Go to JCI Insight
  • About
  • Editors
  • Consulting Editors
  • For authors
  • Publication ethics
  • Publication alerts by email
  • Advertising
  • Job board
  • Contact
  • Clinical Research and Public Health
  • Current issue
  • Past issues
  • By specialty
    • COVID-19
    • Cardiology
    • Gastroenterology
    • Immunology
    • Metabolism
    • Nephrology
    • Neuroscience
    • Oncology
    • Pulmonology
    • Vascular biology
    • All ...
  • Videos
    • Conversations with Giants in Medicine
    • Video Abstracts
  • Reviews
    • View all reviews ...
    • Pancreatic Cancer (Jul 2025)
    • Complement Biology and Therapeutics (May 2025)
    • Evolving insights into MASLD and MASH pathogenesis and treatment (Apr 2025)
    • Microbiome in Health and Disease (Feb 2025)
    • Substance Use Disorders (Oct 2024)
    • Clonal Hematopoiesis (Oct 2024)
    • Sex Differences in Medicine (Sep 2024)
    • View all review series ...
  • Viewpoint
  • Collections
    • In-Press Preview
    • Clinical Research and Public Health
    • Research Letters
    • Letters to the Editor
    • Editorials
    • Commentaries
    • Editor's notes
    • Reviews
    • Viewpoints
    • 100th anniversary
    • Top read articles

  • Current issue
  • Past issues
  • Specialties
  • Reviews
  • Review series
  • Conversations with Giants in Medicine
  • Video Abstracts
  • In-Press Preview
  • Clinical Research and Public Health
  • Research Letters
  • Letters to the Editor
  • Editorials
  • Commentaries
  • Editor's notes
  • Reviews
  • Viewpoints
  • 100th anniversary
  • Top read articles
  • About
  • Editors
  • Consulting Editors
  • For authors
  • Publication ethics
  • Publication alerts by email
  • Advertising
  • Job board
  • Contact
Antiangiogenic immunotherapy suppresses desmoplastic and chemoresistant intestinal tumors in mice
Simone Ragusa, … , Michele De Palma, Tatiana V. Petrova
Simone Ragusa, … , Michele De Palma, Tatiana V. Petrova
Published February 4, 2020
Citation Information: J Clin Invest. 2020;130(3):1199-1216. https://doi.org/10.1172/JCI129558.
View: Text | PDF
Research Article Angiogenesis Oncology

Antiangiogenic immunotherapy suppresses desmoplastic and chemoresistant intestinal tumors in mice

  • Text
  • PDF
Abstract

Mutations in APC promote colorectal cancer (CRC) progression through uncontrolled WNT signaling. Patients with desmoplastic CRC have a significantly worse prognosis and do not benefit from chemotherapy, but the mechanisms underlying the differential responses of APC-mutant CRCs to chemotherapy are not well understood. We report that expression of the transcription factor prospero homeobox 1 (PROX1) was reduced in desmoplastic APC-mutant human CRCs. In genetic Apc-mutant mouse models, loss of Prox1 promoted the growth of desmoplastic, angiogenic, and immunologically silent tumors through derepression of Mmp14. Although chemotherapy inhibited Prox1-proficient tumors, it promoted further stromal activation, angiogenesis, and invasion in Prox1-deficient tumors. Blockade of vascular endothelial growth factor A (VEGFA) and angiopoietin-2 (ANGPT2) combined with CD40 agonistic antibodies promoted antiangiogenic and immunostimulatory reprogramming of Prox1-deficient tumors, destroyed tumor fibrosis, and unleashed T cell–mediated killing of cancer cells. These results pinpoint the mechanistic basis of chemotherapy-induced hyperprogression and illustrate a therapeutic strategy for chemoresistant and desmoplastic CRCs.

