Go to JCI Insight
  • About
  • Editors
  • Consulting Editors
  • For authors
  • Publication ethics
  • Publication alerts by email
  • Advertising
  • Job board
  • Contact
  • Clinical Research and Public Health
  • Current issue
  • Past issues
  • By specialty
    • COVID-19
    • Cardiology
    • Gastroenterology
    • Immunology
    • Metabolism
    • Nephrology
    • Neuroscience
    • Oncology
    • Pulmonology
    • Vascular biology
    • All ...
  • Videos
    • ASCI Milestone Awards
    • Video Abstracts
    • Conversations with Giants in Medicine
  • Reviews
    • View all reviews ...
    • Clinical innovation and scientific progress in GLP-1 medicine (Nov 2025)
    • Pancreatic Cancer (Jul 2025)
    • Complement Biology and Therapeutics (May 2025)
    • Evolving insights into MASLD and MASH pathogenesis and treatment (Apr 2025)
    • Microbiome in Health and Disease (Feb 2025)
    • Substance Use Disorders (Oct 2024)
    • Clonal Hematopoiesis (Oct 2024)
    • View all review series ...
  • Viewpoint
  • Collections
    • In-Press Preview
    • Clinical Research and Public Health
    • Research Letters
    • Letters to the Editor
    • Editorials
    • Commentaries
    • Editor's notes
    • Reviews
    • Viewpoints
    • 100th anniversary
    • Top read articles

  • Current issue
  • Past issues
  • Specialties
  • Reviews
  • Review series
  • ASCI Milestone Awards
  • Video Abstracts
  • Conversations with Giants in Medicine
  • In-Press Preview
  • Clinical Research and Public Health
  • Research Letters
  • Letters to the Editor
  • Editorials
  • Commentaries
  • Editor's notes
  • Reviews
  • Viewpoints
  • 100th anniversary
  • Top read articles
  • About
  • Editors
  • Consulting Editors
  • For authors
  • Publication ethics
  • Publication alerts by email
  • Advertising
  • Job board
  • Contact
The local immune landscape determines tumor PD-L1 heterogeneity and sensitivity to therapy
Yuan Wei, Qiyi Zhao, Zhiliang Gao, Xiang-Ming Lao, Wei-Ming Lin, Dong-Ping Chen, Ming Mu, Chun-Xiang Huang, Zheng-Yu Liu, Bo Li, Limin Zheng, Dong-Ming Kuang
Yuan Wei, Qiyi Zhao, Zhiliang Gao, Xiang-Ming Lao, Wei-Ming Lin, Dong-Ping Chen, Ming Mu, Chun-Xiang Huang, Zheng-Yu Liu, Bo Li, Limin Zheng, Dong-Ming Kuang
View: Text | PDF
Research Article Immunology Inflammation

The local immune landscape determines tumor PD-L1 heterogeneity and sensitivity to therapy

  • Text
  • PDF
Abstract

Programmed death-1 receptor ligand 1 (PD-L1) is a promising therapeutic target in aggressive cancers. However, immune landscapes and cancer hallmarks of human PD-L1+ tumors as well as their roles in determining therapeutic efficacies are unknown. Here, we showed, in detailed studies of gene data regarding 9769 patients of 32 types of human cancers, that PD-L1 could not exclusively represent the IFN-γ signature and potentially signified proinflammatory myeloid responses in a tumor. PD-L1 heterogeneity endowed by local immune landscapes controlled cancer hallmarks and clinical outcomes of patients. Mechanically, NF-κB signal elicited by macrophage inflammatory responses generated PD-L1+ cancer cells exhibiting capabilities to aggressively survive, support angiogenesis, and metastasize, whereas STAT1 signal triggered by activated T cells induced PD-L1+ cancer cells susceptive to apoptosis. Importantly, PD-L1+ cancer cells generated by macrophages established great resistance to conventional chemotherapy, cytotoxicity of tumor-specific effector T cells, and therapy of immune-checkpoint blockade. Therapeutic strategy combining immune-checkpoint blockade with macrophage depletion or NF-κB inhibition in vivo effectively and successfully elicited cancer regression. Our results provide insight into the functional features of PD-L1+ tumors and suggest that strategies to influence functional activities of inflammatory cells may benefit immune-checkpoint blockade therapy.

Authors

Yuan Wei, Qiyi Zhao, Zhiliang Gao, Xiang-Ming Lao, Wei-Ming Lin, Dong-Ping Chen, Ming Mu, Chun-Xiang Huang, Zheng-Yu Liu, Bo Li, Limin Zheng, Dong-Ming Kuang

×

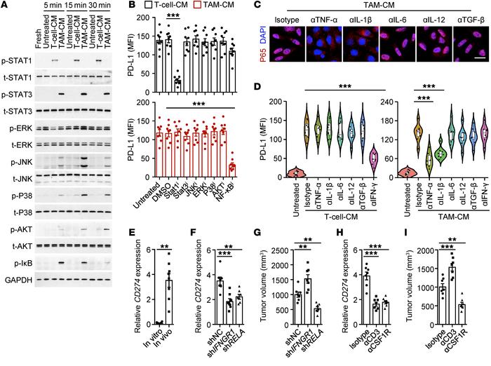
Figure 4

Distinct induction patterns of cancer cell PD-L1 by tumor macrophages and T cells.

Options: View larger image (or click on image) Download as PowerPoint
Distinct induction patterns of cancer cell PD-L1 by tumor macrophages an...
(A) HepG2 cells were left untreated or were incubated with T cell–CM or TAM-CM for indicated times. Activation of indicated pathways was analyzed by immunoblotting (n = 4). (B) Effects of signaling pathway inhibitor on HepG2 cell PD-L1 expression induced by T cell–CM or TAM-CM (n = 8). (C and D) Effects of cytokine neutralizing Ab on P65 nuclear translocation (C) or PD-L1 expression (D) in HepG2 cells induced by T cell–CM or TAM-CM (n = 4 for C and n = 8 for D). Scale bar: 20 μm. (E) Expression of CD274 on Hepa1-6 cells cultured in vitro or inoculated in liver of immune-competent mice (n = 8). (F and G) P65 knockdown (shRELA) or IFN-γ receptor knockdown (shIFNGR1) Hepa1-6 cells, as well as the control Hepa1–6 cells, were inoculated in liver of C57BL/6 mice as described (Supplemental Figure 2E). CD274 expression in tumor tissues (F) and tumor volume (G) were analyzed. (H and I) Mice bearing Hepa1-6 hepatoma were injected with isotype Ab, anti-CD3 Ab, or anti-CSF1R Ab as described (Supplemental Figure 2F). CD274 expression in tumor tissues (H) and tumor volume (I) were analyzed. Data represent mean ± SEM. Results are representative of at least 3 separate experiments (n = 7). **P < 0.01; ***P < 0.001, 1-way ANOVA with Bonferroni’s post test (B and D), Dunett’s post test (F–I), or Student’s t test (E).

Copyright © 2026 American Society for Clinical Investigation
ISSN: 0021-9738 (print), 1558-8238 (online)

Sign up for email alerts