Go to JCI Insight
  • About
  • Editors
  • Consulting Editors
  • For authors
  • Publication ethics
  • Publication alerts by email
  • Advertising
  • Job board
  • Contact
  • Clinical Research and Public Health
  • Current issue
  • Past issues
  • By specialty
    • COVID-19
    • Cardiology
    • Gastroenterology
    • Immunology
    • Metabolism
    • Nephrology
    • Neuroscience
    • Oncology
    • Pulmonology
    • Vascular biology
    • All ...
  • Videos
    • ASCI Milestone Awards
    • Video Abstracts
    • Conversations with Giants in Medicine
  • Reviews
    • View all reviews ...
    • Clinical innovation and scientific progress in GLP-1 medicine (Nov 2025)
    • Pancreatic Cancer (Jul 2025)
    • Complement Biology and Therapeutics (May 2025)
    • Evolving insights into MASLD and MASH pathogenesis and treatment (Apr 2025)
    • Microbiome in Health and Disease (Feb 2025)
    • Substance Use Disorders (Oct 2024)
    • Clonal Hematopoiesis (Oct 2024)
    • View all review series ...
  • Viewpoint
  • Collections
    • In-Press Preview
    • Clinical Research and Public Health
    • Research Letters
    • Letters to the Editor
    • Editorials
    • Commentaries
    • Editor's notes
    • Reviews
    • Viewpoints
    • 100th anniversary
    • Top read articles

  • Current issue
  • Past issues
  • Specialties
  • Reviews
  • Review series
  • ASCI Milestone Awards
  • Video Abstracts
  • Conversations with Giants in Medicine
  • In-Press Preview
  • Clinical Research and Public Health
  • Research Letters
  • Letters to the Editor
  • Editorials
  • Commentaries
  • Editor's notes
  • Reviews
  • Viewpoints
  • 100th anniversary
  • Top read articles
  • About
  • Editors
  • Consulting Editors
  • For authors
  • Publication ethics
  • Publication alerts by email
  • Advertising
  • Job board
  • Contact
A role for p53 in terminal epithelial cell differentiation
Zubaida Saifudeen, Susana Dipp, Samir S. El-Dahr
Zubaida Saifudeen, Susana Dipp, Samir S. El-Dahr
View: Text | PDF
Article Development

A role for p53 in terminal epithelial cell differentiation

  • Text
  • PDF
Abstract

Terminal epithelial cell differentiation is a crucial step in development. In the kidney, failure of terminal differentiation causes dysplasia, cystogenesis, and cancer. The present study provides multiple lines of evidence implicating the tumor suppressor protein p53 in terminal differentiation of the renal epithelium. In the developing kidney, p53 is highly enriched in epithelial cells expressing renal function genes (RFGs), such as receptors for vasoactive hormones, the sodium pump, and epithelial sodium and water channels. In comparison, proliferating renal progenitors express little if any p53 or RFGs. p53 binds to and transactivates the promoters of RFGs. In contrast, expression of a dominant negative mutant form of p53 inhibits endogenous RFG expression. Moreover, binding of endogenous p53 to the promoters of RFGs coincides with the differentiation process and is attenuated once renal epithelial cells are fully differentiated. Finally, p53-null pups exhibit a previously unrecognized aberrant renal phenotype and spatial disorganization of RFGs. Interestingly, the p53-related protein p73 is unable to functionally compensate for the loss of p53 and fails to efficiently activate RFG transcription. We conclude that p53 promotes the biochemical and morphological differentiation of the renal epithelium. Aberrations in p53-mediated terminal differentiation may therefore play a role in the pathogenesis of nephron dysgenesis and dysfunction.

Authors

Zubaida Saifudeen, Susana Dipp, Samir S. El-Dahr

×

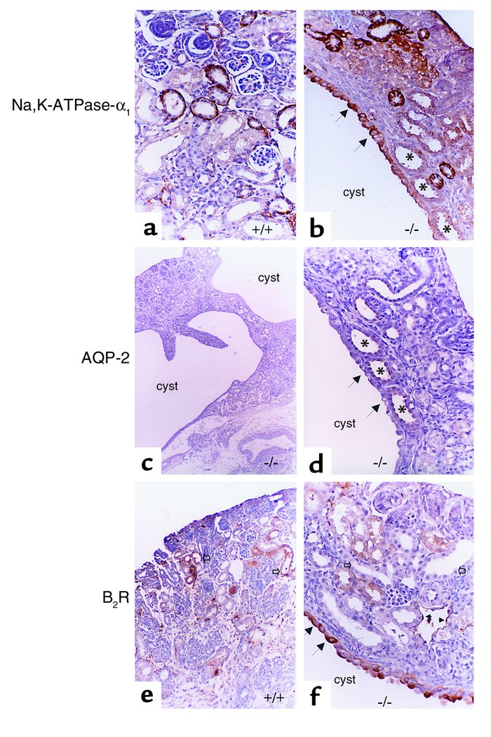
Figure 8

Options: View larger image (or click on image) Download as PowerPoint
Abnormal spatial expression of RFG products in p53-null mice. Immunoloca...
Abnormal spatial expression of RFG products in p53-null mice. Immunolocalization of Na,K-ATPase-α1 (a and b), AQP-2 (c and d), and B2R (e and f). (a) Kidney section from a newborn p53+/+ mouse showing basolateral staining for Na,K-ATPase-α1 (×100). (b) Staining for Na,K-ATPase-α1 in a p53–/– littermate showing atypical localization on the apical aspect of the cyst’s epithelium (black arrows). This functional abnormality is expected to pump Na+ into the cyst cavity, thus enlarging its size. Dilated cortical collecting ducts in the tissue around the cyst (×200) are denoted by asterisks. (c) A low-power view of a kidney section from a p53–/– newborn mouse showing two adjacent large cysts separated by a strand of cortical tissue (×40). AQP-2 staining intensity is difficult to detect in the cortical collecting ducts but is visible in the papillary ducts. (d) A higher-power view of one of the cysts in c, showing lack of staining for AQP-2 in the cyst epithelium (black arrows). Lack of AQP-2 from the cyst wall correlates functionally with decreased free water absorption, which promotes cyst expansion. Dilated AQP-2–positive collecting ducts (×400) are shown by asterisks. (e) B2R immunostaining in a kidney from a newborn p53+/+ mouse. B2R is expressed in the cortical collecting ducts (open arrows) (×200). (f) B2R expression is low in normal tubules but increased in the cyst epithelium (black arrows) (×400). B2R mediates sodium and water excretion; thus this abnormality would be expected to favor cyst expansion.

Copyright © 2026 American Society for Clinical Investigation
ISSN: 0021-9738 (print), 1558-8238 (online)

Sign up for email alerts