Go to JCI Insight
  • About
  • Editors
  • Consulting Editors
  • For authors
  • Publication ethics
  • Publication alerts by email
  • Advertising
  • Job board
  • Contact
  • Clinical Research and Public Health
  • Current issue
  • Past issues
  • By specialty
    • COVID-19
    • Cardiology
    • Gastroenterology
    • Immunology
    • Metabolism
    • Nephrology
    • Neuroscience
    • Oncology
    • Pulmonology
    • Vascular biology
    • All ...
  • Videos
    • ASCI Milestone Awards
    • Video Abstracts
    • Conversations with Giants in Medicine
  • Reviews
    • View all reviews ...
    • Clinical innovation and scientific progress in GLP-1 medicine (Nov 2025)
    • Pancreatic Cancer (Jul 2025)
    • Complement Biology and Therapeutics (May 2025)
    • Evolving insights into MASLD and MASH pathogenesis and treatment (Apr 2025)
    • Microbiome in Health and Disease (Feb 2025)
    • Substance Use Disorders (Oct 2024)
    • Clonal Hematopoiesis (Oct 2024)
    • View all review series ...
  • Viewpoint
  • Collections
    • In-Press Preview
    • Clinical Research and Public Health
    • Research Letters
    • Letters to the Editor
    • Editorials
    • Commentaries
    • Editor's notes
    • Reviews
    • Viewpoints
    • 100th anniversary
    • Top read articles

  • Current issue
  • Past issues
  • Specialties
  • Reviews
  • Review series
  • ASCI Milestone Awards
  • Video Abstracts
  • Conversations with Giants in Medicine
  • In-Press Preview
  • Clinical Research and Public Health
  • Research Letters
  • Letters to the Editor
  • Editorials
  • Commentaries
  • Editor's notes
  • Reviews
  • Viewpoints
  • 100th anniversary
  • Top read articles
  • About
  • Editors
  • Consulting Editors
  • For authors
  • Publication ethics
  • Publication alerts by email
  • Advertising
  • Job board
  • Contact
Progranulin-dependent repair function of regulatory T cells drives bone-fracture healing
Ruiying Chen, Xiaomeng Zhang, Bin Li, Maurizio S. Tonetti, Yijie Yang, Yuan Li, Beilei Liu, Shujiao Qian, Yingxin Gu, Qingwen Wang, Kairui Mao, Hao Cheng, Hongchang Lai, Junyu Shi
Ruiying Chen, Xiaomeng Zhang, Bin Li, Maurizio S. Tonetti, Yijie Yang, Yuan Li, Beilei Liu, Shujiao Qian, Yingxin Gu, Qingwen Wang, Kairui Mao, Hao Cheng, Hongchang Lai, Junyu Shi
View: Text | PDF
Research Article Bone biology

Progranulin-dependent repair function of regulatory T cells drives bone-fracture healing

  • Text
  • PDF
Abstract

Local immunoinflammatory events instruct skeletal stem cells (SSCs) to repair/regenerate bone after injury, but mechanisms are incompletely understood. We hypothesized that specialized Tregs are necessary for bone repair and interact directly with SSCs through organ-specific messages. Both in human patients with bone fracture and a mouse model of bone injury, we identified a bone injury–responding Treg subpopulation with bone-repair capacity marked by CCR8. Local production of CCL1 induced a massive migration of CCR8+ Tregs from periphery to the injury site. Depending on secretion of progranulin (PGRN), a protein encoded by the granulin (Grn) gene, CCR8+ Tregs supported the accumulation and osteogenic differentiation of SSCs and thereby bone repair. Mechanistically, we revealed that CCL1 enhanced expression levels of basic leucine zipper ATF-like transcription factor (BATF) in CCR8+ Tregs, which bound to the Grn promoter and increased Grn translational output and then PGRN secretion. Together, our work provides a new perspective in osteoimmunology and highlights possible ways of manipulating Treg signaling to enhance bone repair and regeneration.

Authors

Ruiying Chen, Xiaomeng Zhang, Bin Li, Maurizio S. Tonetti, Yijie Yang, Yuan Li, Beilei Liu, Shujiao Qian, Yingxin Gu, Qingwen Wang, Kairui Mao, Hao Cheng, Hongchang Lai, Junyu Shi

×

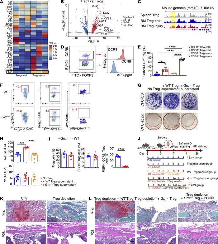
Figure 7

Bone injury–responding Tregs display bone repair function dependent on secretion of PGRN.

Options: View larger image (or click on image) Download as PowerPoint
Bone injury–responding Tregs display bone repair function dependent on s...
(A) Heatmap showing the expression of secreted factors in Tregs at injury site and Tregs in the control BM. n = 3 per group. (B) Volcano plot representation of a comparison of secreted gene-expression profiles between Treg1 subset and Treg2 subset. (C) Chromatin accessibility of the Grn locus in SP Tregs and BM Tregs in control and injury group. (D) Representative images of the expression of PGRN in CCR8+ Tregs and CCR8– Tregs. (E) Quantification of the expression of PGRN in CCR8+ Tregs and CCR8– Tregs. n = 4 per group. (F) Representative images showing the percentage of total Tregs, CCR8+ Tregs, and PGRN+CCR8+ Tregs in WT mice and Grn–/– mice. (G) Representative images of colonies of osteogenic (CFU-OB) and adipogenic (CFU-Adipo) assays showing the effect on the control with no Treg conditioned medium, with WT Treg conditioned medium, and with Grn–/– Treg conditioned medium. (H) Quantification of CFU-OB and CFU-Adipo colonies. n = 4–5 per group. (I) Statistical analysis of the proportions of Tregs in CD4+TCRβ+ cells, the proportion of CCR8+ Tregs among total Tregs, and the percentage of PGRN+CCR8+ Tregs in CCR8+ Tregs in WT mice and Grn–/– mice. n = 5 per group. (J) Diagram of the experimental protocol showing the transfer of WT/Grn–/– Tregs into Treg-depletion mice after injury. (K and L) Safranin O staining of bone tissues on day 14 after injury operation (upper). H&E of bone tissues on day 28 after injury operation (lower). Scale bars: 200 μm. All data are shown as mean ± SEM. *P ≤ 0.05; ***P ≤ 0.005; ****P ≤ 0.001, as determined by 1-way ANOVA with Bonferroni’s multiple-comparisons test (E and H) or unpaired 2-tailed Student’s t test (I).

Copyright © 2026 American Society for Clinical Investigation
ISSN: 0021-9738 (print), 1558-8238 (online)

Sign up for email alerts