Go to JCI Insight
  • About
  • Editors
  • Consulting Editors
  • For authors
  • Publication ethics
  • Publication alerts by email
  • Advertising
  • Job board
  • Contact
  • Clinical Research and Public Health
  • Current issue
  • Past issues
  • By specialty
    • COVID-19
    • Cardiology
    • Gastroenterology
    • Immunology
    • Metabolism
    • Nephrology
    • Neuroscience
    • Oncology
    • Pulmonology
    • Vascular biology
    • All ...
  • Videos
    • Conversations with Giants in Medicine
    • Video Abstracts
  • Reviews
    • View all reviews ...
    • Clinical innovation and scientific progress in GLP-1 medicine (Nov 2025)
    • Pancreatic Cancer (Jul 2025)
    • Complement Biology and Therapeutics (May 2025)
    • Evolving insights into MASLD and MASH pathogenesis and treatment (Apr 2025)
    • Microbiome in Health and Disease (Feb 2025)
    • Substance Use Disorders (Oct 2024)
    • Clonal Hematopoiesis (Oct 2024)
    • View all review series ...
  • Viewpoint
  • Collections
    • In-Press Preview
    • Clinical Research and Public Health
    • Research Letters
    • Letters to the Editor
    • Editorials
    • Commentaries
    • Editor's notes
    • Reviews
    • Viewpoints
    • 100th anniversary
    • Top read articles

  • Current issue
  • Past issues
  • Specialties
  • Reviews
  • Review series
  • Conversations with Giants in Medicine
  • Video Abstracts
  • In-Press Preview
  • Clinical Research and Public Health
  • Research Letters
  • Letters to the Editor
  • Editorials
  • Commentaries
  • Editor's notes
  • Reviews
  • Viewpoints
  • 100th anniversary
  • Top read articles
  • About
  • Editors
  • Consulting Editors
  • For authors
  • Publication ethics
  • Publication alerts by email
  • Advertising
  • Job board
  • Contact
Disruption of the KLHL37–N-Myc complex restores N-Myc degradation and arrests neuroblastoma growth in mouse models
Senfeng Xiang, Pengfei Chen, Xiaoxian Shi, Hanqi Cai, Zihan Shen, Luyang Liu, Aixiao Xu, Jianhua Zhang, Xingya Zhang, Shaowei Bing, Jinhu Wang, Xuejing Shao, Ji Cao, Bo Yang, Qiaojun He, Meidan Ying
Senfeng Xiang, Pengfei Chen, Xiaoxian Shi, Hanqi Cai, Zihan Shen, Luyang Liu, Aixiao Xu, Jianhua Zhang, Xingya Zhang, Shaowei Bing, Jinhu Wang, Xuejing Shao, Ji Cao, Bo Yang, Qiaojun He, Meidan Ying
View: Text | PDF
Research Article Oncology

Disruption of the KLHL37–N-Myc complex restores N-Myc degradation and arrests neuroblastoma growth in mouse models

  • Text
  • PDF
Abstract

The N-Myc gene MYCN amplification accounts for the most common genetic aberration in neuroblastoma and strongly predicts the aggressive progression and poor clinical prognosis. However, clinically effective therapies that directly target N-Myc activity are limited. N-Myc is a transcription factor, and its stability is tightly controlled by ubiquitination-dependent proteasomal degradation. Here, we discovered that Kelch-like protein 37 (KLHL37) played a crucial role in enhancing the protein stability of N-Myc in neuroblastoma. KLHL37 directly interacted with N-Myc to disrupt N-Myc–FBXW7 interaction, thereby stabilizing N-Myc and enabling tumor progression. Suppressing KLHL37 effectively induced the degradation of N-Myc and had a profound inhibitory effect on the growth of MYCN-amplified neuroblastoma. Notably, we identified RTA-408 as an inhibitor of KLHL37 to disrupt the KLHL37–N-Myc complex, promoting the degradation of N-Myc and suppressing neuroblastoma in vivo and in vitro. Moreover, we elucidated the therapeutic potential of RTA-408 for neuroblastoma using patient-derived neuroblastoma cell and patient-derived xenograft tumor models. RTA408’s antitumor effects may not occur exclusively via KLHL37, and specific KLHL37 inhibitors are expected to be developed in the future. These findings not only uncover the biological function of KLHL37 in regulating N-Myc stability, but also indicate that KLHL37 inhibition is a promising therapeutic regimen for neuroblastoma, especially in patients with MYCN-amplified tumors.

