Go to JCI Insight
  • About
  • Editors
  • Consulting Editors
  • For authors
  • Publication ethics
  • Publication alerts by email
  • Advertising
  • Job board
  • Contact
  • Clinical Research and Public Health
  • Current issue
  • Past issues
  • By specialty
    • COVID-19
    • Cardiology
    • Gastroenterology
    • Immunology
    • Metabolism
    • Nephrology
    • Neuroscience
    • Oncology
    • Pulmonology
    • Vascular biology
    • All ...
  • Videos
    • Conversations with Giants in Medicine
    • Video Abstracts
  • Reviews
    • View all reviews ...
    • Pancreatic Cancer (Jul 2025)
    • Complement Biology and Therapeutics (May 2025)
    • Evolving insights into MASLD and MASH pathogenesis and treatment (Apr 2025)
    • Microbiome in Health and Disease (Feb 2025)
    • Substance Use Disorders (Oct 2024)
    • Clonal Hematopoiesis (Oct 2024)
    • Sex Differences in Medicine (Sep 2024)
    • View all review series ...
  • Viewpoint
  • Collections
    • In-Press Preview
    • Clinical Research and Public Health
    • Research Letters
    • Letters to the Editor
    • Editorials
    • Commentaries
    • Editor's notes
    • Reviews
    • Viewpoints
    • 100th anniversary
    • Top read articles

  • Current issue
  • Past issues
  • Specialties
  • Reviews
  • Review series
  • Conversations with Giants in Medicine
  • Video Abstracts
  • In-Press Preview
  • Clinical Research and Public Health
  • Research Letters
  • Letters to the Editor
  • Editorials
  • Commentaries
  • Editor's notes
  • Reviews
  • Viewpoints
  • 100th anniversary
  • Top read articles
  • About
  • Editors
  • Consulting Editors
  • For authors
  • Publication ethics
  • Publication alerts by email
  • Advertising
  • Job board
  • Contact
Targeted degradation of oncogenic KRASG12V triggers antitumor immunity in lung cancer models
Dezhi Li, … , Kwok-Kin Wong, Hua Zhang
Dezhi Li, … , Kwok-Kin Wong, Hua Zhang
Published December 24, 2024
Citation Information: J Clin Invest. 2025;135(2):e174249. https://doi.org/10.1172/JCI174249.
View: Text | PDF
Research Article Immunology Oncology

Targeted degradation of oncogenic KRASG12V triggers antitumor immunity in lung cancer models

  • Text
  • PDF
Abstract

Kirsten rat sarcoma viral oncogene homolog (KRAS) is the most frequently mutated oncogene in lung adenocarcinoma, with G12C and G12V being the most predominant forms. Recent breakthroughs in KRASG12C inhibitors have transformed the clinical management of patients with the G12C mutation and advanced our understanding of the function of this mutation. However, little is known about the targeted disruption of KRASG12V, partly due to a lack of specific inhibitors. Here, we leverage the degradation tag (dTAG) system to develop a KRASG12V-transgenic mouse model. We explored the therapeutic potential of KRASG12V degradation and characterized its effect on the tumor microenvironment (TME). Our study reveals that degradation of KRASG12V abolished lung and pancreatic tumors in mice and caused a robust inhibition of KRAS-regulated cancer-intrinsic signaling. Importantly, targeted degradation of KRASG12V reprogrammed the TME toward a stimulatory milieu and drove antitumor immunity, elicited mainly by effector and cytotoxic CD8+ T cells. Our work provides insights into the effect of KRASG12V degradation on both tumor progression and the immune response, highlighting degraders as a powerful strategy for targeting KRAS-mutant cancers.

