Go to JCI Insight
  • About
  • Editors
  • Consulting Editors
  • For authors
  • Publication ethics
  • Publication alerts by email
  • Advertising
  • Job board
  • Contact
  • Clinical Research and Public Health
  • Current issue
  • Past issues
  • By specialty
    • COVID-19
    • Cardiology
    • Gastroenterology
    • Immunology
    • Metabolism
    • Nephrology
    • Neuroscience
    • Oncology
    • Pulmonology
    • Vascular biology
    • All ...
  • Videos
    • Conversations with Giants in Medicine
    • Video Abstracts
  • Reviews
    • View all reviews ...
    • Clinical innovation and scientific progress in GLP-1 medicine (Nov 2025)
    • Pancreatic Cancer (Jul 2025)
    • Complement Biology and Therapeutics (May 2025)
    • Evolving insights into MASLD and MASH pathogenesis and treatment (Apr 2025)
    • Microbiome in Health and Disease (Feb 2025)
    • Substance Use Disorders (Oct 2024)
    • Clonal Hematopoiesis (Oct 2024)
    • View all review series ...
  • Viewpoint
  • Collections
    • In-Press Preview
    • Clinical Research and Public Health
    • Research Letters
    • Letters to the Editor
    • Editorials
    • Commentaries
    • Editor's notes
    • Reviews
    • Viewpoints
    • 100th anniversary
    • Top read articles

  • Current issue
  • Past issues
  • Specialties
  • Reviews
  • Review series
  • Conversations with Giants in Medicine
  • Video Abstracts
  • In-Press Preview
  • Clinical Research and Public Health
  • Research Letters
  • Letters to the Editor
  • Editorials
  • Commentaries
  • Editor's notes
  • Reviews
  • Viewpoints
  • 100th anniversary
  • Top read articles
  • About
  • Editors
  • Consulting Editors
  • For authors
  • Publication ethics
  • Publication alerts by email
  • Advertising
  • Job board
  • Contact
Egfl6 promotes ovarian cancer progression by enhancing the immunosuppressive functions of tumor-associated myeloid cells
Sarah Hamze Sinno, Joshua A. Imperatore, Shoumei Bai, Noémie Gomes-Jourdan, Nyasha Mafarachisi, Claudia Coronnello, Linan Zhang, Eldin Jašarević, Hatice U. Osmanbeyoglu, Ronald J. Buckanovich, Sandra Cascio
Sarah Hamze Sinno, Joshua A. Imperatore, Shoumei Bai, Noémie Gomes-Jourdan, Nyasha Mafarachisi, Claudia Coronnello, Linan Zhang, Eldin Jašarević, Hatice U. Osmanbeyoglu, Ronald J. Buckanovich, Sandra Cascio
View: Text | PDF
Research Article Immunology Oncology

Egfl6 promotes ovarian cancer progression by enhancing the immunosuppressive functions of tumor-associated myeloid cells

  • Text
  • PDF
Abstract

Tumor-associated macrophages (TAMs) and myeloid-derived suppressor cells (MDSCs) play a critical role in resistance to immunotherapy. In this study, we identified epidermal growth factor-like 6 (Egfl6) as a regulator of myeloid cell functions. Our analyses indicated that Egfl6, via binding with β3 integrins and activation of p38 and SYK signaling, acts as a chemotactic factor for myeloid cell migration and promotes their differentiation toward an immunosuppressive state. In syngeneic mouse models of ovarian cancer (OvCa), tumor expression of Egfl6 increased the intratumoral accumulation of polymorphonuclear (PMN) MDSCs and TAMs and their expression of immunosuppressive factors, including CXCL2, IL-10, and PD-L1. Consistent with this, in an immune ‘hot’ tumor model, Egfl6 expression eliminated response to anti-PD-L1 therapy, while Egfl6 neutralizing antibody decreased the accumulation of tumor-infiltrating CD206+ TAMs and PMN-MDSCs and restored the efficacy of anti-PD-L1 therapy. Supporting a role in human tumors, in human OvCa tissue samples, areas of high EGFL6 expression colocalized with myeloid cell infiltration. scRNA-Seq analyses revealed a correlation between EGFL6 and immune cell expression of immunosuppressive factors. Our data provide mechanistic insights into the oncoimmunologic functions of EGFL6 in mediating tumor immune suppression and identified EGFL6 as a potential therapeutic target to enhance immunotherapy in patients with OvCa.

