Go to JCI Insight
  • About
  • Editors
  • Consulting Editors
  • For authors
  • Publication ethics
  • Publication alerts by email
  • Advertising
  • Job board
  • Contact
  • Clinical Research and Public Health
  • Current issue
  • Past issues
  • By specialty
    • COVID-19
    • Cardiology
    • Gastroenterology
    • Immunology
    • Metabolism
    • Nephrology
    • Neuroscience
    • Oncology
    • Pulmonology
    • Vascular biology
    • All ...
  • Videos
    • Conversations with Giants in Medicine
    • Video Abstracts
  • Reviews
    • View all reviews ...
    • Clinical innovation and scientific progress in GLP-1 medicine (Nov 2025)
    • Pancreatic Cancer (Jul 2025)
    • Complement Biology and Therapeutics (May 2025)
    • Evolving insights into MASLD and MASH pathogenesis and treatment (Apr 2025)
    • Microbiome in Health and Disease (Feb 2025)
    • Substance Use Disorders (Oct 2024)
    • Clonal Hematopoiesis (Oct 2024)
    • View all review series ...
  • Viewpoint
  • Collections
    • In-Press Preview
    • Clinical Research and Public Health
    • Research Letters
    • Letters to the Editor
    • Editorials
    • Commentaries
    • Editor's notes
    • Reviews
    • Viewpoints
    • 100th anniversary
    • Top read articles

  • Current issue
  • Past issues
  • Specialties
  • Reviews
  • Review series
  • Conversations with Giants in Medicine
  • Video Abstracts
  • In-Press Preview
  • Clinical Research and Public Health
  • Research Letters
  • Letters to the Editor
  • Editorials
  • Commentaries
  • Editor's notes
  • Reviews
  • Viewpoints
  • 100th anniversary
  • Top read articles
  • About
  • Editors
  • Consulting Editors
  • For authors
  • Publication ethics
  • Publication alerts by email
  • Advertising
  • Job board
  • Contact
Targeting legumain-mediated cell-cell interaction sensitizes glioblastoma to immunotherapy in preclinical models
Lizhi Pang, … , Justin D. Lathia, Peiwen Chen
Lizhi Pang, … , Justin D. Lathia, Peiwen Chen
Published March 25, 2025
Citation Information: J Clin Invest. 2025;135(10):e186034. https://doi.org/10.1172/JCI186034.
View: Text | PDF
Research Article Immunology Oncology

Targeting legumain-mediated cell-cell interaction sensitizes glioblastoma to immunotherapy in preclinical models

  • Text
  • PDF
Abstract

Tumor-associated macrophages (TAMs) are the most prominent immune cell population in the glioblastoma (GBM) tumor microenvironment and play critical roles in promoting tumor progression and immunosuppression. Here we identified that TAM-derived legumain (LGMN) exhibited a dual role in regulating the biology of TAMs and GBM cells. LGMN promoted macrophage infiltration in a cell-autonomous manner by activating the GSK3β/STAT3 pathway. Moreover, TAM-derived LGMN activated integrin αv/AKT/p65 signaling to drive GBM cell proliferation and survival. Targeting of LGMN-directed macrophage (inhibiting GSK3β and STAT3) and GBM cell (inhibiting integrin αv) mechanisms resulted in an antitumor effect in immunocompetent GBM mouse models that was further enhanced by combination with anti–PD-1 therapy. Our study reveals a paracrine and autocrine mechanism of TAM-derived LGMN that promotes GBM progression and immunosuppression, providing effective therapeutic targets to improve immunotherapy in GBM.

Authors

Lizhi Pang, Songlin Guo, Yuyun Huang, Fatima Khan, Yang Liu, Fei Zhou, Justin D. Lathia, Peiwen Chen