Authors

Dezhi Li, Ke Geng, Yuan Hao, Jiajia Gu, Saurav Kumar, Annabel T. Olson, Christina C. Kuismi, Hye Mi Kim, Yuanwang Pan, Fiona Sherman, Asia M. Williams, Yiting Li, Fei Li, Ting Chen, Cassandra Thakurdin, Michela Ranieri, Mary Meynardie, Daniel S. Levin, Janaye Stephens, Alison Chafitz, Joy Chen, Mia S. Donald-Paladino, Jaylen M. Powell, Ze-Yan Zhang, Wei Chen, Magdalena Ploszaj, Han Han, Shengqing Stan Gu, Tinghu Zhang, Baoli Hu, Benjamin A. Nacev, Medard Ernest Kaiza, Alice H. Berger, Xuerui Wang, Jing Li, Xuejiao Sun, Yang Liu, Xiaoyang Zhang, Tullia C. Bruno, Nathanael S. Gray, Behnam Nabet, Kwok-Kin Wong, Hua Zhang

×

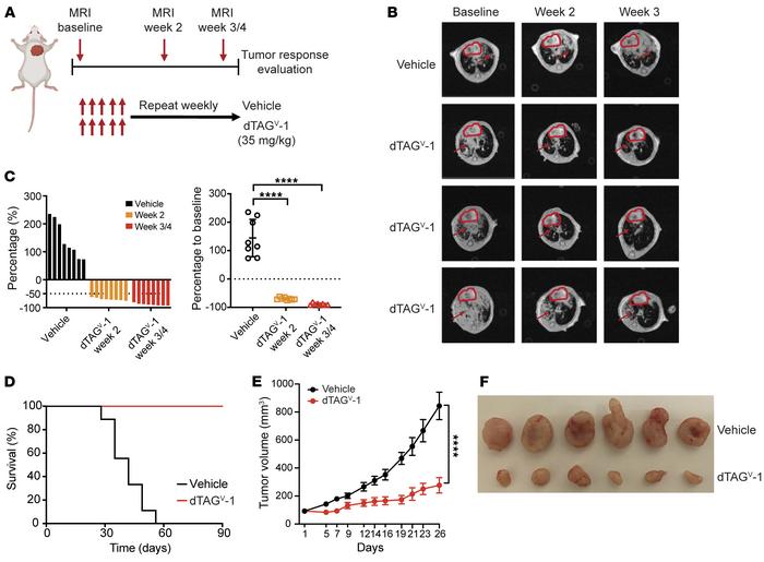
Figure 4

KRASG12V degradation abolishes tumor growth h in KRASG12V-driven murine lung and pancreatic cancer models.

Options: View larger image (or click on image) Download as PowerPoint
KRASG12V degradation abolishes tumor growth h in KRASG12V-driven murine ...
(A) Schematic showing the in vivo dosing schedule for evaluation of long-term dTAGV-1 treatment. The schematic was created using BioRender.com. (B) Representative MRI scans (n = 1 vehicle-treated mouse and 3 dTAGV-1–treated mice) of tumor at baseline and 2 weeks and 3 weeks after treatment initiation. Red arrowheads indicate lung tumors; red circles indicate the heart. (C) Waterfall plot (left) and dot plot (right) showing changes in tumor volume compared with baseline after 2 or 3–4 weeks of treatment. Data are presented as the mean ± SD of 8 per group. (D) Kaplan-Meier survival curve of FKBP12F36V-KRASG12V lung cancer mice after long-term treatment with vehicle or dTAGV-1 (n = 9 per group). (E) Volume changes of tumors from PATU-8902 FKBP12F36V-KRASG12V; KRAS–/– cells that were s.c. injected into mice and treated with vehicle or dTAGV-1. Data are presented as the mean ± SEM of 12 per group. (F) Representative pancreatic tumors after the indicated treatment. ****P < 0.0001, by 1-way ANOVA with post hoc Dunnett’s test (C) or 2-tailed Student’s t test (E).

Copyright © 2025 American Society for Clinical Investigation
ISSN: 0021-9738 (print), 1558-8238 (online)

Sign up for email alerts