Authors

Sarah Hamze Sinno, Joshua A. Imperatore, Shoumei Bai, Noémie Gomes-Jourdan, Nyasha Mafarachisi, Claudia Coronnello, Linan Zhang, Eldin Jašarević, Hatice U. Osmanbeyoglu, Ronald J. Buckanovich, Sandra Cascio

×

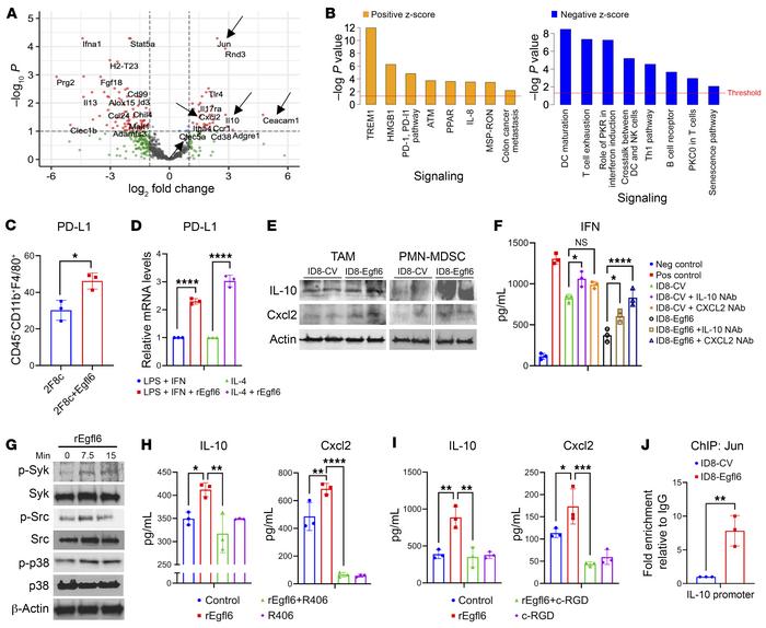
Figure 3

IL-10 and Cxcl2 mediate Egfl6 antitumor immunosuppression.

Options: View larger image (or click on image) Download as PowerPoint
IL-10 and Cxcl2 mediate Egfl6 antitumor immunosuppression.
(A) Volcano p...
(A) Volcano plot showing differentially expressed genes (DEGs) between CD11b+ cells infiltrating 2F8c-Egfl6 versus 2F8c tumors. Negative Log10 P values determined via t test are plotted on the y axis. (B) IPA protein analysis of Egfl6 treatment associated DEG pathways identified as significantly (P < 0.05) upregulated (left panel) or downregulated (right panel). (C and D) Summary of PD-L1 expression determined by flow cytometry in infiltrating TAMs (C) and by qPCR in BM-derived macrophages polarized with different stimuli as indicated D. (E) Western blotting analysis of IL-10 and Cxcl2 in TAMs and PMN-MDSCs isolated from ID8+/–Egfl6 ascites. Actin was used as loading control. (F) ELISA of IFN-γ in CD8+ T cells cultured with the Ly6G+ cells isolated from ID8+/–Egfl6 ascites in the absence/presence of IL-10 or Cxcl2 NAbs. (G) Western blotting showing the indicated protein expression in BM-isolated CD11b+ cells treated with GM-CSF and rEgfl6 for 0, 7.5, and 15 minutes. β-Actin was used as loading control. Results are representative of at least 3 independent experiments. (H and I) ELISA showing IL-10 and Cxcl2 protein secretion in GM-CSF-treated BM CD11b+ cells +/– rEgfl6 and/or Syk inhibitor (R406) (H), and GM-CSF-treated BM CD11b+ cells +/– rEgfl6 and/or the integrin inhibitor Cyclo-RGD (c-RGD) (I). (J) Graph represents a ChIP assay performed with anti-Jun Ab followed by qPCR to measure IL-10 promoter in ID8+/–Egfl6 ascites. Data are presented as mean ± SEM. P values were calculated using unpaired 2-tailed t test or 1-way ANOVA with Tukey’s post test for multiple comparisons. *P < 0.05, **P < 0.01, ***P < 0.001, and ****P < 0.0001. All results are representative of 3 independent experiments.

Copyright © 2026 American Society for Clinical Investigation
ISSN: 0021-9738 (print), 1558-8238 (online)

Sign up for email alerts