Go to JCI Insight
  • About
  • Editors
  • Consulting Editors
  • For authors
  • Publication ethics
  • Publication alerts by email
  • Advertising
  • Job board
  • Contact
  • Clinical Research and Public Health
  • Current issue
  • Past issues
  • By specialty
    • COVID-19
    • Cardiology
    • Gastroenterology
    • Immunology
    • Metabolism
    • Nephrology
    • Neuroscience
    • Oncology
    • Pulmonology
    • Vascular biology
    • All ...
  • Videos
    • ASCI Milestone Awards
    • Video Abstracts
    • Conversations with Giants in Medicine
  • Reviews
    • View all reviews ...
    • Clinical innovation and scientific progress in GLP-1 medicine (Nov 2025)
    • Pancreatic Cancer (Jul 2025)
    • Complement Biology and Therapeutics (May 2025)
    • Evolving insights into MASLD and MASH pathogenesis and treatment (Apr 2025)
    • Microbiome in Health and Disease (Feb 2025)
    • Substance Use Disorders (Oct 2024)
    • Clonal Hematopoiesis (Oct 2024)
    • View all review series ...
  • Viewpoint
  • Collections
    • In-Press Preview
    • Clinical Research and Public Health
    • Research Letters
    • Letters to the Editor
    • Editorials
    • Commentaries
    • Editor's notes
    • Reviews
    • Viewpoints
    • 100th anniversary
    • Top read articles

  • Current issue
  • Past issues
  • Specialties
  • Reviews
  • Review series
  • ASCI Milestone Awards
  • Video Abstracts
  • Conversations with Giants in Medicine
  • In-Press Preview
  • Clinical Research and Public Health
  • Research Letters
  • Letters to the Editor
  • Editorials
  • Commentaries
  • Editor's notes
  • Reviews
  • Viewpoints
  • 100th anniversary
  • Top read articles
  • About
  • Editors
  • Consulting Editors
  • For authors
  • Publication ethics
  • Publication alerts by email
  • Advertising
  • Job board
  • Contact
CRISPR/Cas9 screens identify LIG1 as a sensitizer of PARP inhibitors in castration-resistant prostate cancer
Giulia Fracassi, Francesca Lorenzin, Francesco Orlando, Ubaldo Gioia, Giacomo D’Amato, Arnau S. Casaramona, Thomas Cantore, Davide Prandi, Frédéric R. Santer, Helmut Klocker, Fabrizio d’Adda di Fagagna, Joaquin Mateo, Francesca Demichelis
Giulia Fracassi, Francesca Lorenzin, Francesco Orlando, Ubaldo Gioia, Giacomo D’Amato, Arnau S. Casaramona, Thomas Cantore, Davide Prandi, Frédéric R. Santer, Helmut Klocker, Fabrizio d’Adda di Fagagna, Joaquin Mateo, Francesca Demichelis
View: Text | PDF
Research Article Oncology

CRISPR/Cas9 screens identify LIG1 as a sensitizer of PARP inhibitors in castration-resistant prostate cancer

  • Text
  • PDF
Abstract

PARP inhibitors (PARPi) have received regulatory approval for the treatment of several tumors, including prostate cancer (PCa), and demonstrate remarkable results in the treatment of castration-resistant prostate cancer (CRPC) patients characterized by defects in homologous recombination repair (HRR) genes. Preclinical studies showed that DNA repair genes (DRG) other than HRR genes may have therapeutic value in the context of PARPi. To this end, we performed multiple CRISPR/Cas9 screens in PCa cell lines using a custom sgRNA library targeting DRG combined with PARPi treatment. We identified DNA ligase 1 (LIG1), essential meiotic structure-specific endonuclease 1 (EME1), and Fanconi anemia core complex associated protein 24 (FAAP24) losses as PARPi sensitizers and assessed their frequencies from 3% to 6% among CRPC patients. We showed that concomitant inactivation of LIG1 and PARP induced replication stress and DNA double-strand breaks, ultimately leading to apoptosis. This synthetic lethality (SL) is conserved across multiple tumor types (e.g., lung, breast, and colorectal), and its applicability might be extended to LIG1-functional tumors through a pharmacological combinatorial approach. Importantly, the sensitivity of LIG1-deficient cells to PARPi was confirmed in vivo. Altogether, our results argue for the relevance of determining the status of LIG1 and potentially other non-HRR DRG for CRPC patient stratification and provide evidence to expand their therapeutic options.

Authors

Giulia Fracassi, Francesca Lorenzin, Francesco Orlando, Ubaldo Gioia, Giacomo D’Amato, Arnau S. Casaramona, Thomas Cantore, Davide Prandi, Frédéric R. Santer, Helmut Klocker, Fabrizio d’Adda di Fagagna, Joaquin Mateo, Francesca Demichelis

×

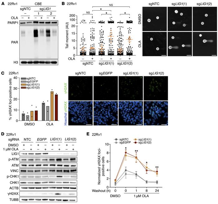
Figure 4

LIG1 loss combined with OLA treatment induces DNA damage in 22Rv1 cells.

Options: View larger image (or click on image) Download as PowerPoint
LIG1 loss combined with OLA treatment induces DNA damage in 22Rv1 cells....
(A) Immunoblot of PARP1, PAR, and H3 (used as loading control) in the chromatin-bound extract (CBE) of 22Rv1 transduced with the indicated sgRNAs and treated for 3 days with DMSO, as control, or OLA. (B) Comet tail moment measured by alkaline comet assay in 22Rv1 transduced with the indicated sgRNAs and treated as in A. The orange dots and bars indicate the mean value of each replicate and the mean ± SEM of the 3 experiments, respectively. P values were determined using 1-way ANOVA and Tukey’s multiple-comparisons test. Images are representative of the comet assays. Scale bars: 100 μm. (C) Quantification of cells with 5 or more γH2AX foci measured by immunofluorescence. Data are presented as mean (n = 2 biological replicates). Images are representative of γH2AX (green) and nucleus (Hoechst, blue) immunostaining in 22Rv1 transduced with the indicated sgRNAs and treated as in A. Scale bars: 50 μm. (D) Immunoblot of LIG1, p-ATM, ATM, VINC (used as loading control), p-CHK1, CHK1, ACTB (used as loading control), γH2AX, and TUBB (used as loading control) in 22Rv1 transduced with the indicated sgRNAs and treated as in A. (E) Percentage of cells with 10 or more γH2AX foci measured by immunofluorescence after OLA washout. 22Rv1 transduced with the indicated sgRNAs were treated with 1 μM OLA for 3 days and then grown without treatment for 0, 1, 8 or 24 hours. Data are presented as mean ± SEM (n = 3 biological replicates). P values were determined using 2-way ANOVA and Bonferroni’s multiple-comparisons test on control (sgNTC and sgEGFP) and sgLIG1 samples. *P ≤ 0.05; **P ≤ 0.01.

Copyright © 2026 American Society for Clinical Investigation
ISSN: 0021-9738 (print), 1558-8238 (online)

Sign up for email alerts