Go to JCI Insight
  • About
  • Editors
  • Consulting Editors
  • For authors
  • Publication ethics
  • Publication alerts by email
  • Advertising
  • Job board
  • Contact
  • Clinical Research and Public Health
  • Current issue
  • Past issues
  • By specialty
    • COVID-19
    • Cardiology
    • Gastroenterology
    • Immunology
    • Metabolism
    • Nephrology
    • Neuroscience
    • Oncology
    • Pulmonology
    • Vascular biology
    • All ...
  • Videos
    • Conversations with Giants in Medicine
    • Video Abstracts
  • Reviews
    • View all reviews ...
    • Clinical innovation and scientific progress in GLP-1 medicine (Nov 2025)
    • Pancreatic Cancer (Jul 2025)
    • Complement Biology and Therapeutics (May 2025)
    • Evolving insights into MASLD and MASH pathogenesis and treatment (Apr 2025)
    • Microbiome in Health and Disease (Feb 2025)
    • Substance Use Disorders (Oct 2024)
    • Clonal Hematopoiesis (Oct 2024)
    • View all review series ...
  • Viewpoint
  • Collections
    • In-Press Preview
    • Clinical Research and Public Health
    • Research Letters
    • Letters to the Editor
    • Editorials
    • Commentaries
    • Editor's notes
    • Reviews
    • Viewpoints
    • 100th anniversary
    • Top read articles

  • Current issue
  • Past issues
  • Specialties
  • Reviews
  • Review series
  • Conversations with Giants in Medicine
  • Video Abstracts
  • In-Press Preview
  • Clinical Research and Public Health
  • Research Letters
  • Letters to the Editor
  • Editorials
  • Commentaries
  • Editor's notes
  • Reviews
  • Viewpoints
  • 100th anniversary
  • Top read articles
  • About
  • Editors
  • Consulting Editors
  • For authors
  • Publication ethics
  • Publication alerts by email
  • Advertising
  • Job board
  • Contact
Tr1 cell–dependent active tolerance blunts the pathogenic effects of determinant spreading
Gizi Wildbaum, Nir Netzer, Nathan Karin
Gizi Wildbaum, Nir Netzer, Nathan Karin
View: Text | PDF
Article Immunology

Tr1 cell–dependent active tolerance blunts the pathogenic effects of determinant spreading

  • Text
  • PDF
Abstract

Research Article

Authors

Gizi Wildbaum, Nir Netzer, Nathan Karin

×

Figure 2

Options: View larger image (or click on image) Download as PowerPoint
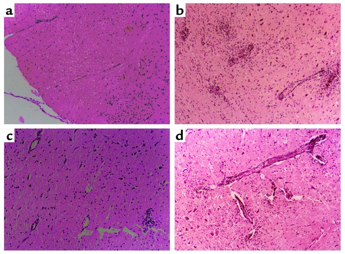
(a–d) Thirteen days after immunization with MBPp87–99/CFA to induce acti...
(a–d) Thirteen days after immunization with MBPp87–99/CFA to induce active EAE, the lower lumbar region of the spinal cord of EAE rats that were not subjected to soluble peptide therapy (b), subjected to therapy with soluble MBPp68–86 (c), or subjected to therapy with soluble MBPp68–86, and then with neutralizing Ab’s to IL-10 (d), were evaluated for histological scores of EAE in comparison with spinal cord sections from naive Lewis rats of comparable age to the experimental rats (a). Each section (except for control naive rats) represents 12 sections from three rats that were analyzed by an observer blind to experimental procedure. The full analysis of these samples is specified in the text. Hematoxylin and eosin–stained sections are shown at ×10.

Copyright © 2025 American Society for Clinical Investigation
ISSN: 0021-9738 (print), 1558-8238 (online)

Sign up for email alerts