Go to JCI Insight
  • About
  • Editors
  • Consulting Editors
  • For authors
  • Publication ethics
  • Publication alerts by email
  • Advertising
  • Job board
  • Contact
  • Clinical Research and Public Health
  • Current issue
  • Past issues
  • By specialty
    • COVID-19
    • Cardiology
    • Gastroenterology
    • Immunology
    • Metabolism
    • Nephrology
    • Neuroscience
    • Oncology
    • Pulmonology
    • Vascular biology
    • All ...
  • Videos
    • ASCI Milestone Awards
    • Video Abstracts
    • Conversations with Giants in Medicine
  • Reviews
    • View all reviews ...
    • Clinical innovation and scientific progress in GLP-1 medicine (Nov 2025)
    • Pancreatic Cancer (Jul 2025)
    • Complement Biology and Therapeutics (May 2025)
    • Evolving insights into MASLD and MASH pathogenesis and treatment (Apr 2025)
    • Microbiome in Health and Disease (Feb 2025)
    • Substance Use Disorders (Oct 2024)
    • Clonal Hematopoiesis (Oct 2024)
    • View all review series ...
  • Viewpoint
  • Collections
    • In-Press Preview
    • Clinical Research and Public Health
    • Research Letters
    • Letters to the Editor
    • Editorials
    • Commentaries
    • Editor's notes
    • Reviews
    • Viewpoints
    • 100th anniversary
    • Top read articles

  • Current issue
  • Past issues
  • Specialties
  • Reviews
  • Review series
  • ASCI Milestone Awards
  • Video Abstracts
  • Conversations with Giants in Medicine
  • In-Press Preview
  • Clinical Research and Public Health
  • Research Letters
  • Letters to the Editor
  • Editorials
  • Commentaries
  • Editor's notes
  • Reviews
  • Viewpoints
  • 100th anniversary
  • Top read articles
  • About
  • Editors
  • Consulting Editors
  • For authors
  • Publication ethics
  • Publication alerts by email
  • Advertising
  • Job board
  • Contact
Heterozygous deficiency of hypoxia-inducible factor–2α protects mice against pulmonary hypertension and right ventricular dysfunction during prolonged hypoxia
Koen Brusselmans, Veerle Compernolle, Marc Tjwa, Michael S. Wiesener, Patrick H. Maxwell, Désiré Collen, Peter Carmeliet
Koen Brusselmans, Veerle Compernolle, Marc Tjwa, Michael S. Wiesener, Patrick H. Maxwell, Désiré Collen, Peter Carmeliet
View: Text | PDF
Article Vascular biology

Heterozygous deficiency of hypoxia-inducible factor–2α protects mice against pulmonary hypertension and right ventricular dysfunction during prolonged hypoxia

  • Text
  • PDF
Abstract

Chronic hypoxia induces pulmonary vascular remodeling, leading to pulmonary hypertension, right ventricular hypertrophy, and heart failure. Heterozygous deficiency of hypoxia-inducible factor–1α (HIF-1α), which mediates the cellular response to hypoxia by increasing expression of genes involved in erythropoiesis and angiogenesis, has been previously shown to delay hypoxia-induced pulmonary hypertension. HIF-2α is a homologue of HIF-1α and is abundantly expressed in the lung, but its role in pulmonary hypertension remains unknown. Therefore, we analyzed the pulmonary response of WT and viable heterozygous HIF-2α–deficient (Hif2α+/–) mice after exposure to 10% O2 for 4 weeks. In contrast to WT mice, Hif2α+/– mice were fully protected against pulmonary hypertension and right ventricular hypertrophy, unveiling a critical role of HIF-2α in hypoxia-induced pulmonary vascular remodeling. Pulmonary expression levels of endothelin-1 and plasma catecholamine levels were increased threefold and 12-fold respectively in WT but not in Hif2α+/– mice after hypoxia, suggesting that HIF-2α–mediated upregulation of these vasoconstrictors contributes to the development of hypoxic pulmonary vascular remodeling.

Authors

Koen Brusselmans, Veerle Compernolle, Marc Tjwa, Michael S. Wiesener, Patrick H. Maxwell, Désiré Collen, Peter Carmeliet

×

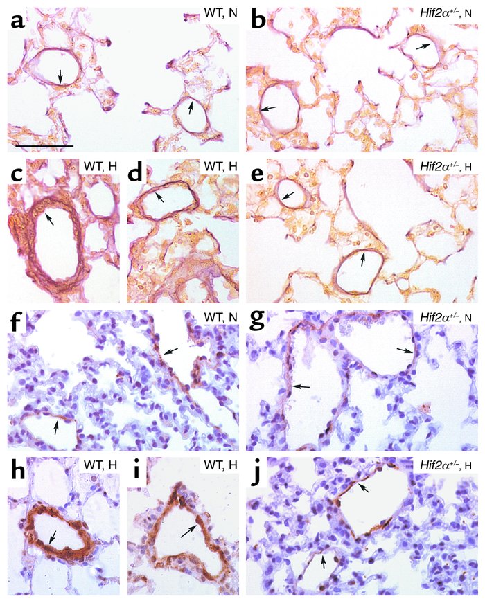
Figure 2

Options: View larger image (or click on image) Download as PowerPoint
(a–e) Hart’s elastin staining revealed the presence of vessels, located ...
(a–e) Hart’s elastin staining revealed the presence of vessels, located distally to the bronchi, at the level of alveoli and alveolar ducts, that contained only an IEL (or an IEL plus an incomplete EEL) (arrows) in lungs of normoxic (N) WT (a) and Hif2α+/– mice (b). Lungs of hypoxic (H) WT mice showed the presence of thick-walled vessels containing both an IEL and a complete EEL (arrows) (c and d), whereas no hypoxia-induced vascular remodeling occurred in Hif2α+/– mice (arrows) (e). (f–j) SMC α-actin staining shows the presence of partially muscularized peripheral vessels (arrows) in lungs of normoxic WT (f) and Hif2α+/– mice (g). Chronic hypoxia caused pulmonary vascular remodeling in WT mice, as revealed by the presence of fully muscularized vessels (arrows) (h and i), but not in Hif2α+/– mice (arrows) (j). Bar = 50 μm in all panels.

Copyright © 2026 American Society for Clinical Investigation
ISSN: 0021-9738 (print), 1558-8238 (online)

Sign up for email alerts