Go to JCI Insight
  • About
  • Editors
  • Consulting Editors
  • For authors
  • Publication ethics
  • Publication alerts by email
  • Advertising
  • Job board
  • Contact
  • Clinical Research and Public Health
  • Current issue
  • Past issues
  • By specialty
    • COVID-19
    • Cardiology
    • Gastroenterology
    • Immunology
    • Metabolism
    • Nephrology
    • Neuroscience
    • Oncology
    • Pulmonology
    • Vascular biology
    • All ...
  • Videos
    • Conversations with Giants in Medicine
    • Video Abstracts
  • Reviews
    • View all reviews ...
    • Clinical innovation and scientific progress in GLP-1 medicine (Nov 2025)
    • Pancreatic Cancer (Jul 2025)
    • Complement Biology and Therapeutics (May 2025)
    • Evolving insights into MASLD and MASH pathogenesis and treatment (Apr 2025)
    • Microbiome in Health and Disease (Feb 2025)
    • Substance Use Disorders (Oct 2024)
    • Clonal Hematopoiesis (Oct 2024)
    • View all review series ...
  • Viewpoint
  • Collections
    • In-Press Preview
    • Clinical Research and Public Health
    • Research Letters
    • Letters to the Editor
    • Editorials
    • Commentaries
    • Editor's notes
    • Reviews
    • Viewpoints
    • 100th anniversary
    • Top read articles

  • Current issue
  • Past issues
  • Specialties
  • Reviews
  • Review series
  • Conversations with Giants in Medicine
  • Video Abstracts
  • In-Press Preview
  • Clinical Research and Public Health
  • Research Letters
  • Letters to the Editor
  • Editorials
  • Commentaries
  • Editor's notes
  • Reviews
  • Viewpoints
  • 100th anniversary
  • Top read articles
  • About
  • Editors
  • Consulting Editors
  • For authors
  • Publication ethics
  • Publication alerts by email
  • Advertising
  • Job board
  • Contact
Haploinsufficiency of immune checkpoint receptor CTLA4 induces a distinct neuroinflammatory disorder
Matthew K. Schindler, Stefania Pittaluga, Yoshimi Enose-Akahata, Helen C. Su, V. Koneti Rao, Amy Rump, Steven Jacobson, Irene Cortese, Daniel S. Reich, Gulbu Uzel
Matthew K. Schindler, Stefania Pittaluga, Yoshimi Enose-Akahata, Helen C. Su, V. Koneti Rao, Amy Rump, Steven Jacobson, Irene Cortese, Daniel S. Reich, Gulbu Uzel
View: Text | PDF
Clinical Research and Public Health Inflammation Neuroscience

Haploinsufficiency of immune checkpoint receptor CTLA4 induces a distinct neuroinflammatory disorder

  • Text
  • PDF
Abstract

BACKGROUND Cytotoxic T lymphocyte antigen 4 (CTLA4) is essential for immune homeostasis. Genetic mutations causing haploinsufficiency (CTLA4h) lead to a phenotypically heterogenous, immune-mediated disease that can include neuroinflammation. The neurological manifestations of CTLA4h are poorly characterized.METHODS We performed an observational natural history study of 50 patients with CTLA4h who were followed at the NIH. We analyzed clinical, radiological, immunological, and histopathological data.RESULTS Evidence for neuroinflammation was observed in 32% (n = 16 of 50) of patients in this cohort by magnetic resonance imaging (MRI) and/or by cerebrospinal fluid analysis. Clinical symptoms were commonly absent or mild in severity, with headaches as the leading complaint (n = 13 of 16). The most striking findings were relapsing, large, contrast-enhancing focal lesions in the brain and spinal cord observed on MRI. We detected inflammation in the cerebrospinal fluid and leptomeninges before the parenchyma. Brain biopsies of inflammatory lesions from 10 patients showed perivascular and intraparenchymal mixed cellular infiltrates with little accompanying demyelination or neuronal injury.CONCLUSIONS Neuroinflammation due to CTLA4h is mediated primarily by an infiltrative process with a distinct and striking dissociation between clinical symptoms and radiological findings in the majority of patients.FUNDING NIAID, NIH, Division of Intramural Research, NINDS, NIH, Division of Intramural Research, and the National Multiple Sclerosis Society–American Brain Foundation.TRIAL REGISTRATION ClinicalTrials.gov NCT00001355.

Authors

Matthew K. Schindler, Stefania Pittaluga, Yoshimi Enose-Akahata, Helen C. Su, V. Koneti Rao, Amy Rump, Steven Jacobson, Irene Cortese, Daniel S. Reich, Gulbu Uzel

×

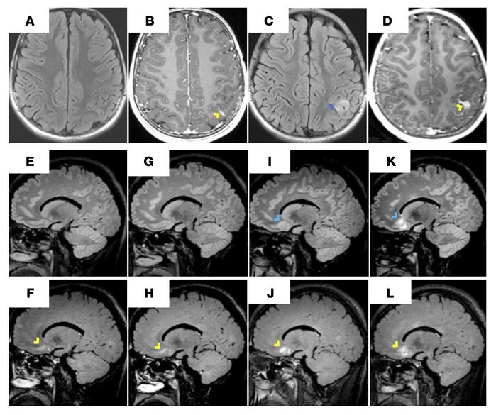
Figure 4

CTLA4h-associated neuroinflammation often starts in the leptomeninges.

Options: View larger image (or click on image) Download as PowerPoint
CTLA4h-associated neuroinflammation often starts in the leptomeninges.
L...
LME on MRI can precede parenchymal lesion formation. Patient numbers given here correspond to the data in Table 2. (A–D) Patient 9 developed headaches and a complex partial seizure attributed to a mesial temporal lobe lesion (not shown). MRI scans at clinical onset (A and B) and 11 days later (C and D) show a fast temporal evolution of LME (yellow chevron) to a parenchymal lesion (blue chevron). T2-FLAIR images (A and C); T1-weighted images after contrast (B and D). (E–L) Patient 13 was clinically asymptomatic and had extensive LME (yellow chevrons) on sequential MRIs, each done approximately 1 month apart. T2-FLAIR images (E, G, I, and K); T2-FLAIR images after contrast (F, H, J, and L).

Copyright © 2025 American Society for Clinical Investigation
ISSN: 0021-9738 (print), 1558-8238 (online)

Sign up for email alerts