Go to JCI Insight
  • About
  • Editors
  • Consulting Editors
  • For authors
  • Publication ethics
  • Publication alerts by email
  • Advertising
  • Job board
  • Contact
  • Clinical Research and Public Health
  • Current issue
  • Past issues
  • By specialty
    • COVID-19
    • Cardiology
    • Gastroenterology
    • Immunology
    • Metabolism
    • Nephrology
    • Neuroscience
    • Oncology
    • Pulmonology
    • Vascular biology
    • All ...
  • Videos
    • Conversations with Giants in Medicine
    • Video Abstracts
  • Reviews
    • View all reviews ...
    • Clinical innovation and scientific progress in GLP-1 medicine (Nov 2025)
    • Pancreatic Cancer (Jul 2025)
    • Complement Biology and Therapeutics (May 2025)
    • Evolving insights into MASLD and MASH pathogenesis and treatment (Apr 2025)
    • Microbiome in Health and Disease (Feb 2025)
    • Substance Use Disorders (Oct 2024)
    • Clonal Hematopoiesis (Oct 2024)
    • View all review series ...
  • Viewpoint
  • Collections
    • In-Press Preview
    • Clinical Research and Public Health
    • Research Letters
    • Letters to the Editor
    • Editorials
    • Commentaries
    • Editor's notes
    • Reviews
    • Viewpoints
    • 100th anniversary
    • Top read articles

  • Current issue
  • Past issues
  • Specialties
  • Reviews
  • Review series
  • Conversations with Giants in Medicine
  • Video Abstracts
  • In-Press Preview
  • Clinical Research and Public Health
  • Research Letters
  • Letters to the Editor
  • Editorials
  • Commentaries
  • Editor's notes
  • Reviews
  • Viewpoints
  • 100th anniversary
  • Top read articles
  • About
  • Editors
  • Consulting Editors
  • For authors
  • Publication ethics
  • Publication alerts by email
  • Advertising
  • Job board
  • Contact
A cyclic pyrrole-imidazole polyamide reduces pathogenic RNA in CAG/CTG triplet repeat neurological disease models
Susumu Ikenoshita, … , Hiroshi Sugiyama, Norifumi Shioda
Susumu Ikenoshita, … , Hiroshi Sugiyama, Norifumi Shioda
Published September 14, 2023
Citation Information: J Clin Invest. 2023;133(22):e164792. https://doi.org/10.1172/JCI164792.
View: Text | PDF
Research Article Neuroscience

A cyclic pyrrole-imidazole polyamide reduces pathogenic RNA in CAG/CTG triplet repeat neurological disease models

  • Text
  • PDF
Abstract

Expansion of CAG and CTG (CWG) triplet repeats causes several inherited neurological diseases. The CWG repeat diseases are thought to involve complex pathogenic mechanisms through expanded CWG repeat–derived RNAs in a noncoding region and polypeptides in a coding region, respectively. However, an effective therapeutic approach has not been established for the CWG repeat diseases. Here, we show that a CWG repeat DNA–targeting compound, cyclic pyrrole–imidazole polyamide (CWG-cPIP), suppressed the pathogenesis of coding and noncoding CWG repeat diseases. CWG-cPIP bound to the hairpin form of mismatched CWG DNA, interfering with transcription elongation by RNA polymerase through a preferential activity toward repeat-expanded DNA. We found that CWG-cPIP selectively inhibited pathogenic mRNA transcripts from expanded CWG repeats, reducing CUG RNA foci and polyglutamine accumulation in cells from patients with myotonic dystrophy type 1 (DM1) and Huntington’s disease (HD). Treatment with CWG-cPIP ameliorated behavioral deficits in adeno-associated virus–mediated CWG repeat–expressing mice and in a genetic mouse model of HD, without cytotoxicity or off-target effects. Together, we present a candidate compound that targets expanded CWG repeat DNA independently of its genomic location and reduces both pathogenic RNA and protein levels. CWG-cPIP may be used for the treatment of CWG repeat diseases and improvement of clinical outcomes.