Authors

Senfeng Xiang, Pengfei Chen, Xiaoxian Shi, Hanqi Cai, Zihan Shen, Luyang Liu, Aixiao Xu, Jianhua Zhang, Xingya Zhang, Shaowei Bing, Jinhu Wang, Xuejing Shao, Ji Cao, Bo Yang, Qiaojun He, Meidan Ying

×

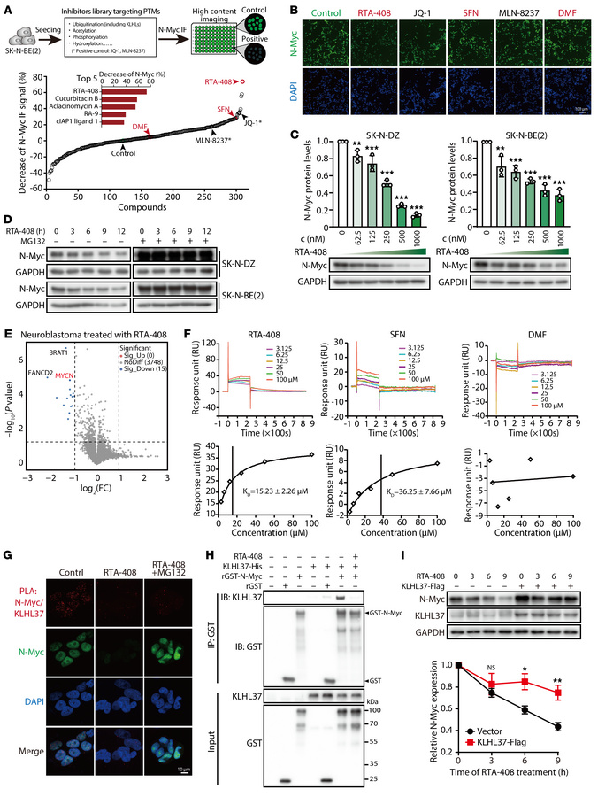
Figure 5

Discovery of RTA-408 as a KLHL37 inhibitor.

Options: View larger image (or click on image) Download as PowerPoint
Discovery of RTA-408 as a KLHL37 inhibitor.
(A) Schematic view of the hi...
(A) Schematic view of the high-content screening assay for compounds that downregulate N-Myc expression on the basis pf N-Myc immunofluorescence (IF). SK-N-BE(2) cells were treated with a compound library (1 μM) for 9 hours. The library was composed of 306 inhibitors of posttranslational modification enzymes. The compounds are ranked in descending order according to their effectiveness in decreasing N-Myc IF signals. (B) Representative IF images of N-Myc and DAPI staining in the groups treated with the indicated compounds. Scale bar: 100 μm. (C) Effect of RTA-408 treatment at the indicated concentrations (9 hours) on downregulating N-Myc protein expression. (D) Effect of the MG132 (10 μM, 3 hours) on the reduction of N-Myc protein expression induced by RTA-408 treatment. (E) Proteome-wide mass spectrometry was performed after neuroblastoma cells [SK-N-DZ, SK-N-BE(2) and CHP-126] were acutely treated with RTA-408 (1 μM, 3 hours). The protein changes identified in the proteomics analysis of the 3 cell lines are presented in the form of a volcano plot. A fold change of 2 or greater and a P value of less than 0.05 indicated significantly altered abundance. (F) Kinetics profile of binding of RTA-408, SFN, and DMF to KLHL37-His recombinant protein from the SPR analysis. The binding equilibrium dissociation constant (KD) of each compound were presented. (G) Representative images following the PLA to determine the in situ effect of RTA-408 on N-Myc–KLHL37 interaction in cells. SK-N-BE(2) cells were treated with RTA-408 (1 μM) as well as MG132 (4 μM) before the PLA. Scale bar: 10 μm. (H) The effect of RTA-408 on the direct interaction of KLHL37 and N-Myc proteins in a recombinant protein system. (I) The effect of KLHL37 overexpression on the degradation of N-Myc protein induced by RTA-408 treatment in SK-N-BE(2) cells. *P < 0.05, **P < 0.01, and ***P < 0.001, by 1-way ANOVA (C) and 2-way ANOVA (I) Data represent the mean ± SD in C, F, and I.

Copyright © 2025 American Society for Clinical Investigation
ISSN: 0021-9738 (print), 1558-8238 (online)

Sign up for email alerts