Go to JCI Insight
  • About
  • Editors
  • Consulting Editors
  • For authors
  • Publication ethics
  • Publication alerts by email
  • Advertising
  • Job board
  • Contact
  • Clinical Research and Public Health
  • Current issue
  • Past issues
  • By specialty
    • COVID-19
    • Cardiology
    • Gastroenterology
    • Immunology
    • Metabolism
    • Nephrology
    • Neuroscience
    • Oncology
    • Pulmonology
    • Vascular biology
    • All ...
  • Videos
    • Conversations with Giants in Medicine
    • Video Abstracts
  • Reviews
    • View all reviews ...
    • Clinical innovation and scientific progress in GLP-1 medicine (Nov 2025)
    • Pancreatic Cancer (Jul 2025)
    • Complement Biology and Therapeutics (May 2025)
    • Evolving insights into MASLD and MASH pathogenesis and treatment (Apr 2025)
    • Microbiome in Health and Disease (Feb 2025)
    • Substance Use Disorders (Oct 2024)
    • Clonal Hematopoiesis (Oct 2024)
    • View all review series ...
  • Viewpoint
  • Collections
    • In-Press Preview
    • Clinical Research and Public Health
    • Research Letters
    • Letters to the Editor
    • Editorials
    • Commentaries
    • Editor's notes
    • Reviews
    • Viewpoints
    • 100th anniversary
    • Top read articles

  • Current issue
  • Past issues
  • Specialties
  • Reviews
  • Review series
  • Conversations with Giants in Medicine
  • Video Abstracts
  • In-Press Preview
  • Clinical Research and Public Health
  • Research Letters
  • Letters to the Editor
  • Editorials
  • Commentaries
  • Editor's notes
  • Reviews
  • Viewpoints
  • 100th anniversary
  • Top read articles
  • About
  • Editors
  • Consulting Editors
  • For authors
  • Publication ethics
  • Publication alerts by email
  • Advertising
  • Job board
  • Contact
Cyclin A2 maintains colon homeostasis and is a prognostic factor in colorectal cancer
Yuchen Guo, … , Bénédicte Lemmers, Michael Hahne
Yuchen Guo, … , Bénédicte Lemmers, Michael Hahne
Published December 17, 2020
Citation Information: J Clin Invest. 2021;131(4):e131517. https://doi.org/10.1172/JCI131517.
View: Text | PDF
Research Article Inflammation Oncology

Cyclin A2 maintains colon homeostasis and is a prognostic factor in colorectal cancer

  • Text
  • PDF
Abstract

To clarify the function of cyclin A2 in colon homeostasis and colorectal cancer (CRC), we generated mice deficient for cyclin A2 in colonic epithelial cells (CECs). Colons of these mice displayed architectural changes in the mucosa and signs of inflammation, as well as increased proliferation of CECs associated with the appearance of low- and high-grade dysplasias. The main initial events triggering those alterations in cyclin A2–deficient CECs appeared to be abnormal mitoses and DNA damage. Cyclin A2 deletion in CECs promoted the development of dysplasia and adenocarcinomas in a murine colitis–associated cancer model. We next explored the status of cyclin A2 expression in clinical CRC samples at the mRNA and protein levels and found higher expression in tumors of patients with stage 1 or 2 CRC compared with those of patients with stage 3 or 4 CRC. A meta-analysis of 11 transcriptome data sets comprising 2239 primary CRC tumors revealed different expression levels of CCNA2 (the mRNA coding for cyclin A2) among the CRC tumor subtypes, with the highest expression detected in consensus molecular subtype 1 (CMS1) and the lowest in CMS4 tumors. Moreover, we found high expression of CCNA2 to be a new, independent prognosis factor for CRC tumors.

Authors

Yuchen Guo, Monica Gabola, Rossano Lattanzio, Conception Paul, Valérie Pinet, Ruizhi Tang, Hulya Turali, Julie Bremond, Ciro Longobardi, Chloé Maurizy, Quentin Da Costa, Pascal Finetti, Florence Boissière-Michot, Benjamin Rivière, Céline Lemmers, Séverine Garnier, François Bertucci, Inti Zlobec, Karim Chebli, Jamal Tazi, Rania Azar, Jean-Marie Blanchard, Peter Sicinski, Emilie Mamessier, Bénédicte Lemmers, Michael Hahne

×

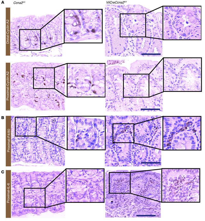
Figure 1

Cyclin A2 deletion leads to epithelial changes in the colon mucosa and inflammation.

Options: View larger image (or click on image) Download as PowerPoint
Cyclin A2 deletion leads to epithelial changes in the colon mucosa and i...
(A–C) Immunostaining for cyclin A2 (A), F4/80 (B), and IL-6 (C) of the indicated parts of colons from control (Ccna2fl/fl) and constitutive (VilCre Ccna2fl/fl) cyclin A2–deficient mice. Scale bars: 100 μm. Original magnification, ×2 (enlarged insets).

Copyright © 2025 American Society for Clinical Investigation
ISSN: 0021-9738 (print), 1558-8238 (online)

Sign up for email alerts