Go to JCI Insight
  • About
  • Editors
  • Consulting Editors
  • For authors
  • Publication ethics
  • Publication alerts by email
  • Advertising
  • Job board
  • Contact
  • Clinical Research and Public Health
  • Current issue
  • Past issues
  • By specialty
    • COVID-19
    • Cardiology
    • Gastroenterology
    • Immunology
    • Metabolism
    • Nephrology
    • Neuroscience
    • Oncology
    • Pulmonology
    • Vascular biology
    • All ...
  • Videos
    • Conversations with Giants in Medicine
    • Video Abstracts
  • Reviews
    • View all reviews ...
    • Clinical innovation and scientific progress in GLP-1 medicine (Nov 2025)
    • Pancreatic Cancer (Jul 2025)
    • Complement Biology and Therapeutics (May 2025)
    • Evolving insights into MASLD and MASH pathogenesis and treatment (Apr 2025)
    • Microbiome in Health and Disease (Feb 2025)
    • Substance Use Disorders (Oct 2024)
    • Clonal Hematopoiesis (Oct 2024)
    • View all review series ...
  • Viewpoint
  • Collections
    • In-Press Preview
    • Clinical Research and Public Health
    • Research Letters
    • Letters to the Editor
    • Editorials
    • Commentaries
    • Editor's notes
    • Reviews
    • Viewpoints
    • 100th anniversary
    • Top read articles

  • Current issue
  • Past issues
  • Specialties
  • Reviews
  • Review series
  • Conversations with Giants in Medicine
  • Video Abstracts
  • In-Press Preview
  • Clinical Research and Public Health
  • Research Letters
  • Letters to the Editor
  • Editorials
  • Commentaries
  • Editor's notes
  • Reviews
  • Viewpoints
  • 100th anniversary
  • Top read articles
  • About
  • Editors
  • Consulting Editors
  • For authors
  • Publication ethics
  • Publication alerts by email
  • Advertising
  • Job board
  • Contact
Protein tyrosine phosphatase nonreceptor type 2 controls colorectal cancer development
Egle Katkeviciute, … , Michael Scharl, Marianne R. Spalinger
Egle Katkeviciute, … , Michael Scharl, Marianne R. Spalinger
Published October 1, 2020
Citation Information: J Clin Invest. 2021;131(1):e140281. https://doi.org/10.1172/JCI140281.
View: Text | PDF
Research Article Gastroenterology Oncology

Protein tyrosine phosphatase nonreceptor type 2 controls colorectal cancer development

  • Text
  • PDF
Abstract

Protein tyrosine phosphatase nonreceptor type 2 (PTPN2) recently emerged as a promising cancer immunotherapy target. We set out to investigate the functional role of PTPN2 in the pathogenesis of human colorectal carcinoma (CRC), as its role in immune-silent solid tumors is poorly understood. We demonstrate that in human CRC, increased PTPN2 expression and activity correlated with disease progression and decreased immune responses in tumor tissues. In particular, stage II and III tumors displayed enhanced PTPN2 protein expression in tumor-infiltrating T cells, and increased PTPN2 levels negatively correlated with expression of PD-1, CTLA4, STAT1, and granzyme A. In vivo, T cell– and DC-specific PTPN2 deletion reduced tumor burden in several CRC models by promoting CD44+ effector/memory T cells, as well as CD8+ T cell infiltration and cytotoxicity in the tumor. In direct relevance to CRC treatment, T cell–specific PTPN2 deletion potentiated anti–PD-1 efficacy and induced antitumor memory formation upon tumor rechallenge in vivo. Our data suggest a role for PTPN2 in suppressing antitumor immunity and promoting tumor development in patients with CRC. Our in vivo results identify PTPN2 as a key player in controlling the immunogenicity of CRC, with the strong potential to be exploited for cancer immunotherapy.

Authors

Egle Katkeviciute, Larissa Hering, Ana Montalban-Arques, Philipp Busenhart, Marlene Schwarzfischer, Roberto Manzini, Javier Conde, Kirstin Atrott, Silvia Lang, Gerhard Rogler, Elisabeth Naschberger, Vera S. Schellerer, Michael Stürzl, Andreas Rickenbacher, Matthias Turina, Achim Weber, Sebastian Leibl, Gabriel E. Leventhal, Mitchell Levesque, Onur Boyman, Michael Scharl, Marianne R. Spalinger

×

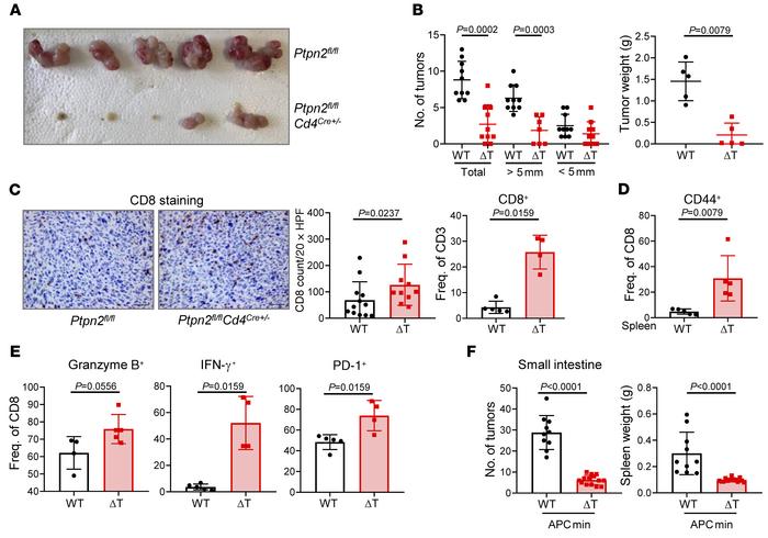
Figure 4

Reduced tumor burden in orthotopic tumor injection and APCmin tumor models upon PTPN2 deletion in T cells.

Options: View larger image (or click on image) Download as PowerPoint
Reduced tumor burden in orthotopic tumor injection and APCmin tumor mode...
MC38 tumor cells (300,000 cells) were injected into the cecal wall of WT and Ptpn2fl/fl Cd4Cre+/– mice. Mixed WT controls (Ptpn2fl/fl Cd4Cre– and Ptpn2fl/fl Cd11cCre–) were used in this experiment, therefore, WT quantification in C is the same as the WT quantification in Figure 7F. (A) Representative gross image of cecal tumors from WT and Ptpn2fl/fl Cd4Cre+/– mice (n = 5 mice). (B) Total number of tumors and stratification according to size (n = 10 mice; n = 2 independent experiments) and tumor weight (n = 5 mice). P values were determined by 2-tailed Mann-Whitney U test. (C) Representative images and quantification of IHC staining and flow cytometric analysis of CD8 staining of Ptpn2fl/fl and Ptpn2fl/fl Cd4Cre+/– tumor tissue. Scale bars: 50 μm. P values were determined by 2-tailed Mann-Whitney U test. Frequencies of effector/memory CD8+CD44+ T cells in spleen (D) and of granzyme B, IFN-γ, and PD-1 in tumor (E). P values were determined by 2-tailed Mann-Whitney U test. (F) Number of tumors in the small intestine and spleen weights for Ptpn2fl/fl APCmin and Ptpn2fl/fl Cd4Cre+/– APCmin mice. P values were determined by 2-tailed Mann-Whitney U test. Data represent the mean ± SD.

Copyright © 2025 American Society for Clinical Investigation
ISSN: 0021-9738 (print), 1558-8238 (online)

Sign up for email alerts