Go to JCI Insight
  • About
  • Editors
  • Consulting Editors
  • For authors
  • Publication ethics
  • Publication alerts by email
  • Advertising
  • Job board
  • Contact
  • Clinical Research and Public Health
  • Current issue
  • Past issues
  • By specialty
    • COVID-19
    • Cardiology
    • Gastroenterology
    • Immunology
    • Metabolism
    • Nephrology
    • Neuroscience
    • Oncology
    • Pulmonology
    • Vascular biology
    • All ...
  • Videos
    • Conversations with Giants in Medicine
    • Video Abstracts
  • Reviews
    • View all reviews ...
    • Clinical innovation and scientific progress in GLP-1 medicine (Nov 2025)
    • Pancreatic Cancer (Jul 2025)
    • Complement Biology and Therapeutics (May 2025)
    • Evolving insights into MASLD and MASH pathogenesis and treatment (Apr 2025)
    • Microbiome in Health and Disease (Feb 2025)
    • Substance Use Disorders (Oct 2024)
    • Clonal Hematopoiesis (Oct 2024)
    • View all review series ...
  • Viewpoint
  • Collections
    • In-Press Preview
    • Clinical Research and Public Health
    • Research Letters
    • Letters to the Editor
    • Editorials
    • Commentaries
    • Editor's notes
    • Reviews
    • Viewpoints
    • 100th anniversary
    • Top read articles

  • Current issue
  • Past issues
  • Specialties
  • Reviews
  • Review series
  • Conversations with Giants in Medicine
  • Video Abstracts
  • In-Press Preview
  • Clinical Research and Public Health
  • Research Letters
  • Letters to the Editor
  • Editorials
  • Commentaries
  • Editor's notes
  • Reviews
  • Viewpoints
  • 100th anniversary
  • Top read articles
  • About
  • Editors
  • Consulting Editors
  • For authors
  • Publication ethics
  • Publication alerts by email
  • Advertising
  • Job board
  • Contact
Apolipoprotein J/clusterin limits the severity of murine autoimmune myocarditis
Lea McLaughlin, … , Judith A.K. Harmony, Bruce J. Aronow
Lea McLaughlin, … , Judith A.K. Harmony, Bruce J. Aronow
Published November 1, 2000
Citation Information: J Clin Invest. 2000;106(9):1105-1113. https://doi.org/10.1172/JCI9037.
View: Text | PDF
Article

Apolipoprotein J/clusterin limits the severity of murine autoimmune myocarditis

  • Text
  • PDF
Abstract

Apolipoprotein J/clusterin (apoJ/clusterin), an intriguing protein with unknown function, is induced in myocarditis and numerous other inflammatory injuries. To test its ability to modify myosin-induced autoimmune myocarditis, we generated apoJ-deficient mice. ApoJ-deficient and wild-type mice exhibited similar initial onset of myocarditis, as evidenced by the induction of two early markers of the T cell–mediated immune response, MHC-II and TNF receptor p55. Furthermore, autoantibodies against the primary antigen cardiac myosin were induced to the same extent. Although the same proportion of challenged animals exhibited some degree of inflammatory infiltrate, inflammation was more severe in apoJ-deficient animals. Inflammatory lesions were more diffuse and extensive in apoJ-deficient mice, particularly in females. In marked contrast to wild-type animals, the development of a strong generalized secondary response against cardiac antigens in apoJ-deficient mice was predictive of severe myocarditis. Wild-type mice with a strong Ab response to secondary antigens appeared to be protected from severe inflammation. After resolution of inflammation, apoJ-deficient, but not wild-type, mice exhibited cardiac function impairment and severe myocardial scarring. These results suggest that apoJ limits progression of autoimmune myocarditis and protects the heart from postinflammatory tissue destruction.

Authors

Lea McLaughlin, Guang Zhu, Meenakshi Mistry, Cathy Ley-Ebert, William D. Stuart, Carolyn J. Florio, Pamela A. Groen, Sandra A. Witt, Thomas R. Kimball, David P. Witte, Judith A.K. Harmony, Bruce J. Aronow

×

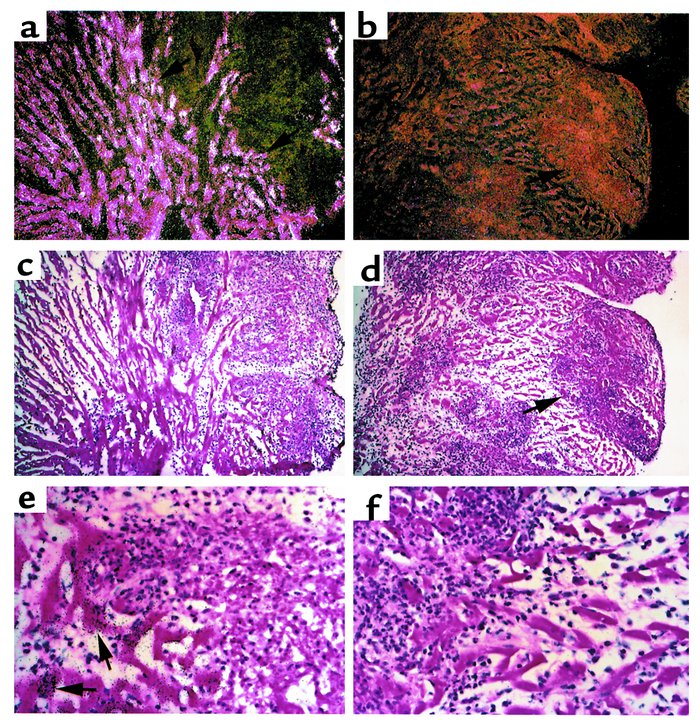
Figure 5

Options: View larger image (or click on image) Download as PowerPoint
Myocarditis induces apoJ mRNA in wild-type, but not apoJ-deficient, mice...
Myocarditis induces apoJ mRNA in wild-type, but not apoJ-deficient, mice. In situ hybridization analysis of comparable severely diseased hearts of wild-type (a) and apoJ-deficient (b) mice. (c–f) Corresponding bright-field views of sections shown in a and b. ApoJ mRNA is induced to high levels in wild-type mice in ventricular myofibrils surrounding lesions, specifically in myocytes adjacent to inflammatory cells (arrow) (e). No apoJ is expressed in hearts of apoJ-deficient animals. a–d, ×10; e, f, ×40.

Copyright © 2025 American Society for Clinical Investigation
ISSN: 0021-9738 (print), 1558-8238 (online)

Sign up for email alerts