Go to JCI Insight
  • About
  • Editors
  • Consulting Editors
  • For authors
  • Publication ethics
  • Publication alerts by email
  • Advertising
  • Job board
  • Contact
  • Clinical Research and Public Health
  • Current issue
  • Past issues
  • By specialty
    • COVID-19
    • Cardiology
    • Gastroenterology
    • Immunology
    • Metabolism
    • Nephrology
    • Neuroscience
    • Oncology
    • Pulmonology
    • Vascular biology
    • All ...
  • Videos
    • Conversations with Giants in Medicine
    • Video Abstracts
  • Reviews
    • View all reviews ...
    • Clinical innovation and scientific progress in GLP-1 medicine (Nov 2025)
    • Pancreatic Cancer (Jul 2025)
    • Complement Biology and Therapeutics (May 2025)
    • Evolving insights into MASLD and MASH pathogenesis and treatment (Apr 2025)
    • Microbiome in Health and Disease (Feb 2025)
    • Substance Use Disorders (Oct 2024)
    • Clonal Hematopoiesis (Oct 2024)
    • View all review series ...
  • Viewpoint
  • Collections
    • In-Press Preview
    • Clinical Research and Public Health
    • Research Letters
    • Letters to the Editor
    • Editorials
    • Commentaries
    • Editor's notes
    • Reviews
    • Viewpoints
    • 100th anniversary
    • Top read articles

  • Current issue
  • Past issues
  • Specialties
  • Reviews
  • Review series
  • Conversations with Giants in Medicine
  • Video Abstracts
  • In-Press Preview
  • Clinical Research and Public Health
  • Research Letters
  • Letters to the Editor
  • Editorials
  • Commentaries
  • Editor's notes
  • Reviews
  • Viewpoints
  • 100th anniversary
  • Top read articles
  • About
  • Editors
  • Consulting Editors
  • For authors
  • Publication ethics
  • Publication alerts by email
  • Advertising
  • Job board
  • Contact
RSK1-driven TRIM28/E2F1 feedback loop promotes castration-resistant prostate cancer progression
Miyeong Kim, Jinpeng Liu, Yanquan Zhang, Ruixin Wang, Ryan Goettl, Jennifer Grasso, Derek B. Allison, Chi Wang, Tianyan Gao, Xiaoqi Liu, Ka-Wing Fong
Miyeong Kim, Jinpeng Liu, Yanquan Zhang, Ruixin Wang, Ryan Goettl, Jennifer Grasso, Derek B. Allison, Chi Wang, Tianyan Gao, Xiaoqi Liu, Ka-Wing Fong
View: Text | PDF
Research Article Cell biology Endocrinology

RSK1-driven TRIM28/E2F1 feedback loop promotes castration-resistant prostate cancer progression

  • Text
  • PDF
Abstract

Castration-resistant prostate cancer (CRPC) marks the advanced and lethal stage of prostate cancer (PCa). TRIM28, also known as KAP1, is a transcriptional regulator recently shown to promote CRPC cell proliferation and xenograft tumor growth. Nonetheless, knowledge gaps persist regarding the mechanisms underlying TRIM28 upregulation in CRPC as well as the genomic targets regulated by TRIM28. Here, we report that TRIM28 is a E2F1 target in CRPC. Using an integrated genomic approach, we have demonstrated that TRIM28 forms a positive feedback loop to promote the transcriptional activation and genomic function of E2F1 independent of retinoblastoma (Rb) status. Furthermore, we identified RSK1 as a kinase that directly phosphorylates TRIM28 at S473, and, as such, RSK1 drives the TRIM28/E2F1 feedback loop. Accordingly, pS473-TRIM28 promotes CRPC progression, which is mitigated by RSK inhibition. In summary, our study reveals a critical role of the RSK1–TRIM28–E2F1 axis in CRPC progression, which may be exploited as a vulnerability in treating Rb-deficient CRPC.

Authors

Miyeong Kim, Jinpeng Liu, Yanquan Zhang, Ruixin Wang, Ryan Goettl, Jennifer Grasso, Derek B. Allison, Chi Wang, Tianyan Gao, Xiaoqi Liu, Ka-Wing Fong

×

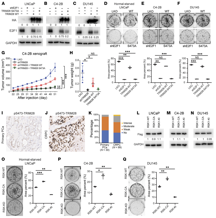
Figure 6

pS473-TRIM28 is required for CRPC progression.

Options: View larger image (or click on image) Download as PowerPoint
pS473-TRIM28 is required for CRPC progression.
(A–F) pS473-TRIM28 promot...
(A–F) pS473-TRIM28 promotes CRPC growth. LNCaP grown in hormone-depleted medium, C4-2B, and DU145 cells with the indicated treatment were harvested for immunoblot (A–C) and analyzed with the colony formation assay for 7–14 days, followed by fixation and crystal violet staining (D–F). Quantification was conducted by image J (colony area plugin) and presented as mean ± SEM, n = 3. Statistical analysis was performed using a 2-tailed unpaired Student’s t test, with the Holm-Bonferroni method applied to correct for multiple comparisons. **P < 0.01, ***P < 0.001. (G and H) Xenograft assay was performed by inoculating NSG mice with C4-2B LKO, TRIM28-KD, and TRIM28-KD cells rescued by TRIM28-WT and S473A mutant. (G) The tumor volume data were presented as mean ± SEM, n = 5. A 1-way ANOVA followed by post hoc multiple comparisons was used for analysis. P value adjustment was performed using Tukey’s Honest Significant Difference (HSD) test. ***P < 0.001. (H) Tumor weight data were presented as mean ± SEM, n = 5. Statistical tests performed were 2-tailed unpaired Student’s t-test, with the Holm-Bonferroni method applied to correct for multiple comparisons. *P < 0.05. (I–K) Tissue microarray constructed from primary PCa and metastatic CRPC were subjected to IHC staining using anti-pS473–TRIM28 antibody. Representative images and IHC quantification of patient samples at each disease stage were shown. (L–Q) RSK1 kinase activity is required for CRPC growth. Hormone-starved LNCaP, C4-2B, and DU145 cells with the indicated treatment were harvested for immunoblot (L–N) and subjected to the colony formation assay for 7–14 days (O–Q). Quantification was conducted by image J (colony area plugin) and presented as mean ± SEM, n = 3. Statistical analysis was performed using a 2-tailed unpaired Student’s t test, with the Holm-Bonferroni method applied to correct for multiple comparisons. *P < 0.05, **P < 0.01, ***P < 0.001.

Copyright © 2025 American Society for Clinical Investigation
ISSN: 0021-9738 (print), 1558-8238 (online)

Sign up for email alerts