Authors

Susumu Ikenoshita, Kazuya Matsuo, Yasushi Yabuki, Kosuke Kawakubo, Sefan Asamitsu, Karin Hori, Shingo Usuki, Yuki Hirose, Toshikazu Bando, Kimi Araki, Mitsuharu Ueda, Hiroshi Sugiyama, Norifumi Shioda

×

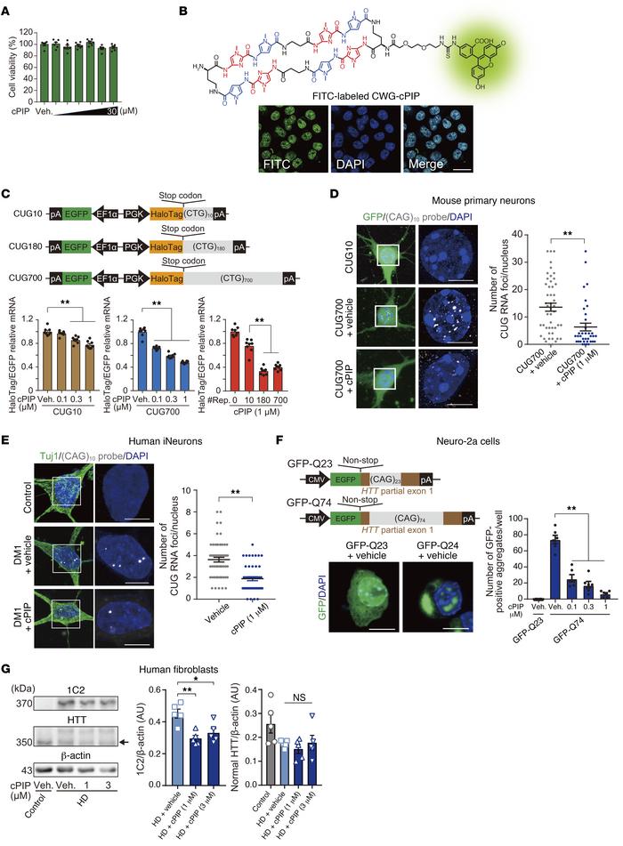
Figure 2

Attenuation of pathogenic CUG RNA foci and polyQ aggregates in DM1 and HD cell models by CWG-cPIP treatment.

Options: View larger image (or click on image) Download as PowerPoint
Attenuation of pathogenic CUG RNA foci and polyQ aggregates in DM1 and H...
(A) Cell viability assay in Neuro-2a cells treated with CWG-cPIP at concentrations of 0.1, 0.3, 1, 3, 10, and 30 μM. Statistics were performed by 1-way ANOVA with Bonferroni’s multiple-comparison test. n = 6 each. (B) Chemical structure of FITC-labeled CWG-cPIP and representative confocal images of FITC-labeled CWG-cPIP. Nuclei were counterstained with DAPI (blue). Scale bar: 20 μm. (C) Schematic representation of constructs used for RT-qPCR in cellulo and quantification of HaloTag mRNA levels. **P < 0.01, by 1-way ANOVA with Bonferroni’s multiple-comparison test. n = 8 each. #Rep., CUG repeat lengths. (D) Representative confocal images of CUG-RNA foci (white) in mouse primary neurons (scale bars: 5 μm) and quantification of CUG-RNA foci (right). **P < 0.01, by 2-sided, unpaired Student’s t test. CUG700 plus vehicle: n = 49 cells; CUG700 plus CWG-cPIP: n = 36 cells. (E) Representative confocal images of CUG-RNA foci (white) in DM1 patient–derived iNeurons (scale bars: 5 μm) and quantification of CUG-RNA foci. **P < 0.01, by 2-sided, unpaired Student’s t test. Vehicle: n = 61 cells; CWG-cPIP: n = 49 cells. (F) Schematic representation of constructs containing Egfp tagged with CAG repeat sequences in a coding region and representative confocal images of GFP-positive aggregates in Neuro-2a cells. Scale bars: 10 μm. Graph shows quantification of GFP-positive aggregates. **P < 0.01, by 1-way ANOVA with Bonferroni’s multiple-comparison test. n = 6 wells each. (G) Representative blots of lysates from HD patient–derived fibroblasts probed with 1C2 and HTT antibodies. Arrow indicates HTT products corresponding to the normal allele. Graphs show quantification of 1C2 and HTT. *P < 0.05 and **P < 0.01, by 1-way ANOVA with Bonferroni’s multiple-comparison test. n = 5 experiments each. Data represent the mean ± SEM. Statistical data are provided in Supplemental Data File 6. Veh., vehicle treatment.

Copyright © 2025 American Society for Clinical Investigation
ISSN: 0021-9738 (print), 1558-8238 (online)

Sign up for email alerts