Authors

Simone Ragusa, Borja Prat-Luri, Alejandra González-Loyola, Sina Nassiri, Mario Leonardo Squadrito, Alan Guichard, Sabrina Cavin, Nikolce Gjorevski, David Barras, Giancarlo Marra, Matthias P. Lutolf, Jean Perentes, Emily Corse, Roberta Bianchi, Laureline Wetterwald, Jaeryung Kim, Guillermo Oliver, Mauro Delorenzi, Michele De Palma, Tatiana V. Petrova

×

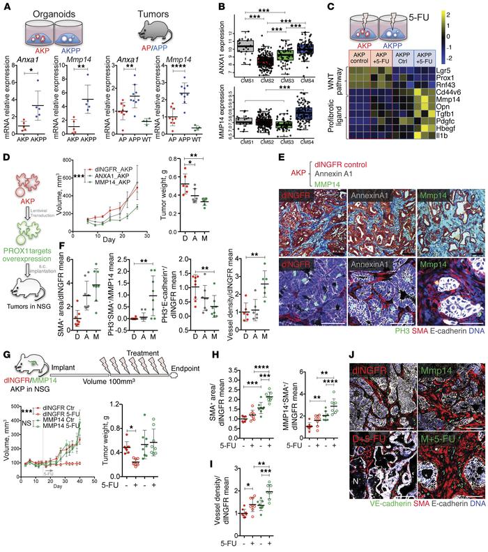
Figure 5

The PROX1 target MMP14 recapitulates tumor desmoplasia, angiogenesis, and chemoresistance.

Options: View larger image (or click on image) Download as PowerPoint
The PROX1 target MMP14 recapitulates tumor desmoplasia, angiogenesis, an...
(A) Mmp14 and Anxa1 expression in organoids and tumors. qRT-PCR data were normalized to the AKP organoids or the mean of AP tumors. (B) MMP14 and ANXA1 expression in CRC CMS classification (GSE39582; n = 409). P < 0.001, by 1-way ANOVA with Tukey’s multiple comparisons test. (C) 5-FU effect on WNT targets and profibrotic factors. A heatmap of the indicated genes is shown (n = 3). (D) Tumor growth and weights after overexpression of MMP14 or ANXA1. Fifty MMP14-AKP, ANXA1-AKP, or control dlNGFR-AKP organoids were implanted s.c. per mouse (n = 6). (E) MMP14 overexpression promoted desmoplasia. Images in top row show Masson’s trichrome staining; images in bottom row show staining for PH3 (green), α-SMA (red), E-cadherin (white), and DNA (blue). Scale bars: 50 μm. (F) Quantification of stromal content, stromal and cancer cell proliferation, and vascular density in control and MMP14- or ANXA1-overexpressing tumors. Data are presented as the fold change versus the AKP control mean or versus the MMP14 mean for stromal proliferation. (G) MMP14-AKP tumors were chemoresistant. Mice were implanted s.c. with 50 control dlNGFR-AKP or 100 MMP14-AKP organoids (n = 8). 5-FU treatment was started when tumors reached 100 mm3 in size. (H) 5-FU effect on desmoplasia and stromal MMP14 expression in MMP14-AKP tumors. Quantification of α-SMA+ stromal area and MMP14+α-SMA+ coexpression in control dlNGFR-AKP and MMP14-AKP tumors. Data are presented as the fold change versus the AKP control mean. (I) 5-FU effect on angiogenesis in MMP14-AKP tumors. VE-cadherin+ vessel density is presented as the fold change versus the AKP control mean. (J) Effect of 5-FU on angiogenesis in MMP14-AKP tumors. Images show staining for VE-cadherin (green), α-SMA (red), E-cadherin (white), and DNA (blue). Scale bars: 50 μm. Data represent the mean ± SD. *P ≤ 0.05, **P ≤ 0.01, ***P ≤ 0.001, and ****P ≤ 0.0001, by Student’s t test (A) or 1-way ANOVA (scatterplots) or 2-way ANOVA (growth curves) with Tukey’s multiple comparisons test. D, dlNGFR; A, Annexin A1; M, MMP14.

Copyright © 2025 American Society for Clinical Investigation
ISSN: 0021-9738 (print), 1558-8238 (online)

Sign up for email alerts