Go to JCI Insight
  • About
  • Editors
  • Consulting Editors
  • For authors
  • Publication ethics
  • Publication alerts by email
  • Advertising
  • Job board
  • Contact
  • Clinical Research and Public Health
  • Current issue
  • Past issues
  • By specialty
    • COVID-19
    • Cardiology
    • Gastroenterology
    • Immunology
    • Metabolism
    • Nephrology
    • Neuroscience
    • Oncology
    • Pulmonology
    • Vascular biology
    • All ...
  • Videos
    • ASCI Milestone Awards
    • Video Abstracts
    • Conversations with Giants in Medicine
  • Reviews
    • View all reviews ...
    • Clinical innovation and scientific progress in GLP-1 medicine (Nov 2025)
    • Pancreatic Cancer (Jul 2025)
    • Complement Biology and Therapeutics (May 2025)
    • Evolving insights into MASLD and MASH pathogenesis and treatment (Apr 2025)
    • Microbiome in Health and Disease (Feb 2025)
    • Substance Use Disorders (Oct 2024)
    • Clonal Hematopoiesis (Oct 2024)
    • View all review series ...
  • Viewpoint
  • Collections
    • In-Press Preview
    • Clinical Research and Public Health
    • Research Letters
    • Letters to the Editor
    • Editorials
    • Commentaries
    • Editor's notes
    • Reviews
    • Viewpoints
    • 100th anniversary
    • Top read articles

  • Current issue
  • Past issues
  • Specialties
  • Reviews
  • Review series
  • ASCI Milestone Awards
  • Video Abstracts
  • Conversations with Giants in Medicine
  • In-Press Preview
  • Clinical Research and Public Health
  • Research Letters
  • Letters to the Editor
  • Editorials
  • Commentaries
  • Editor's notes
  • Reviews
  • Viewpoints
  • 100th anniversary
  • Top read articles
  • About
  • Editors
  • Consulting Editors
  • For authors
  • Publication ethics
  • Publication alerts by email
  • Advertising
  • Job board
  • Contact
STAT4 and STAT6 regulate systemic inflammation and protect against lethal endotoxemia
Alex B. Lentsch, Atsushi Kato, Brian Davis, Warner Wang, Celia Chao, Michael J. Edwards
Alex B. Lentsch, Atsushi Kato, Brian Davis, Warner Wang, Celia Chao, Michael J. Edwards
View: Text | PDF
Article

STAT4 and STAT6 regulate systemic inflammation and protect against lethal endotoxemia

  • Text
  • PDF
Abstract

Members of the signal transducer and activator of transcription (STAT) family are transcription factors that mediate many of the effects of pro- and anti-inflammatory cytokines. The progressive systemic inflammatory response induced by endotoxin is mediated by overzealous cytokine production. Here we identify STAT4 and STAT6 as critical regulators of the systemic inflammatory response to endotoxin. Mice deficient for STAT4 or STAT6 were highly susceptible to lethal endotoxemia. In STAT4–/– mice, antibody blockade of IL-12 prevented mortality, suggesting that STAT4 confers protection, while another signaling pathway mediates the detrimental effects of IL-12. In STAT6–/– mice we observed dysregulated activation of the transcription factor NF-κB, resulting in augmented production of proinflammatory cytokines and chemokines. Furthermore, STAT6–/– mice displayed increased organ accumulation of leukocytes and significant hepatocellular injury. These findings demonstrate that STAT4 and STAT6 confer protection against endotoxin-induced death and that for STAT6 these protective effects occur through the regulation of NF-κB activation and subsequent production of proinflammatory cytokines and chemokines.

Authors

Alex B. Lentsch, Atsushi Kato, Brian Davis, Warner Wang, Celia Chao, Michael J. Edwards

×

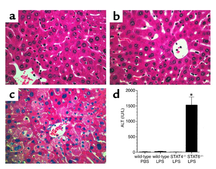
Figure 8

Options: View larger image (or click on image) Download as PowerPoint
Endotoxemia causes hepatocellular injury in STAT6–/– mice. Liver section...
Endotoxemia causes hepatocellular injury in STAT6–/– mice. Liver sections were taken from wild-type (a), STAT4–/– (b), or STAT6–/– (c) mice 24 hours after intraperitoneal injection of 3 mg/kg endotoxin. Livers from wild-type (a) and STAT4–/– (b) mice appeared relatively normal, while livers from STAT6–/– mice (c) revealed vast areas of hepatocellular necrosis. Serum levels of ALT confirmed these histopathological observations (d). Serum was obtained 24 hours after the administration of endotoxin. Values are mean ± SEM with n = 4 mice per group. *P < 0.05 compared with wild-type controls.

Copyright © 2026 American Society for Clinical Investigation
ISSN: 0021-9738 (print), 1558-8238 (online)

Sign up for email alerts