Go to JCI Insight
  • About
  • Editors
  • Consulting Editors
  • For authors
  • Publication ethics
  • Publication alerts by email
  • Advertising
  • Job board
  • Contact
  • Clinical Research and Public Health
  • Current issue
  • Past issues
  • By specialty
    • COVID-19
    • Cardiology
    • Gastroenterology
    • Immunology
    • Metabolism
    • Nephrology
    • Neuroscience
    • Oncology
    • Pulmonology
    • Vascular biology
    • All ...
  • Videos
    • ASCI Milestone Awards
    • Video Abstracts
    • Conversations with Giants in Medicine
  • Reviews
    • View all reviews ...
    • Neurodegeneration (Mar 2026)
    • Clinical innovation and scientific progress in GLP-1 medicine (Nov 2025)
    • Pancreatic Cancer (Jul 2025)
    • Complement Biology and Therapeutics (May 2025)
    • Evolving insights into MASLD and MASH pathogenesis and treatment (Apr 2025)
    • Microbiome in Health and Disease (Feb 2025)
    • Substance Use Disorders (Oct 2024)
    • View all review series ...
  • Viewpoint
  • Collections
    • In-Press Preview
    • Clinical Research and Public Health
    • Research Letters
    • Letters to the Editor
    • Editorials
    • Commentaries
    • Editor's notes
    • Reviews
    • Viewpoints
    • 100th anniversary
    • Top read articles

  • Current issue
  • Past issues
  • Specialties
  • Reviews
  • Review series
  • ASCI Milestone Awards
  • Video Abstracts
  • Conversations with Giants in Medicine
  • In-Press Preview
  • Clinical Research and Public Health
  • Research Letters
  • Letters to the Editor
  • Editorials
  • Commentaries
  • Editor's notes
  • Reviews
  • Viewpoints
  • 100th anniversary
  • Top read articles
  • About
  • Editors
  • Consulting Editors
  • For authors
  • Publication ethics
  • Publication alerts by email
  • Advertising
  • Job board
  • Contact
Transcriptional activation of integrin β6 during the epithelial-mesenchymal transition defines a novel prognostic indicator of aggressive colon carcinoma
Richard C. Bates, David I. Bellovin, Courtney Brown, Elizabeth Maynard, Bingyan Wu, Hisaaki Kawakatsu, Dean Sheppard, Peter Oettgen, Arthur M. Mercurio
Richard C. Bates, David I. Bellovin, Courtney Brown, Elizabeth Maynard, Bingyan Wu, Hisaaki Kawakatsu, Dean Sheppard, Peter Oettgen, Arthur M. Mercurio
View: Text | PDF
Article Oncology

Transcriptional activation of integrin β6 during the epithelial-mesenchymal transition defines a novel prognostic indicator of aggressive colon carcinoma

  • Text
  • PDF
Abstract

We used a spheroid model of colon carcinoma to analyze integrin dynamics as a function of the epithelial-mesenchymal transition (EMT), a process that provides a paradigm for understanding how carcinoma cells acquire a more aggressive phenotype. This EMT involves transcriptional activation of the β6 integrin subunit and a consequent induction of αvβ6 expression. This integrin enhances the tumorigenic properties of colon carcinoma, including activation of autocrine TGF-β and migration on interstitial fibronectin. Importantly, this study validates the clinical relevance of the EMT. Kaplan-Meier analysis of β6 expression in 488 colorectal carcinomas revealed a striking reduction in median survival time of patients with high β6 expression. Elevated receptor expression did not simply reflect increasing tumor stage, since log-rank analysis showed a more significant impact on the survival of patients with early-stage, as opposed to late-stage, disease. Cox regression analysis confirmed that this integrin is an independent variable for these tumors. These findings define the αvβ6 integrin as an important risk factor for early-stage disease and a novel therapeutic candidate for colorectal cancer.

Authors

Richard C. Bates, David I. Bellovin, Courtney Brown, Elizabeth Maynard, Bingyan Wu, Hisaaki Kawakatsu, Dean Sheppard, Peter Oettgen, Arthur M. Mercurio

×

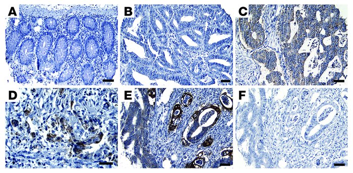
Figure 6

Options: View larger image (or click on image) Download as PowerPoint
Expression of αvβ6 in malignant human colon carcinoma. (A–E) Representat...
Expression of αvβ6 in malignant human colon carcinoma. (A–E) Representative β6 immunostaining of normal human colon (A) or malignant colon carcinoma tissue (B–E). A negative (B) and a positive (C) tumor sample are shown. β6 Immunostaining is shown for a separate carcinoma sample in D, with tumor cells infiltrating the stroma showing high expression of the receptor. Heterogeneous receptor expression in another primary tumor, with intense upregulation and preferential localization to tumor islets, is illustrated in E. (F) The corresponding negative control for the tumor shown in E. Scale bars: 100 μm (A–C, E, and F) and 50 μm (D).

Copyright © 2026 American Society for Clinical Investigation
ISSN: 0021-9738 (print), 1558-8238 (online)

Sign up for email alerts