Go to JCI Insight
  • About
  • Editors
  • Consulting Editors
  • For authors
  • Publication ethics
  • Publication alerts by email
  • Advertising
  • Job board
  • Contact
  • Clinical Research and Public Health
  • Current issue
  • Past issues
  • By specialty
    • COVID-19
    • Cardiology
    • Gastroenterology
    • Immunology
    • Metabolism
    • Nephrology
    • Neuroscience
    • Oncology
    • Pulmonology
    • Vascular biology
    • All ...
  • Videos
    • ASCI Milestone Awards
    • Video Abstracts
    • Conversations with Giants in Medicine
  • Reviews
    • View all reviews ...
    • Clinical innovation and scientific progress in GLP-1 medicine (Nov 2025)
    • Pancreatic Cancer (Jul 2025)
    • Complement Biology and Therapeutics (May 2025)
    • Evolving insights into MASLD and MASH pathogenesis and treatment (Apr 2025)
    • Microbiome in Health and Disease (Feb 2025)
    • Substance Use Disorders (Oct 2024)
    • Clonal Hematopoiesis (Oct 2024)
    • View all review series ...
  • Viewpoint
  • Collections
    • In-Press Preview
    • Clinical Research and Public Health
    • Research Letters
    • Letters to the Editor
    • Editorials
    • Commentaries
    • Editor's notes
    • Reviews
    • Viewpoints
    • 100th anniversary
    • Top read articles

  • Current issue
  • Past issues
  • Specialties
  • Reviews
  • Review series
  • ASCI Milestone Awards
  • Video Abstracts
  • Conversations with Giants in Medicine
  • In-Press Preview
  • Clinical Research and Public Health
  • Research Letters
  • Letters to the Editor
  • Editorials
  • Commentaries
  • Editor's notes
  • Reviews
  • Viewpoints
  • 100th anniversary
  • Top read articles
  • About
  • Editors
  • Consulting Editors
  • For authors
  • Publication ethics
  • Publication alerts by email
  • Advertising
  • Job board
  • Contact
Dysferlin-mediated membrane repair protects the heart from stress-induced left ventricular injury
Renzhi Han, Dimple Bansal, Katsuya Miyake, Viviane P. Muniz, Robert M. Weiss, Paul L. McNeil, Kevin P. Campbell
Renzhi Han, Dimple Bansal, Katsuya Miyake, Viviane P. Muniz, Robert M. Weiss, Paul L. McNeil, Kevin P. Campbell
View: Text | PDF
Research Article

Dysferlin-mediated membrane repair protects the heart from stress-induced left ventricular injury

  • Text
  • PDF
Abstract

Dilated cardiomyopathy is a life-threatening syndrome that can arise from a myriad of causes, but predisposition toward this malady is inherited in many cases. A number of inherited forms of dilated cardiomyopathy arise from mutations in genes that encode proteins involved in linking the cytoskeleton to the extracellular matrix, and disruption of this link renders the cell membrane more susceptible to injury. Membrane repair is an important cellular mechanism that animal cells have developed to survive membrane disruption. We have previously shown that dysferlin deficiency leads to defective membrane resealing in skeletal muscle and muscle necrosis; however, the function of dysferlin in the heart remains to be determined. Here, we demonstrate that dysferlin is also involved in cardiomyocyte membrane repair and that dysferlin deficiency leads to cardiomyopathy. In particular, stress exercise disturbs left ventricular function in dysferlin-null mice and increases Evans blue dye uptake in dysferlin-deficient cardiomyocytes. Furthermore, a combined deficiency of dystrophin and dysferlin leads to early onset cardiomyopathy. Our results suggest that dysferlin-mediated membrane repair is important for maintaining membrane integrity of cardiomyocytes, particularly under conditions of mechanical stress. Thus, our study establishes what we believe is a novel mechanism underlying the cardiomyopathy that results from a defective membrane repair in the absence of dysferlin.

Authors

Renzhi Han, Dimple Bansal, Katsuya Miyake, Viviane P. Muniz, Robert M. Weiss, Paul L. McNeil, Kevin P. Campbell

×

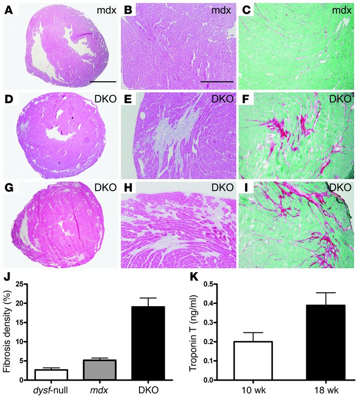
Figure 5

Severe early-onset cardiomyopathy in DKO mice.

Options: View larger image (or click on image) Download as PowerPoint
Severe early-onset cardiomyopathy in DKO mice.
Histological examination ...
Histological examination revealed that the DKO mice presented large areas of necrosis and fibrosis at 11 (D–F) and 16 (G–I) weeks of age whereas mdx mice (A–C) did not present any apparent fiber necrosis or fibrosis even by 16 weeks of age. Scale bars: 2 mm (A, D, and G); 500 μm (B, C, E, F, H, and I). (J) Quantitative analysis of total cardiac collagen deposits in dysferlin-null, mdx, and DKO mice at 16 weeks of age (n = 5 for each group; P < 0.01 for DKO versus either dysferlin-null or mdx mice). (K) The serum troponin T was dramatically elevated in the 10- (n = 5) and 18-week-old DKO mice (n = 5).

Copyright © 2026 American Society for Clinical Investigation
ISSN: 0021-9738 (print), 1558-8238 (online)

Sign up for email alerts