Go to JCI Insight
  • About
  • Editors
  • Consulting Editors
  • For authors
  • Publication ethics
  • Publication alerts by email
  • Advertising
  • Job board
  • Contact
  • Clinical Research and Public Health
  • Current issue
  • Past issues
  • By specialty
    • COVID-19
    • Cardiology
    • Gastroenterology
    • Immunology
    • Metabolism
    • Nephrology
    • Neuroscience
    • Oncology
    • Pulmonology
    • Vascular biology
    • All ...
  • Videos
    • Conversations with Giants in Medicine
    • Video Abstracts
  • Reviews
    • View all reviews ...
    • Clinical innovation and scientific progress in GLP-1 medicine (Nov 2025)
    • Pancreatic Cancer (Jul 2025)
    • Complement Biology and Therapeutics (May 2025)
    • Evolving insights into MASLD and MASH pathogenesis and treatment (Apr 2025)
    • Microbiome in Health and Disease (Feb 2025)
    • Substance Use Disorders (Oct 2024)
    • Clonal Hematopoiesis (Oct 2024)
    • View all review series ...
  • Viewpoint
  • Collections
    • In-Press Preview
    • Clinical Research and Public Health
    • Research Letters
    • Letters to the Editor
    • Editorials
    • Commentaries
    • Editor's notes
    • Reviews
    • Viewpoints
    • 100th anniversary
    • Top read articles

  • Current issue
  • Past issues
  • Specialties
  • Reviews
  • Review series
  • Conversations with Giants in Medicine
  • Video Abstracts
  • In-Press Preview
  • Clinical Research and Public Health
  • Research Letters
  • Letters to the Editor
  • Editorials
  • Commentaries
  • Editor's notes
  • Reviews
  • Viewpoints
  • 100th anniversary
  • Top read articles
  • About
  • Editors
  • Consulting Editors
  • For authors
  • Publication ethics
  • Publication alerts by email
  • Advertising
  • Job board
  • Contact
Atrial natriuretic peptide promotes cardiomyocyte survival by cGMP-dependent nuclear accumulation of zyxin and Akt
Takahiro Kato, John Muraski, Yan Chen, Yasuyuki Tsujita, Jason Wall, Christopher C. Glembotski, Erik Schaefer, Mary Beckerle, Mark A. Sussman
Takahiro Kato, John Muraski, Yan Chen, Yasuyuki Tsujita, Jason Wall, Christopher C. Glembotski, Erik Schaefer, Mary Beckerle, Mark A. Sussman
View: Text | PDF
Research Article Immunology

Atrial natriuretic peptide promotes cardiomyocyte survival by cGMP-dependent nuclear accumulation of zyxin and Akt

  • Text
  • PDF
Abstract

This study delineates a mechanism for antiapoptotic signaling initiated by atrial natriuretic peptide (ANP) stimulation leading to elevation of cGMP levels and subsequent nuclear accumulation of Akt kinase associated with zyxin, a cytoskeletal LIM-domain protein. Nuclear targeting of zyxin induces resistance to cell death coincident with nuclear accumulation of activated Akt. Nuclear translocation of zyxin triggered by cGMP also promotes nuclear Akt accumulation. Additional supportive evidence for nuclear accumulation of zyxin-enhancing cardiomyocyte survival includes the following: (a) promotion of zyxin nuclear localization by cardioprotective stimuli; (b) zyxin association with phospho-Akt473 induced by cardioprotective stimuli; and (c) recruitment of zyxin to the nucleus by activated nuclear-targeted Akt as well as recruitment of Akt by nuclear-targeted zyxin. Nuclear accumulation of zyxin requires both Akt activation and nuclear localization. Potentiation of cell survival is sensitive to stimulation intensity with high-level induction by ANP or cGMP signaling leading to apoptotic cell death rather than enhancing resistance to apoptotic stimuli. Myocardial nuclear accumulation of zyxin and Akt responds similarly in vivo following treatment of mice with ANP or cGMP. Thus, zyxin and activated Akt participate in a cGMP-dependent signaling cascade leading from ANP receptors to nuclear accumulation of both molecules. Nuclear accumulation of zyxin and activated Akt may represent a fundamental mechanism that facilitates nuclear-signal transduction and potentiates cell survival.

Authors

Takahiro Kato, John Muraski, Yan Chen, Yasuyuki Tsujita, Jason Wall, Christopher C. Glembotski, Erik Schaefer, Mary Beckerle, Mark A. Sussman

×

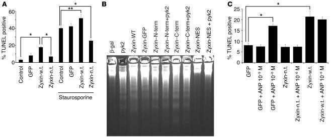
Figure 3

Options: View larger image (or click on image) Download as PowerPoint
Nuclear accumulation of zyxin is antiapoptotic. TUNEL assay (A) of cultu...
Nuclear accumulation of zyxin is antiapoptotic. TUNEL assay (A) of cultured cardiomyocytes infected with adenoviruses expressing GFP, full-length zyxin (zyxin-w.t.), or nuclear-targeted zyxin for 2 hours followed by treatment with 1 μmol/l staurosporine to induce apoptosis. Results shown were derived from 3 separate experiments. (B) Apoptosis in cultured cardiomyocyte evaluated by DNA laddering. Adenoviruses expressing β-gal or zyxin as wild-type, GFP-conjugated full length (GFP), residues 1-322 (N-term), residues 349–542 (C-term), or NES-deleted residues 322–331 (NES). Apoptotic stimulation was initiated by overexpression of pyk2 kinase as previously described (35). Typical result is shown of 3 separate repetitions for the laddering experiment. (C) TUNEL assay of cultured cardiomyocytes shows protective effect of nuclear-targeted zyxin accumulation in response to apoptotic challenge by ANP (10–6 M) but lack of protection by ANP (10–9 M) in response to apoptotic challenge by full-length wild-type zyxin accumulation. Adenoviral vectors were used for expression of zyxin constructs with GFP expression shown as a control for effects of ANP treatments. *P < 0.01; **P < 0.05.

Copyright © 2025 American Society for Clinical Investigation
ISSN: 0021-9738 (print), 1558-8238 (online)

Sign up for email alerts