Go to JCI Insight
  • About
  • Editors
  • Consulting Editors
  • For authors
  • Publication ethics
  • Publication alerts by email
  • Advertising
  • Job board
  • Contact
  • Clinical Research and Public Health
  • Current issue
  • Past issues
  • By specialty
    • COVID-19
    • Cardiology
    • Gastroenterology
    • Immunology
    • Metabolism
    • Nephrology
    • Neuroscience
    • Oncology
    • Pulmonology
    • Vascular biology
    • All ...
  • Videos
    • ASCI Milestone Awards
    • Video Abstracts
    • Conversations with Giants in Medicine
  • Reviews
    • View all reviews ...
    • Clinical innovation and scientific progress in GLP-1 medicine (Nov 2025)
    • Pancreatic Cancer (Jul 2025)
    • Complement Biology and Therapeutics (May 2025)
    • Evolving insights into MASLD and MASH pathogenesis and treatment (Apr 2025)
    • Microbiome in Health and Disease (Feb 2025)
    • Substance Use Disorders (Oct 2024)
    • Clonal Hematopoiesis (Oct 2024)
    • View all review series ...
  • Viewpoint
  • Collections
    • In-Press Preview
    • Clinical Research and Public Health
    • Research Letters
    • Letters to the Editor
    • Editorials
    • Commentaries
    • Editor's notes
    • Reviews
    • Viewpoints
    • 100th anniversary
    • Top read articles

  • Current issue
  • Past issues
  • Specialties
  • Reviews
  • Review series
  • ASCI Milestone Awards
  • Video Abstracts
  • Conversations with Giants in Medicine
  • In-Press Preview
  • Clinical Research and Public Health
  • Research Letters
  • Letters to the Editor
  • Editorials
  • Commentaries
  • Editor's notes
  • Reviews
  • Viewpoints
  • 100th anniversary
  • Top read articles
  • About
  • Editors
  • Consulting Editors
  • For authors
  • Publication ethics
  • Publication alerts by email
  • Advertising
  • Job board
  • Contact
CAP2 promotes gastric cancer metastasis by mediating the interaction between tumor cells and tumor-associated macrophages
Guohao Zhang, Zhaoxin Gao, Xiangyu Guo, Ranran Ma, Xiaojie Wang, Pan Zhou, Chunlan Li, Zhiyuan Tang, Ruinan Zhao, Peng Gao
Guohao Zhang, Zhaoxin Gao, Xiangyu Guo, Ranran Ma, Xiaojie Wang, Pan Zhou, Chunlan Li, Zhiyuan Tang, Ruinan Zhao, Peng Gao
View: Text | PDF
Research Article Gastroenterology Oncology

CAP2 promotes gastric cancer metastasis by mediating the interaction between tumor cells and tumor-associated macrophages

  • Text
  • PDF
Abstract

The metastasis of cancer cells is the main cause of death in patients with gastric cancer (GC). Mounting evidence has demonstrated the vital importance of tumor-associated macrophages in promoting tumor invasion and metastasis; however, the interaction between tumor cells and macrophages in GC is largely unknown. In this study, we demonstrated that cyclase-associated protein 2 (CAP2) was upregulated in GC, especially in cases with lymph node metastasis, and was correlated with a poorer prognosis. The transcription factor JUN directly bound to the promoter region of CAP2 and activated CAP2 transcription. The N-terminal domain of CAP2 bound to the WD5 to WD7 domains of receptor for activated C kinase 1 (RACK1) and induced M2 macrophage polarization by activating the SRC/focal adhesion kinase (FAK)/ERK signaling pathway, which resulted in IL-4 and IL-10 secretion. Polarized M2 macrophages induced premetastatic niche formation and promoted GC metastasis by secreting TGFB1, which created a TGFB1/JUN/CAP2 positive-feedback loop to activate CAP2 expression continuously. Furthermore, we identified salvianolic acid B as an inhibitor of CAP2, which effectively inhibited GC cell invasion capabilities by suppressing the SRC/FAK/ERK signaling pathway. Our data suggest that CAP2, a key molecule mediating the interaction between GC cells and tumor-associated macrophages, may be a promising therapeutic target for suppressing tumor metastasis in GC.

Authors

Guohao Zhang, Zhaoxin Gao, Xiangyu Guo, Ranran Ma, Xiaojie Wang, Pan Zhou, Chunlan Li, Zhiyuan Tang, Ruinan Zhao, Peng Gao

×

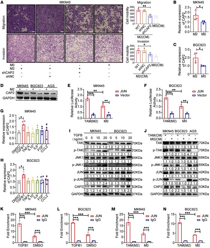
Figure 7

TAMs promote CAP2 expression through TGFB1-mediated activation of JUN.

Options: View larger image (or click on image) Download as PowerPoint
TAMs promote CAP2 expression through TGFB1-mediated activation of JUN.
(...
(A) The migration and invasion abilities of GC cells were determined by Transwell assay after the GC cells were induced by TAM-conditioned medium (n = 4). Scale bars: 50 μm. (B and C) Expression of CAP2 in GC cells induced by TAM-conditioned medium was detected by RT-PCR (n = 4). (D) Expression of CAP2 in GC cells induced by TAM-conditioned medium was detected by Western blotting. (E and F) Luciferase activity was detected after the GC cells were induced by TAM-conditioned medium (n = 3). (G and H) Expression of CAP2 was detected by RT-PCR after the GC cells were treated with cytokines (n = 4). (I) Expression of TAK/JNK/JUN signaling pathway proteins was detected by Western blotting after the GC cells were treated with TGFB1. (J) Expression of TAK/JNK/JUN signaling pathway proteins was detected by Western blotting after the GC cells were induced by TAM-conditioned medium. (K and L) The binding ability of JUN to the CAP2 promoter region was detected by ChIP after the GC cells were treated with TGFB1 (n = 4). (M and N) The binding ability of JUN to the CAP2 promoter region was detected by ChIP after the GC cells were induced by TAM-conditioned medium (n = 4). Data are presented as the mean ± SD. One-way ANOVA with Tukey’s multiple-comparison test (A, G, and H), 2-tailed unpaired Student’s t test (B and C), 2-way ANOVA test (E, F, and K–N). *P < 0.05, **P < 0.01, ***P < 0.001.

Copyright © 2026 American Society for Clinical Investigation
ISSN: 0021-9738 (print), 1558-8238 (online)

Sign up for email alerts