×

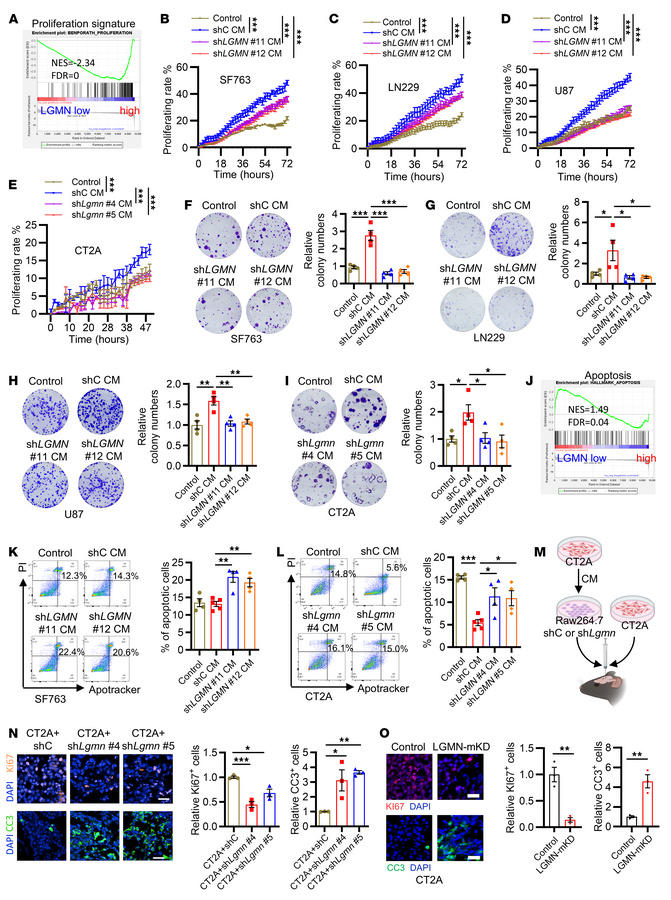
Figure 3

Macrophage-derived LGMN regulates GBM cell proliferation and apoptosis.

Options: View larger image (or click on image) Download as PowerPoint
Macrophage-derived LGMN regulates GBM cell proliferation and apoptosis.
...
(A) GSEA shows enrichment of proliferation signature in tumors from the LGMN-low compared with the LGMN-high macrophage group. Normalized enrichment score (NES) and FDR q values are shown. (B–D) Proliferation curves of SF763 (B), LN229 (C), and U87 (D) cells treated with CM from THP1 macrophages expressing shRNA control (shC) and LGMN shRNAs (shLGMN). GBM cell proliferation was recorded and analyzed using the Incucyte imaging system for 72 hours. n = 6 independent samples. (E) Proliferation curves of CT2A cells treated with CM from Raw264.7 macrophages expressing shC and shLgmn. CT2A GBM cell proliferation was recorded and analyzed using the Incucyte imaging system for 48 hours. n = 6 independent samples. (F–I) Colony formation assay and quantifications showing proliferation of SF763 (F), LN229 (G), U87 (H), and CT2A (I) cells treated with CM from THP1 or Raw264.7 macrophages expressing shC and shLGMN. n = 4 independent samples. (J) GSEA shows enrichment of apoptosis signature in the LGMN-low compared with the LGMN-high macrophage group. NES and FDR q values are shown. (K and L) Representative images and quantification of Apotracker and propidium iodide (PI) staining showing apoptosis of SF763 (K) and CT2A (L) cells treated with CM from THP1 or Raw264.7 macrophages expressing shC and shLGMN. n = 4 independent samples. (M) Diagram showing procedures of coinjection of CT2A cells and CT2A CM–educated Raw264.7 macrophages harboring shC or shLgmn into brains of C57BL/6 mice. (N) Representative images and quantification of IF for relative expression of Ki67 and cleaved caspase-3 (CC3) in size-matched tumors from C57BL/6 mice implanted with CT2A cells and CT2A CM–polarized Raw264.7 macrophages expressing shC or shLgmn. Scale bars: 25 μm. n = 3 independent samples. (O) Representative images and quantification of IF for relative expression of Ki67 and CC3 in size-matched tumors from control and LGMN–macrophage-specific knockdown (LGMN-mKD) mice implanted with CT2A cells. Scale bars: 25 μm. n = 3 independent samples. Two-way ANOVA test (B–E); 1-way ANOVA test (F–I, K, L, N, and O). *P < 0.05, **P < 0.01, ***P < 0.001.

Copyright © 2025 American Society for Clinical Investigation
ISSN: 0021-9738 (print), 1558-8238 (online)

Sign up for email alerts