Go to JCI Insight
  • About
  • Editors
  • Consulting Editors
  • For authors
  • Publication ethics
  • Publication alerts by email
  • Advertising
  • Job board
  • Contact
  • Clinical Research and Public Health
  • Current issue
  • Past issues
  • By specialty
    • COVID-19
    • Cardiology
    • Gastroenterology
    • Immunology
    • Metabolism
    • Nephrology
    • Neuroscience
    • Oncology
    • Pulmonology
    • Vascular biology
    • All ...
  • Videos
    • ASCI Milestone Awards
    • Video Abstracts
    • Conversations with Giants in Medicine
  • Reviews
    • View all reviews ...
    • Clinical innovation and scientific progress in GLP-1 medicine (Nov 2025)
    • Pancreatic Cancer (Jul 2025)
    • Complement Biology and Therapeutics (May 2025)
    • Evolving insights into MASLD and MASH pathogenesis and treatment (Apr 2025)
    • Microbiome in Health and Disease (Feb 2025)
    • Substance Use Disorders (Oct 2024)
    • Clonal Hematopoiesis (Oct 2024)
    • View all review series ...
  • Viewpoint
  • Collections
    • In-Press Preview
    • Clinical Research and Public Health
    • Research Letters
    • Letters to the Editor
    • Editorials
    • Commentaries
    • Editor's notes
    • Reviews
    • Viewpoints
    • 100th anniversary
    • Top read articles

  • Current issue
  • Past issues
  • Specialties
  • Reviews
  • Review series
  • ASCI Milestone Awards
  • Video Abstracts
  • Conversations with Giants in Medicine
  • In-Press Preview
  • Clinical Research and Public Health
  • Research Letters
  • Letters to the Editor
  • Editorials
  • Commentaries
  • Editor's notes
  • Reviews
  • Viewpoints
  • 100th anniversary
  • Top read articles
  • About
  • Editors
  • Consulting Editors
  • For authors
  • Publication ethics
  • Publication alerts by email
  • Advertising
  • Job board
  • Contact
Tumor-initiating cells escape tumor immunity via CCL8 from tumor-associated macrophages in mice
Shuang Chen, Chensong Huang, Kang Li, Maosheng Cheng, Caihua Zhang, Jianqi Xiong, Guoli Tian, Ruoxing Zhou, Rongsong Ling, Xiaochen Wang, Gan Xiong, Zhihui Zhang, Jieyi Ma, Yan Zhu, Bin Zhou, Liang Peng, Zhenwei Peng, Heping Li, Demeng Chen
Shuang Chen, Chensong Huang, Kang Li, Maosheng Cheng, Caihua Zhang, Jianqi Xiong, Guoli Tian, Ruoxing Zhou, Rongsong Ling, Xiaochen Wang, Gan Xiong, Zhihui Zhang, Jieyi Ma, Yan Zhu, Bin Zhou, Liang Peng, Zhenwei Peng, Heping Li, Demeng Chen
View: Text | PDF
Research Article Oncology

Tumor-initiating cells escape tumor immunity via CCL8 from tumor-associated macrophages in mice

  • Text
  • PDF
Abstract

Tumor-initiating cells (TICs) play a key role in cancer progression and immune escape. However, how TICs evade immune elimination remains poorly characterized. Combining single-cell RNA-Seq (scRNA-Seq), dual-recombinase–based lineage tracing, and other approaches, we identified a WNT-activated subpopulation of malignant cells that act as TICs in vivo. We found intensive reciprocal interactions between TICs and immune-regulatory tumor-associated macrophages (Reg-TAMs) via growth arrest–specific 6/AXL receptor tyrosine kinase/MER proto-oncogene, tyrosine kinase (GAS6/AXL/MERTK) signaling pathways, which facilitated the immune escape of TICs. In this study, we used chemical inhibitors and Axl/Mertk conditional double-KO (cDKO) mice to demonstrate that inhibiting the interaction between TIC-derived GAS6 and AXL/MERTK in Reg-TAMs reactivated antitumor immune responses. We identified CCL8 as a critical mediator of the GAS6/AXL/MERTK pathway, primarily by inhibiting Treg infiltration into the tumor. Furthermore, the AXL/MERTK signaling blockade sensitized tumor cells to anti–programmed cell death 1 (anti–PD-1) treatment. Thus, we elucidated a detailed mechanism by which TICs evade tumor immunity, providing insights into strategies to eradicate TICs that escape conventional immunotherapy.

