authors
  • Publication ethics
  • Publication alerts by email
  • Advertising
  • Job board
  • Contact
  • Clinical Research and Public Health
  • Current issue
  • Past issues
  • By specialty
    • COVID-19
    • Cardiology
    • Gastroenterology
    • Immunology
    • Metabolism
    • Nephrology
    • Neuroscience
    • Oncology
    • Pulmonology
    • Vascular biology
    • All ...
  • Videos
    • ASCI Milestone Awards
    • Video Abstracts
    • Conversations with Giants in Medicine
  • Reviews
    • View all reviews ...
    • Neurodegeneration (Mar 2026)
    • Clinical innovation and scientific progress in GLP-1 medicine (Nov 2025)
    • Pancreatic Cancer (Jul 2025)
    • Complement Biology and Therapeutics (May 2025)
    • Evolving insights into MASLD and MASH pathogenesis and treatment (Apr 2025)
    • Microbiome in Health and Disease (Feb 2025)
    • Substance Use Disorders (Oct 2024)
    • View all review series ...
  • Viewpoint
  • Collections
    • In-Press Preview
    • Clinical Research and Public Health
    • Research Letters
    • Letters to the Editor
    • Editorials
    • Commentaries
    • Editor's notes
    • Reviews
    • Viewpoints
    • 100th anniversary
    • Top read articles

  • Current issue
  • Past issues
  • Specialties
  • Reviews
  • Review series
  • ASCI Milestone Awards
  • Video Abstracts
  • Conversations with Giants in Medicine
  • In-Press Preview
  • Clinical Research and Public Health
  • Research Letters
  • Letters to the Editor
  • Editorials
  • Commentaries
  • Editor's notes
  • Reviews
  • Viewpoints
  • 100th anniversary
  • Top read articles
  • About
  • Editors
  • Consulting Editors
  • For authors
  • Publication ethics
  • Publication alerts by email
  • Advertising
  • Job board
  • Contact
Urolithiasis and hepatotoxicity are linked to the anion transporter Sat1 in mice
Paul A. Dawson, Christopher S. Russell, Soohyun Lee, Sarah C. McLeay, Jacobus M. van Dongen, David M. Cowley, Lorne A. Clarke, Daniel Markovich
Paul A. Dawson, Christopher S. Russell, Soohyun Lee, Sarah C. McLeay, Jacobus M. van Dongen, David M. Cowley, Lorne A. Clarke, Daniel Markovich
View: Text | PDF
Research Article Nephrology

Urolithiasis and hepatotoxicity are linked to the anion transporter Sat1 in mice

  • Text
  • PDF
Abstract

Urolithiasis, a condition in which stones are present in the urinary system, including the kidneys and bladder, is a poorly understood yet common disorder worldwide that leads to significant health care costs, morbidity, and work loss. Acetaminophen-induced liver damage is a major cause of death in patients with acute liver failure. Kidney and urinary stones and liver toxicity are disturbances linked to alterations in oxalate and sulfate homeostasis, respectively. The sulfate anion transporter–1 (Sat1; also known as Slc26a1) mediates epithelial transport of oxalate and sulfate, and its localization in the kidney, liver, and intestine suggests that it may play a role in oxalate and sulfate homeostasis. To determine the physiological roles of Sat1, we created Sat1–/– mice by gene disruption. These mice exhibited hyperoxaluria with hyperoxalemia, nephrocalcinosis, and calcium oxalate stones in their renal tubules and bladder. Sat1–/– mice also displayed hypersulfaturia, hyposulfatemia, and enhanced acetaminophen-induced liver toxicity. These data suggest that Sat1 regulates both oxalate and sulfate homeostasis and may be critical to the development of calcium oxalate urolithiasis and hepatotoxicity.

Authors

Paul A. Dawson, Christopher S. Russell, Soohyun Lee, Sarah C. McLeay, Jacobus M. van Dongen, David M. Cowley, Lorne A. Clarke, Daniel Markovich

×

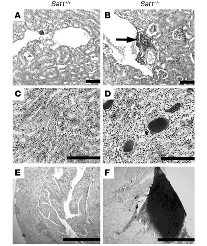
Figure 3

Urolithiasis in Sat1–/– mice.

Options: View larger image (or click on image) Download as PowerPoint
Urolithiasis in Sat1–/– mice.
   
(A and B) Representative H&E-stain...
(A and B) Representative H&E-stained kidney sections showing infiltration of leukocytes (arrow) around the renal cortical vessels in 100% of Sat1–/– mice (n = 8), absent in Sat1+/+ mice. (C–F) Representative Yasue-stained kidney (C and D) and bladder (E and F) sections showing calcium oxalate stones (dark staining) in kidney tubules of 47% Sat1–/– mice (n = 15) and bladders of 26% Sat1–/– mice (n = 19), but not in any Sat1+/+ mice (n = 10). Gross histological analyses of additional tissues in which Sat1 is expressed (liver and brain) showed no structural differences between Sat1–/– and Sat1+/+ mice (not shown). Scale bars: 100 μm (A and B); 500 μm (C and D); 2 mm (E and F).

Copyright © 2026 American Society for Clinical Investigation
ISSN: 0021-9738 (print), 1558-8238 (online)

Sign up for email alerts