Go to JCI Insight
  • About
  • Editors
  • Consulting Editors
  • For authors
  • Publication ethics
  • Publication alerts by email
  • Advertising
  • Job board
  • Contact
  • Clinical Research and Public Health
  • Current issue
  • Past issues
  • By specialty
    • COVID-19
    • Cardiology
    • Gastroenterology
    • Immunology
    • Metabolism
    • Nephrology
    • Neuroscience
    • Oncology
    • Pulmonology
    • Vascular biology
    • All ...
  • Videos
    • ASCI Milestone Awards
    • Video Abstracts
    • Conversations with Giants in Medicine
  • Reviews
    • View all reviews ...
    • Clinical innovation and scientific progress in GLP-1 medicine (Nov 2025)
    • Pancreatic Cancer (Jul 2025)
    • Complement Biology and Therapeutics (May 2025)
    • Evolving insights into MASLD and MASH pathogenesis and treatment (Apr 2025)
    • Microbiome in Health and Disease (Feb 2025)
    • Substance Use Disorders (Oct 2024)
    • Clonal Hematopoiesis (Oct 2024)
    • View all review series ...
  • Viewpoint
  • Collections
    • In-Press Preview
    • Clinical Research and Public Health
    • Research Letters
    • Letters to the Editor
    • Editorials
    • Commentaries
    • Editor's notes
    • Reviews
    • Viewpoints
    • 100th anniversary
    • Top read articles

  • Current issue
  • Past issues
  • Specialties
  • Reviews
  • Review series
  • ASCI Milestone Awards
  • Video Abstracts
  • Conversations with Giants in Medicine
  • In-Press Preview
  • Clinical Research and Public Health
  • Research Letters
  • Letters to the Editor
  • Editorials
  • Commentaries
  • Editor's notes
  • Reviews
  • Viewpoints
  • 100th anniversary
  • Top read articles
  • About
  • Editors
  • Consulting Editors
  • For authors
  • Publication ethics
  • Publication alerts by email
  • Advertising
  • Job board
  • Contact
Disassembly of the TRIM56-ATR complex promotes cytoDNA/cGAS/STING axis–dependent intervertebral disc inflammatory degeneration
Weifeng Zhang, Gaocai Li, Xingyu Zhou, Huaizhen Liang, Bide Tong, Di Wu, Kevin Yang, Yu Song, Bingjin Wang, Zhiwei Liao, Liang Ma, Wencan Ke, Xiaoguang Zhang, Jie Lei, Chunchi Lei, Xiaobo Feng, Kun Wang, Kangcheng Zhao, Cao Yang
Weifeng Zhang, Gaocai Li, Xingyu Zhou, Huaizhen Liang, Bide Tong, Di Wu, Kevin Yang, Yu Song, Bingjin Wang, Zhiwei Liao, Liang Ma, Wencan Ke, Xiaoguang Zhang, Jie Lei, Chunchi Lei, Xiaobo Feng, Kun Wang, Kangcheng Zhao, Cao Yang
View: Text | PDF
Research Article Bone biology

Disassembly of the TRIM56-ATR complex promotes cytoDNA/cGAS/STING axis–dependent intervertebral disc inflammatory degeneration

  • Text
  • PDF
Abstract

As the leading cause of disability worldwide, low back pain (LBP) is recognized as a pivotal socioeconomic challenge to the aging population and is largely attributed to intervertebral disc degeneration (IVDD). Elastic nucleus pulposus (NP) tissue is essential for the maintenance of IVD structural and functional integrity. The accumulation of senescent NP cells with an inflammatory hypersecretory phenotype due to aging and other damaging factors is a distinctive hallmark of IVDD initiation and progression. In this study, we reveal a mechanism of IVDD progression in which aberrant genomic DNA damage promoted NP cell inflammatory senescence via activation of the cyclic GMP-AMP synthase/stimulator of IFN genes (cGAS/STING) axis but not of absent in melanoma 2 (AIM2) inflammasome assembly. Ataxia-telangiectasia–mutated and Rad3-related protein (ATR) deficiency destroyed genomic integrity and led to cytosolic mislocalization of genomic DNA, which acted as a powerful driver of cGAS/STING axis–dependent inflammatory phenotype acquisition during NP cell senescence. Mechanistically, disassembly of the ATR–tripartite motif–containing 56 (ATR-TRIM56) complex with the enzymatic liberation of ubiquitin-specific peptidase 5 (USP5) and TRIM25 drove changes in ATR ubiquitination, with ATR switching from K63- to K48-linked modification, c thereby promoting ubiquitin-proteasome–dependent dynamic instability of ATR protein during NP cell senescence progression. Importantly, an engineered extracellular vesicle–based strategy for delivering ATR-overexpressing plasmid cargo efficiently diminished DNA damage–associated NP cell senescence and substantially mitigated IVDD progression, indicating promising targets and effective approaches to ameliorate the chronic pain and disabling effects of IVDD.

Authors

Weifeng Zhang, Gaocai Li, Xingyu Zhou, Huaizhen Liang, Bide Tong, Di Wu, Kevin Yang, Yu Song, Bingjin Wang, Zhiwei Liao, Liang Ma, Wencan Ke, Xiaoguang Zhang, Jie Lei, Chunchi Lei, Xiaobo Feng, Kun Wang, Kangcheng Zhao, Cao Yang

×

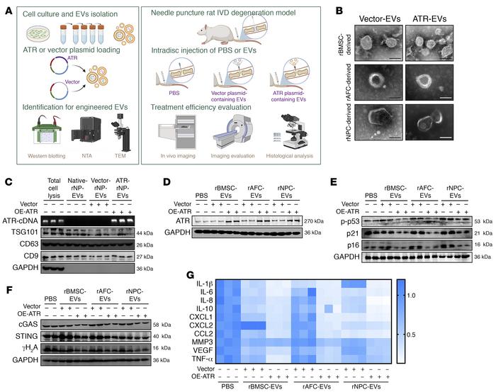
Figure 14

EV-based ATR-overexpressing plasmid cargo alleviates NP cell inflammatory senescence.

Options: View larger image (or click on image) Download as PowerPoint
EV-based ATR-overexpressing plasmid cargo alleviates NP cell inflammator...
(A) Schematic illustration showing the experimental design. (B) Representative TEM images of EVs loaded with ATR-overexpressing (ATR-EVs) or vector plasmid (vector-EVs). Scale bars: 100 nm. (C) Western blots of EV markers and cDNA electrophoresis to determine the efficiency of an ATR-overexpressing plasmid loaded into rNPC-derived EVs (n = 3 biological replicates). (D) Representative Western blots of ATR levels in P8 rat NP cells after culturing with ATR-EVs or vector-EVs for 72 hours (n = 2 biological replicates). (E) Representative Western blots of p-p53 (Ser15) and p21 levels in P8 rat NP cells with the indicated treatments (n = 2 biological replicates). (F) Representative Western blots of cGAS, STING, and γH2A levels in P8 rat NP cells with the indicated treatments (n = 2 biological replicates). (G) Differential heatmap of SASP in P8 rat NP cells with the indicated treatments (n = 3 biological replicates).

Copyright © 2026 American Society for Clinical Investigation
ISSN: 0021-9738 (print), 1558-8238 (online)

Sign up for email alerts