Go to JCI Insight
  • About
  • Editors
  • Consulting Editors
  • For authors
  • Publication ethics
  • Publication alerts by email
  • Advertising
  • Job board
  • Contact
  • Clinical Research and Public Health
  • Current issue
  • Past issues
  • By specialty
    • COVID-19
    • Cardiology
    • Gastroenterology
    • Immunology
    • Metabolism
    • Nephrology
    • Neuroscience
    • Oncology
    • Pulmonology
    • Vascular biology
    • All ...
  • Videos
    • ASCI Milestone Awards
    • Video Abstracts
    • Conversations with Giants in Medicine
  • Reviews
    • View all reviews ...
    • Clinical innovation and scientific progress in GLP-1 medicine (Nov 2025)
    • Pancreatic Cancer (Jul 2025)
    • Complement Biology and Therapeutics (May 2025)
    • Evolving insights into MASLD and MASH pathogenesis and treatment (Apr 2025)
    • Microbiome in Health and Disease (Feb 2025)
    • Substance Use Disorders (Oct 2024)
    • Clonal Hematopoiesis (Oct 2024)
    • View all review series ...
  • Viewpoint
  • Collections
    • In-Press Preview
    • Clinical Research and Public Health
    • Research Letters
    • Letters to the Editor
    • Editorials
    • Commentaries
    • Editor's notes
    • Reviews
    • Viewpoints
    • 100th anniversary
    • Top read articles

  • Current issue
  • Past issues
  • Specialties
  • Reviews
  • Review series
  • ASCI Milestone Awards
  • Video Abstracts
  • Conversations with Giants in Medicine
  • In-Press Preview
  • Clinical Research and Public Health
  • Research Letters
  • Letters to the Editor
  • Editorials
  • Commentaries
  • Editor's notes
  • Reviews
  • Viewpoints
  • 100th anniversary
  • Top read articles
  • About
  • Editors
  • Consulting Editors
  • For authors
  • Publication ethics
  • Publication alerts by email
  • Advertising
  • Job board
  • Contact
Sonic Hedgehog signaling limits atopic dermatitis via Gli2-driven immune regulation
Eleftheria Papaioannou, Diana C. Yánez, Susan Ross, Ching-In Lau, Anisha Solanki, Mira Manilal Chawda, Alex Virasami, Ismael Ranz, Masahiro Ono, Ryan F. L. O’Shaughnessy, Tessa Crompton
Eleftheria Papaioannou, Diana C. Yánez, Susan Ross, Ching-In Lau, Anisha Solanki, Mira Manilal Chawda, Alex Virasami, Ismael Ranz, Masahiro Ono, Ryan F. L. O’Shaughnessy, Tessa Crompton
View: Text | PDF
Research Article Immunology Inflammation

Sonic Hedgehog signaling limits atopic dermatitis via Gli2-driven immune regulation

  • Text
  • PDF
Abstract

Hedgehog (Hh) proteins regulate development and tissue homeostasis, but their role in atopic dermatitis (AD) remains unknown. We found that on induction of mouse AD, Sonic Hedgehog (Shh) expression in skin and Hh pathway action in skin T cells were increased. Shh signaling reduced AD pathology and the levels of Shh expression determined disease severity. Hh-mediated transcription in skin T cells in AD-induced mice increased Treg populations and their suppressive function through increased active transforming growth factor–β (TGF-β) in Treg signaling to skin T effector populations to reduce disease progression and pathology. RNA sequencing of skin CD4+ T cells from AD-induced mice demonstrated that Hh signaling increased expression of immunoregulatory genes and reduced expression of inflammatory and chemokine genes. Addition of recombinant Shh to cultures of naive human CD4+ T cells in iTreg culture conditions increased FOXP3 expression. Our findings establish an important role for Shh upregulation in preventing AD, by increased Gli-driven, Treg cell–mediated immune suppression, paving the way for a potential new therapeutic strategy.

Authors

Eleftheria Papaioannou, Diana C. Yánez, Susan Ross, Ching-In Lau, Anisha Solanki, Mira Manilal Chawda, Alex Virasami, Ismael Ranz, Masahiro Ono, Ryan F. L. O’Shaughnessy, Tessa Crompton

×

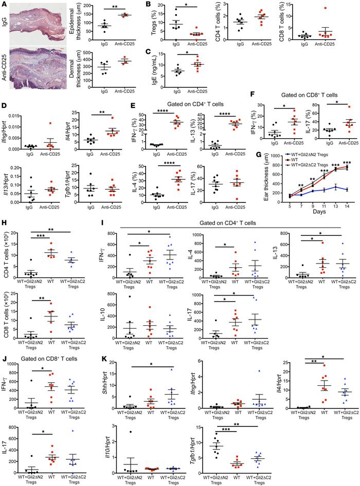
Figure 7

Hh signaling promotes skin Treg populations and their immune-regulatory function.

Options: View larger image (or click on image) Download as PowerPoint
Hh signaling promotes skin Treg populations and their immune-regulatory ...
(A–F) Groups of Gli2ΔN2 mice (7 per group unless stated otherwise) were injected in vivo with anti-CD25 antibody (red) or control IgG (black) 4 days before initiation of the Oxa protocol and again on day 7 (Supplemental Figure 5D). (A) Representative H&E images of skin sections from Oxa-treated anti-CD25–injected (n = 3) and control (IgG-injected, n = 5) Gli2ΔN2 groups on day 14. Scale bar: 100 μm. Plots show dermal and epidermal thickness. (B) Percentage of Tregs (CD25+icFoxp3+) (gated on CD4+) from ears of control and anti-CD25–treated groups (left). Percentage of CD4+T cells and CD8+T cells (gated on live cells) from ears (center and right). (C) Serum IgE concentration (ELISA) from control and anti-CD25–treated groups. (D) Ifng, Il4, Il13, and Tgfb1 expression (QRT-PCR) in ear homogenates. (E) Percentage of skin CD4+ T cells that express cytokines. (F) Percentage of skin CD8+ T cells that express cytokines. (G–K) Adoptive transfer into Oxa-treated WT mice. Purified CD4+CD25+ (Tregs) from spleens of Oxa-treated Gli2ΔN2 (Gli2ΔN2 adoptive transfer group, n = 7, black) or Gli2ΔC2 mice (Gli2ΔC2 adoptive transfer group, n = 7, blue) were injected into WT mice 2 days before and on day 7 of Oxa protocol (Supplemental Figure 5E), and compared with Oxa protocol WT control mice (control group; n = 7, red). (G) Ear thickness on days 5 to 14 of the Oxa protocol of WT control, Gli2ΔN2 adoptive transfer, and Gli2ΔC2 adoptive transfer groups (**P < 0.01 and ***P < 0.001, 2-tailed t test between WT control and Gli2ΔN2 adoptive transfer group). (H) Number of CD4+ T cells and CD8+ T cells recovered from ears from the 3 experimental groups. (I) Number of CD4+ T cells that expressed cytokines. (J) Number of CD8+ T cells that expressed cytokines. (K) Ifng, Il4, Il10, Tgfb1, and Shh expression (QRT-PCR) in ear homogenates. Two-tailed unpaired Student’s t test. (I–K) One-way ANOVA; each symbol represents an individual animal, showing mean ± SEM. *P < 0.05, **P < 0.01, ***P < 0.001, ****P < 0.0001.

Copyright © 2026 American Society for Clinical Investigation
ISSN: 0021-9738 (print), 1558-8238 (online)

Sign up for email alerts