Authors

Shuang Chen, Chensong Huang, Kang Li, Maosheng Cheng, Caihua Zhang, Jianqi Xiong, Guoli Tian, Ruoxing Zhou, Rongsong Ling, Xiaochen Wang, Gan Xiong, Zhihui Zhang, Jieyi Ma, Yan Zhu, Bin Zhou, Liang Peng, Zhenwei Peng, Heping Li, Demeng Chen

×

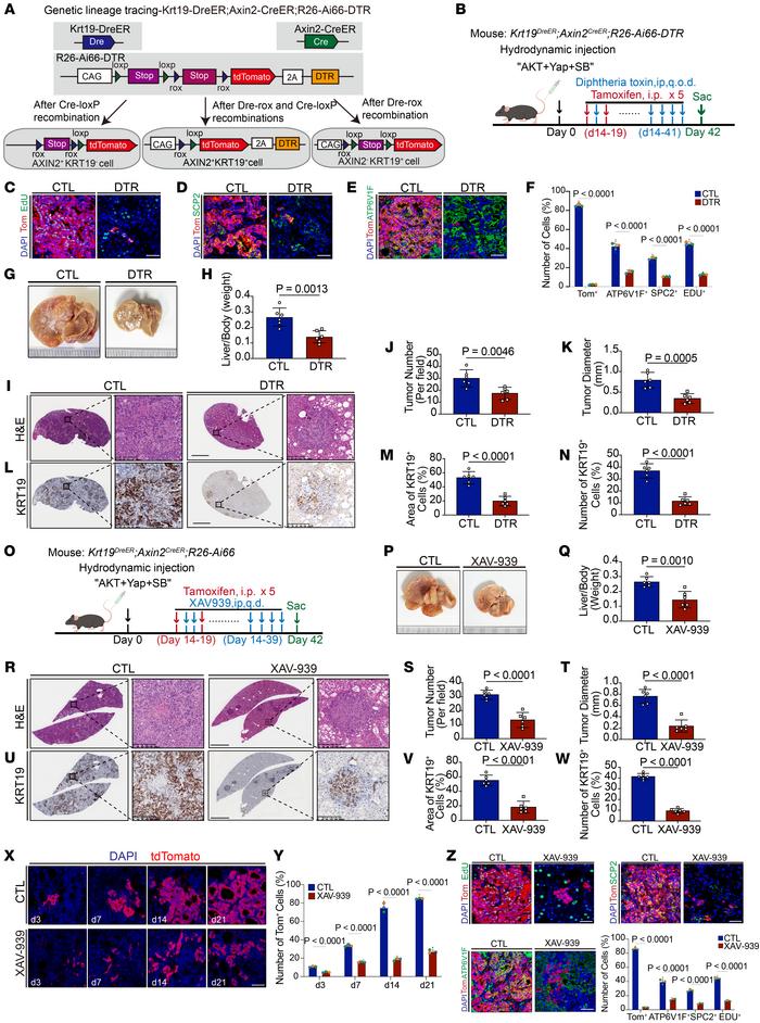
Figure 3

WNT-activated cells and WNT/β-catenin signaling are responsible for murine ICC progression.

Options: View larger image (or click on image) Download as PowerPoint
WNT-activated cells and WNT/β-catenin signaling are responsible for muri...
(A) Schematic of DTR-mediated ablation of KRT19+AXIN2+ cells. (B) Experimental strategy for lineage ablation of KRT19+AXIN2+ cells. Sac, sacrifice. (C–E) Fluorescence staining for EdU (green, C), SCP2+ (green, D), ATP6V1F+ (green, E), and Tom+ (red) cells in ICC mice after DT treatment. Scale bars: 50 μm. (F) Quantification of Tom+, Tom+EdU+, Tom+SCP2+, and Tom+ATP6V1F+ cells in ICC mice after DT treatment. (G) Representative images of liver morphology after DT treatment. (H) Statistical analysis of liver-to-body weight ratio after DT treatment. (I–N) Representative images of H&E (I) and KRT19 (L) staining of liver sections after tamoxifen and DT treatment. Scale bars: 200 μm. Statistical analyses: ICC number (J), ICC diameter (K), KRT19+ cell area (M), and KRT19+ cell number (N). (O) Experimental strategy for XAV-939 treatment in ICC mice. (P) Representative image of liver morphology after XAV-939 treatment. (Q) Statistical analysis of liver to body weight ratio after XAV-939 treatment. (R–W) Representative images of H&E (R) and KRT19 (U) staining of liver sections after XAV-939 treatment. Scale bars: 200 μm. Statistical analyses: ICC number (S), ICC diameter (T), KRT19+ cell area (V), and KRT19+ cell number. (X and Y) Fluorescence images of lineage tracing at days 3, 7, 14, and 21 in ICC tumors after XAV-939 treatment, with nuclei stained with DAPI (blue). Scale bar: 50 μm (X). Quantification of Tom+ cells at these time points (Y). (Z) Fluorescence staining of EdU+, SCP2+, and ATP6V1F+ (green) and Tom+ (red) cells in ICC mice after XAV-939 treatment. Scale bars: 50 μm. Quantification of Tom+, EdU+, SCP2+, and ATP6V1F+ cells in ICC tumors (bottom right). Data represent the mean ± SD (F, H, J, K, M, N, Q, S, T, V, W, Y, and Z). P values were calculated by 2-tailed, unpaired Student’s t test for F, H, J, K, M, N, Q, S, T, V, W, Y, and Z.

Copyright © 2026 American Society for Clinical Investigation
ISSN: 0021-9738 (print), 1558-8238 (online)

Sign up for email alerts