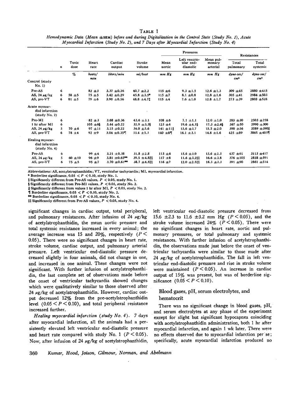
Use of digitalis in myocardial infarction is controversial. To determine the efficacy and toxic threshold, serial infusions of 3 μg/kg per min of acetyl-strophanthidin were given to six intact conscious dogs 24 hr before and 1 hr, 2 days, and 7 days after myocardial infarction induced by inflation of a balloon cuff implanted on the left anterior descending coronary artery. Within 1 hr after myocardial infarction, heart rate increased by 28%. Left ventricular end-diastolic pressure increased from 7 to 20 mm Hg, and stroke volume decreased by 25%. At this time acetylstrophanthidin caused no beneficial hemodynamic change, 1 wk later, the heart rate and left ventricular end-diastolic pressure had declined toward normal but remained elevated. At this time, acetylstrophanthidin lowered left ventricular end-diastolic pressure by 25%, and increased the stroke volume and cardiac output by 25% and 21% respectively, without any change in heart rate or aortic pressure. Tolerance to acetylstrophanthidin, defined as appearance of ventricular tachycardia, declined the 1st hr after myocardial infarction by 24% (P<0.05) from the control level of 43 ±4 μg/kg (SEM), but subsequently returned to control.
Raj Kumar, William B. Hood Jr., Julio Joison, David P. Gilmour, John C. Norman, Walter H. Abelmann
| 358 | 359 | 360 | 361 | 362 | 363 | 364 |
