Go to JCI Insight
  • About
  • Editors
  • Consulting Editors
  • For authors
  • Publication ethics
  • Publication alerts by email
  • Advertising
  • Job board
  • Contact
  • Clinical Research and Public Health
  • Current issue
  • Past issues
  • By specialty
    • COVID-19
    • Cardiology
    • Gastroenterology
    • Immunology
    • Metabolism
    • Nephrology
    • Neuroscience
    • Oncology
    • Pulmonology
    • Vascular biology
    • All ...
  • Videos
    • Conversations with Giants in Medicine
    • Video Abstracts
  • Reviews
    • View all reviews ...
    • Clinical innovation and scientific progress in GLP-1 medicine (Nov 2025)
    • Pancreatic Cancer (Jul 2025)
    • Complement Biology and Therapeutics (May 2025)
    • Evolving insights into MASLD and MASH pathogenesis and treatment (Apr 2025)
    • Microbiome in Health and Disease (Feb 2025)
    • Substance Use Disorders (Oct 2024)
    • Clonal Hematopoiesis (Oct 2024)
    • View all review series ...
  • Viewpoint
  • Collections
    • In-Press Preview
    • Clinical Research and Public Health
    • Research Letters
    • Letters to the Editor
    • Editorials
    • Commentaries
    • Editor's notes
    • Reviews
    • Viewpoints
    • 100th anniversary
    • Top read articles

  • Current issue
  • Past issues
  • Specialties
  • Reviews
  • Review series
  • Conversations with Giants in Medicine
  • Video Abstracts
  • In-Press Preview
  • Clinical Research and Public Health
  • Research Letters
  • Letters to the Editor
  • Editorials
  • Commentaries
  • Editor's notes
  • Reviews
  • Viewpoints
  • 100th anniversary
  • Top read articles
  • About
  • Editors
  • Consulting Editors
  • For authors
  • Publication ethics
  • Publication alerts by email
  • Advertising
  • Job board
  • Contact
Chronic allergic contact dermatitis promotes skin cancer
Shadmehr Demehri, Trevor J. Cunningham, Eva A. Hurst, Andras Schaffer, David M. Sheinbein, Wayne M. Yokoyama
Shadmehr Demehri, Trevor J. Cunningham, Eva A. Hurst, Andras Schaffer, David M. Sheinbein, Wayne M. Yokoyama
View: Text | PDF
Brief Report Oncology

Chronic allergic contact dermatitis promotes skin cancer

  • Text
  • PDF
Abstract

Allergic contact dermatitis (ACD) is well recognized as an adverse event associated with implantable medical devices that contain allergenic materials like nickel; however, other cutaneous consequences of chronic exposure to allergens in implanted devices are not well understood. Here, we present a clinical case of Marjolin’s ulcer, an invasive squamous cell carcinoma (SCC) that developed in response to chronic ACD caused by an orthopedic implant. We used a standard murine model of contact hypersensitivity to determine whether chronic ACD promotes skin carcinogenesis. Chronic application of 1-fluoro-2,4-dinitrobenzene (DNFB) to carcinogen-treated skin led to the development of papillomas and aggressive SCC. DNFB-driven chronic ACD was marked by type 2 inflammation, which mediated skin carcinogenesis, as mice unable to mount an inflammatory response were less likely to develop skin tumors. Importantly, we found similar tumor-promoting inflammation surrounding the SCC in our patient. Our findings demonstrate that chronic ACD caused by constant exposure to an allergen can promote tumorigenesis at skin sites with preexisting cancer-initiated cells. Moreover, our results suggest that patients with implantable devices placed in close proximity to the skin should be monitored for ACD and highlight the importance of patch testing prior to the placement of such devices.

Authors

Shadmehr Demehri, Trevor J. Cunningham, Eva A. Hurst, Andras Schaffer, David M. Sheinbein, Wayne M. Yokoyama

×

Figure 3

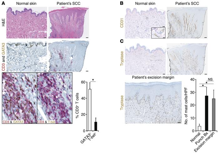
Tumor-promoting inflammation is associated with patient’s SCC.

Options: View larger image (or click on image) Download as PowerPoint
Tumor-promoting inflammation is associated with patient’s SCC.
(A) H&amp...
(A) H&E staining of the punch biopsy specimen highlights the extent of inflammation associated with SCC compared with that in normal skin. CD3, GATA3, and T-bet staining of the patient’s SCC shows significant accumulation of GATA3+ T cells (i.e., Th2 cells) in the dermis surrounding the SCC (quantified as the percentage of CD3+ cells counted in 6 random HPFs). (B) CD31 staining marks the vascular density surrounding the patient’s SCC compared with that in the normal skin. (C) Average number of mast cells in 6 random HPFs near the site of SCC (Punch Bx) and beyond at the excision margins was compared with the number of mast cells in the normal skin. The increased number of mast cells in the excision margins indicates that the patient’s skin inflammation extended beyond the cancer site. Representative images are shown. *P < 0.05. Scale bars: 100 μm; 10 μm (enlarged images in A and inset in B).

Copyright © 2025 American Society for Clinical Investigation
ISSN: 0021-9738 (print), 1558-8238 (online)

Sign up for email alerts